Trichilemmal carcinoma
| Trichilemmal carcinoma | |
|---|---|
| Other names: Tricholemmal carcinoma | |
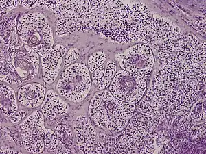
Trichilemmal carcinoma is a cutaneous condition reported to arise on sun-exposed areas, most commonly the face and ears.[1]: 674

See also
A similar tumor, although in the nail bed, is called onycholemmal.[2][3]
References
- ↑ James, William D.; Berger, Timothy G.; et al. (2006). Andrews' Diseases of the Skin: Clinical Dermatology. Saunders Elsevier. ISBN 0-7216-2921-0.
- ↑ "Archive copy". Archived from the original on 2013-05-02. Retrieved 2020-12-18.
{{cite web}}: CS1 maint: archived copy as title (link) - ↑ Onycholemmal carcinoma. Rashid RM, Cutlan JE. Dermatol Online J. 2010 Mar 15;16(3):12.
External links
| Classification |
|---|
Template:Epidermal-growth-stub