Trichofolliculoma
| Trichofolliculoma | |
|---|---|
![]() | |
| Skin colored, lobulated mass over the tip and dorsum of nose | |
| Specialty | Dermatology |
| Symptoms | Skin colored dome-shaped small or larger bump, with a central white tuft of hair typically on face[1] |
| Usual onset | Adults[1] |
| Frequency | Rare, males>females[1] |
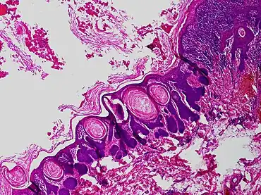
Trichofolliculoma is a non-cancerous, skin colored dome-shaped small or larger bump, with a central white tuft of hair typically on the face.[1] It may grow to around 7mm and sometimes there may be more than one.[1]
The condition is rare and is slightly more common in males than females.[1]
Diagnosis
See also
References
- ↑ 1.0 1.1 1.2 1.3 1.4 1.5 DE, Elder; D, Massi; RA, Scolyer; R, Willemze (2018). "3. Appendageal tumours: Trichofolliculoma". WHO Classification of Skin Tumours. Vol. 11 (4th ed.). Lyon (France): World Health Organization. p. 206. ISBN 978-92-832-2440-2. Archived from the original on 2022-07-11. Retrieved 2022-08-31.
External links
| Classification | |
|---|---|
| External resources |
|
Template:Epidermal-growth-stub
