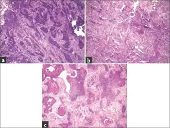
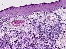
Hidradenocarcinoma
Hidradenocarcinoma (also known as malignant hidradenoma, malignant acrospiroma, clear cell eccrine carcinoma, or primary mucoepidermoid cutaneous carcinoma) is a malignant adnexal tumor of the sweat gland. It is the malignant variant of the benign hidradenoma. It may develop de novo or in association with an existent hidradenoma.[1]
This type of tumor typically develops in older individuals (after age 40).[2]

See also
References
- ↑ Rapini, Ronald P.; Bolognia, Jean L.; Jorizzo, Joseph L. (2007). Dermatology: 2-Volume Set. St. Louis: Mosby. ISBN 978-1-4160-2999-1.
- ↑ "Hidradenocarcinoma | Genetic and Rare Diseases Information Center (GARD) – an NCATS Program". Archived from the original on 2015-09-05. Retrieved 2021-11-17.