Toddler's fracture
| Toddler's fracture | |
|---|---|
| Other names: Childhood accidental spiral tibial (CAST) fractures | |
![]() | |
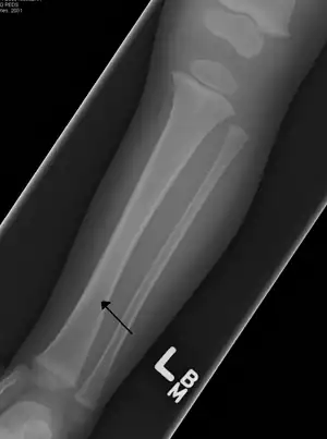
| A toddler's fracture | |
| Specialty | Emergency medicine, orthopedics |
| Symptoms | Pain in lower leg, limp[1] |
| Usual onset | 9 mths to 3 yrs[1] |
| Duration | 3 to 4 wks[1] |
| Causes | Low energy injury[1] |
| Diagnostic method | Based on symptoms and examination, supported by X-rays[1] |
| Differential diagnosis | Transient synovitis, septic arthritis, osteomyelitis, other types of fractures[1] |
| Treatment | Splinting, casting, no immobilization[1] |
| Prognosis | Good[1] |
| Frequency | Relatively common[1] |
Toddler's fracture is a type of broken bone that involves the lower part of the shin bone (tibia).[1] Symptoms may include pain in the lower leg or a limp.[1] Some refuse to walk at all.[2]
The cause is often a twisting motion over a planted foot.[1] This may occur as the result tripping or other minor events.[1] It generally occurs in the distal thirds of the tibia, is undisplaced, and has a spiral pattern.[1] Diagnosis is often based on symptoms and examination, with initial X-rays appearing normal in about half of cases.[1]
Treatment maybe by simple observation or limiting movement of the affected leg by a removable walking boot for 3 to 4 weeks.[3] Use of splinting or casting is less preferred due to complications.[1][3] Casting may occur above or below the knee.[1] Outcomes are nearly always good.[1]
Toddler's fracture is relatively common, making up about 1.5 per thousand visits by children to the emergency department.[1] It most commonly occurs in people between the age of 9 months and 3 years.[1] It was first described in 1964 by Dunbar.[4][5] There were previously concerns of an association with non accidental trauma; however, this is very rarely present.[6]
Signs and symptoms
Typical symptoms include pain, refusing to walk or bear weight and limping -bruising and deformity are absent. On examination, there can be warmth and swelling over the fracture area, as well as pain on bending the foot upwards.[7]
Pathophysiology
The proposed mechanism involves shear stress and lack of displacement due to the periosteum that is relatively strong compared to the elastic bone in young children.[8]
Diagnosis
The initial radiographical images may be inconspicuous (a faint oblique line) and often even completely normal.[7] After 1–2 weeks however, callus formation develops.
The condition can be mistaken for osteomyelitis, transient synovitis or even child abuse. Contrary to CAST fractures, non-accidental injury typically affect the upper two-thirds or midshaft of the tibia.
Other possible fractures in this area, occurring in the cuboid, calcaneus, and fibula, can be associated or can be mistaken for a toddler's fracture.[9] In some cases, an internal oblique radiography and radionuclide imaging can add information to anterior-posterior and lateral views.[10][11] However, since treatment can also be initiated in the absence of abnormalities, this appears to have little value in most cases. It could be useful in special cases such as children with fever, those without a clear trauma or those in which the diagnosis remains unclear.[7][12] Ultrasound has also been suggested as a helpful diagnostic tool.[13]
-
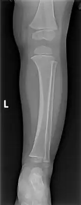
Accidental or innocent toddler fracture/frontal -
Accidental or innocent toddler fracture/lateral
Treatment
Treatment maybe with a removable walking boot or simple observation with long leg orthopedic casting for several weeks being less prefered.[3]
History
The condition was first recognized by Dunbar and co-workers in 1964.[5] A new terminology has been proposed, which defines toddler's fracture as a subset of childhood accidental spiral tibial (CAST) fractures.[14]
References
- ↑ 1.00 1.01 1.02 1.03 1.04 1.05 1.06 1.07 1.08 1.09 1.10 1.11 1.12 1.13 1.14 1.15 1.16 1.17 1.18 1.19 Wang, Y; Doyle, M; Smit, K; Varshney, T; Carsen, S (1 January 2022). "The Toddler's Fracture". Pediatric emergency care. 38 (1): 36–39. doi:10.1097/PEC.0000000000002600. PMID 34986580.
- ↑ Vezzetti, R; Bordoni, B (January 2022). "Antalgic Gait In Children". StatPearls. PMID 30571006.
- ↑ 3.0 3.1 3.2 Noe, MC; Jarka, DE; Sinclair, MK; Grote, CW (1 March 2025). "Toddler's fracture: an updated guide on evaluation and management". Journal of pediatric orthopedics. Part B. 34 (2): 193–197. doi:10.1097/BPB.0000000000001210. PMID 39730124.
- ↑ Martino, Fabio; Defilippi, Claudio; Caudana, Roberto (26 June 2011). Imaging of Pediatric Bone and Joint Trauma. Springer Science & Business Media. p. 183. ISBN 978-88-470-1655-2. Archived from the original on 5 May 2022. Retrieved 5 May 2022.
- ↑ 5.0 5.1 Dunbar JS, Owen HF, Nogrady MB, McLeese R (September 1964). "Obscure tibial fracture of infants -- the toddler's fracture". J Can Assoc Radiol. 15: 136–44. PMID 14212071.
- ↑ Gaillard, Frank. "Toddler fracture | Radiology Reference Article | Radiopaedia.org". Radiopaedia. Archived from the original on 26 March 2022. Retrieved 5 May 2022.
- ↑ 7.0 7.1 7.2 Halsey MF, Finzel KC, Carrion WV, Haralabatos SS, Gruber MA, Meinhard BP (2001). "Toddler's fracture: presumptive diagnosis and treatment". J Pediatr Orthop. 21 (2): 152–6. doi:10.1097/00004694-200103000-00003. PMID 11242240.
- ↑ Sarmah A (April 1995). "'Toddler's fracture'? A recognised entity". Arch. Dis. Child. 72 (4): 376. doi:10.1136/adc.72.4.376-a. PMC 1511261. PMID 7763080.
- ↑ Donnelly LF (September 2000). "Toddler's fracture of the fibula". AJR Am J Roentgenol. 175 (3): 922. doi:10.2214/ajr.175.3.1750922. PMID 10954515.
- ↑ De Boeck K, Van Eldere S, De Vos P, Mortelmans L, Casteels-Van Daele M (January 1991). "Radionuclide bone imaging in toddler's fracture". Eur. J. Pediatr. 150 (3): 166–9. doi:10.1007/BF01963558. PMID 2044585. S2CID 11284378.
- ↑ John SD, Moorthy CS, Swischuk LE (1997). "Expanding the concept of the toddler's fracture". Radiographics. 17 (2): 367–76. doi:10.1148/radiographics.17.2.9084078. PMID 9084078.
- ↑ Miller JH, Sanderson RA (December 1988). "Scintigraphy of toddler's fracture". J. Nucl. Med. 29 (12): 2001–3. PMID 3193212. Archived from the original on 2021-08-29. Retrieved 2020-12-07.
- ↑ Lewis D, Logan P (May 2006). "Sonographic diagnosis of toddler's fracture in the emergency department". J Clin Ultrasound. 34 (4): 190–4. doi:10.1002/jcu.20192. PMID 16615049.
- ↑ Mellick LB, Milker L, Egsieker E (October 1999). "Childhood accidental spiral tibial (CAST) fractures". Pediatr Emerg Care. 15 (5): 307–9. doi:10.1097/00006565-199910000-00001. PMID 10532655.
External links
| Classification | |
|---|---|
| External resources |
