Dilated pore
| Dilated pore | |
|---|---|
| Other names | Dilated pore of Winer |
| Dilated pore of Winer | |
| Specialty | Dermatology |
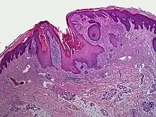
A dilated pore, also known as a dilated pore of Winer, is a cutaneous condition characterized by a solitary, prominent, open comedo on the face or upper trunk of an individual.[1]: 675 Louis H. Winer is credited with discovering the dilated pore. [2][3]
See also
References
- ↑ James, William D.; Berger, Timothy G.; et al. (2006). Andrews' Diseases of the Skin: Clinical Dermatology. Saunders Elsevier. ISBN 0-7216-2921-0.
- ↑ Winer, Louis H (September 1954). "The Dilated Pore, A Trichoepithelioma". Journal of Investigative Dermatology. 23 (3): 181–188. doi:10.1038/jid.1954.97. PMID 13201810.
- ↑ Al Aboud, Ahmad; Al Aboud, Khalid (August 5, 2013). "A mini-review on eponyms in the dermatology literature linked to United States of America (USA)". Our Dermatology Online. 3 (Suppl.1): 409–413. doi:10.7241/ourd.20133.103.