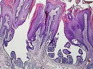
Syringocystadenoma papilliferum

Syringocystadenoma papilliferum
Other names: Syringadenoma papilliferum
SpecialtyDermatology

Syringocystadenoma papilliferum is a benign apocrine tumor.[1]

It can arise with nevus sebaceus.[2]

See also

References

  1. James, William; Berger, Timothy; Elston, Dirk (2005). Andrews' Diseases of the Skin: Clinical Dermatology. (10th ed.). Saunders. ISBN 0-7216-2921-0.
  2. Monticciolo NL, Schmidt JD, Morgan MB (2002). "Verrucous carcinoma arising within syringocystadenoma papilliferum". Ann. Clin. Lab. Sci. 32 (4): 434–7. PMID 12458900. Archived from the original on 2023-01-11. Retrieved 2020-12-05.

External links

Classification