Hidrocystoma
| Hidrocystoma | |
|---|---|
| Other names: Sudoriferous cyst, Moll's gland cyst[1] | |
![]() | |
| Symptoms | Solitary small bump usually near eye[2] |
Hidrocystoma, also known as cystadenoma,[1] is a small bump, a cyst of a sweat duct, usually on the eyelids.[2] It may be flesh-coloured, have a bluish tint in white skin or be darker in black skin.[3]
There are three types of "sweat" glands: True sweat glands or eccrine glands; sebaceous glands, which have an oily secretion around hair follicles; and apocrine glands which have more oily product than eccrine glands and are found on the face, armpit, and groin.
Hidrocystomas usually arise from apocrine glands. There may be a type of hidroadenoma that arises from eccrine glands, but these are uncommon.
Other related conditions on the eyelids include chalazion ( a granulomatous reaction to sebaceous glands on the eyelid), lacrimal duct cysts (cysts related to tear ducts) and nasolacrimal duct cysts (the nasolacrimal duct drains tears into the nose via a punctum on the lower eyelid).
-
Hidrocystoma of the eyelid -
Hidrocystoma of the eyelid -
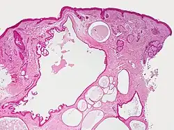
Hidrocystoma histology
See also
References
- ↑ 1.0 1.1 Rapini, Ronald P.; Bolognia, Jean L.; Jorizzo, Joseph L. (2007). Dermatology: 2-Volume Set. St. Louis: Mosby. ISBN 1-4160-2999-0.
- ↑ 2.0 2.1 James, William D.; Elston, Dirk; Treat, James R.; Rosenbach, Misha A.; Neuhaus, Isaac (2020). "29. Epidermal nevi, neoplasms, and cysts". Andrews' Diseases of the Skin: Clinical Dermatology (13th ed.). Edinburgh: Elsevier. p. 666. ISBN 978-0-323-54753-6. Archived from the original on 2022-03-29. Retrieved 2022-03-29.
- ↑ Hines, Aliya Courtney; Moin, Moin (2020). "2. Common skin conditions in black skin". In Moiin, Ali (ed.). Atlas of Black Skin. Springer. pp. 63–64. ISBN 978-3-030-31484-2. Archived from the original on 2022-03-31. Retrieved 2022-03-31.
External links
| Classification | |
|---|---|
| External resources |
.jpg)