Isthmicoma
| Isthmicoma | |
|---|---|
| Other names: Infundibuloma;[1] tumor of the follicular infundibulum[1] | |
![]() | |
| Macular and slightly papular lesions over the chin, mandibular and anterior cervical region | |
| Specialty | Dermatology |
Isthmicoma is a skin condition characterized by flat, keratotic papules of the head and neck, skin lesions that are usually solitary.[2]: 676
Diagnosis
-
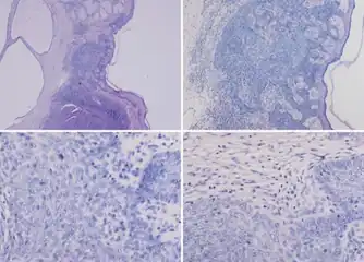
Images- Tumor of follicular infundibulum -
Follicular infundibulum tumor
See also
References
Template:Epidermal-growth-stub
