Eccrine nevus
| Eccrine nevus | |
|---|---|
![]() | |
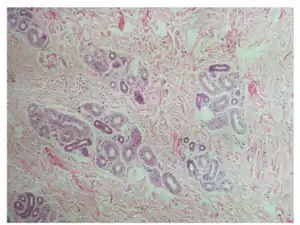
| Histology-Prominent increase in eccrine coils and dermal fibrosis | |
An eccrine nevus is an extremely rare cutaneous condition that, histologically, is characterized by an increase in size or number of eccrine secretory coils.[1]:โ774โ
See also
References
- โ Freedberg, et al. (2003). Fitzpatrick's Dermatology in General Medicine. (6th ed.). McGraw-Hill. ISBN 0-07-138076-0.
External links
| Classification |
|---|
Template:Epidermal-growth-stub
