Hidradenoma
| Hidradenoma | |
|---|---|
| Other names: Acrospiroma, cystadenoma, hydrocystadenomas | |
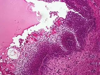
![]() | |
| Micrograph showing an acrospiroma. H&E stain. | |
| Specialty | Dermatology |
Hidradenoma refers to a benign adnexal tumor of the apical sweat gland.[1][2] These are 1–3 cm translucent blue cystic nodules. It usually presents as a single, small skin-colored lesion, and may be considered closely related to or a variant of poromas.[3] Hidradenomas are often sub-classified based on subtle histologic differences, for example:[4]
- Eccrine acrospiroma
- Clear-cell hidradenoma or acrospiroma
- Nodular hidradenoma or acrospiroma
- Solid-cystic hidradenoma
Discussion of sweat gland tumors can be difficult and confusing due to the complex classification and redundant terminology used to describe the same tumors. For example, acrospiroma and hidradenoma are synonymous, and sometimes the term acrospiroma is used to generally describe benign sweat gland tumors. In addition, a single lesion may contain a mixture of cell-types.[2] There has also been a change in understanding about how tumors that were previously believed to strictly derive from specific sweat gland types may, in fact, derive from both eccrine or apocrine glands.[5][6]
Hidradenomas are by definition benign, with malignant transformation very rare. When tumors show malignant characteristics, they are known as hidradenocarcinoma.[7] Surgical excision is usually curative and local recurrences are rare, although malignant tumors may metastasize.[5]
-
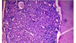
Nodular hidradenoma, showing clear and polygonal cells with foci of eosinophilic material -
Gross pathology of a cystic nodular hidradenoma -
Dermal duct tumor
-
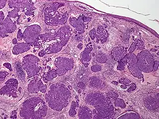
Acrospiroma, solid type
-
Acrospiroma, clear cell type
See also
References
- ↑ Laws RA, English JC, Elston DM (November 1996). "Acrospiroma: a case report and review". Cutis. 58 (5): 349–51. PMID 8934076.
- ↑ 2.0 2.1 Obaidat NA, Alsaad KO, Ghazarian D (February 2007). "Skin adnexal neoplasms--part 2: an approach to tumours of cutaneous sweat glands". Journal of Clinical Pathology. 60 (2): 145–59. doi:10.1136/jcp.2006.041608. PMC 1860616. PMID 16882695.
- ↑ Lim JS, Kwon ES, Myung KB, Cheong SH (June 2021). "Poroid Hidradenoma: A Two-Case Report and Literature Review". Annals of Dermatology. 33 (3): 289–292. doi:10.5021/ad.2021.33.3.289. PMC 8137338. PMID 34079192.
- ↑ Al-Adawi SS, Al-Qasabi B, Al-Bahri M, Aljarrah A, Al-Aghbari S (August 2020). "Clear Cell Hidradenoma of the Breast Diagnosed on a Core Needle Biopsy: A case report and review of the literature". Sultan Qaboos University Medical Journal. 20 (3): e357 – e361. doi:10.18295/squmj.2020.20.03.017. PMC 7574794. PMID 33110653.
- ↑ 5.0 5.1 Griffiths C, Cox N, Breathnach S, et al., eds. (2010). "53. Tumours of the Skin Appendages: Eccrine or aprocrine/follicular tumours". Rook's Textbook of Dermatology (8th ed.). Chichester, West Sussex: John Wiley & Sons Ltd. ISBN 978-1-4051-6169-5.
- ↑ Griffiths C, Cox N, Breathnach S, et al., eds. (2010). "53. Tumours of the Skin Appendages: Eccrine gland tumours". Rook's Textbook of Dermatology (8th ed.). Chichester, West Sussex: John Wiley & Sons Ltd. ISBN 978-1-4051-6169-5.
- ↑ Hernández-Pérez E, Cestoni-Parducci R (1985). "Nodular hidradenoma and hidradenocarcinoma. A 10-year review". Journal of the American Academy of Dermatology. 12 (1 Pt 1): 15–20. doi:10.1016/s0190-9622(85)70002-3. PMID 2984259.
