Trapezium fracture
| Trapezium fracture | |
|---|---|
![]() | |
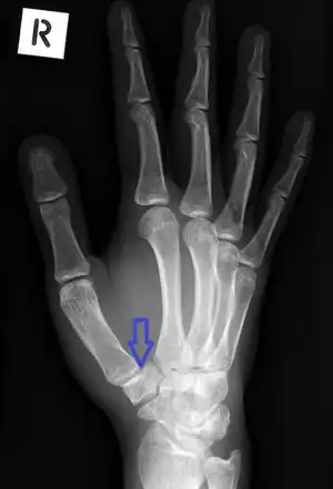
| Undisplaced fracture of the right trapezium | |
| Specialty | Hand surgery |
| Symptoms | Pain at the base of the thumb and with thumb movement[1][2] |
| Complications | Arthritis, carpal tunnel syndrome, wrist stiffness[3] |
| Types | Body, trapezial ridge, fracture dislocations[3] |
| Causes | Forces transmitted through the thumb, being pulled upon by the transverse carpal ligament[3] |
| Diagnostic method | X-ray, CT scan[3] |
| Differential diagnosis | Os paratrapezium[4] |
| Treatment | Casting, surgery[3] |
| Prognosis | Generally good[3] |
| Frequency | 4% of wrist fractures[2] |
Trapezium fracture is a break of the trapezium bone in the wrist. Symptoms typically include pain at the palm side of the wrist at the level of the thumb.[1] There is also typically pain with thumb movement.[2] Often there are other wrist bone fractures.[3] Complications may include arthritis, carpal tunnel syndrome, and wrist stiffness.[3]
The typically result from forces transmitted through the thumb, or being pulled upon by the transverse carpal ligament.[3] Types include body, trapezial ridge, and fracture dislocations.[3] Diagnosis is generally by X-ray or CT scan.[3]
If the peices are well aligned an orthopedic cast, specifically a thumb spica for 4 to 6 weeks may be used.[3] Otherwise surgery is typically required.[3] Outcomes are generally good with appropriate treatment.[3] Trapezium fractures represent about 1 to 5% of breaks of bones within the wrist.[3]
Diagnosis
The fracture may be best seen on an oblique wrist X-ray, but some may not be visible on plain X-ray.[3] Carpal tunnel views or CT scan can be useful in unclear cases.[4]
References
- ↑ 1.0 1.1 Doral, Mahmut Nedim; Karlsson, Jón; Nyland, John; Benedetto, Karl Peter (15 May 2019). Intraarticular Fractures: Minimally Invasive Surgery, Arthroscopy. Springer. p. 198. ISBN 978-3-319-97602-0. Archived from the original on 27 September 2022. Retrieved 24 September 2022.
- ↑ 2.0 2.1 2.2 Walls, Ron; Hockberger, Robert; Gausche-Hill, Marianne (9 March 2017). Rosen's Emergency Medicine - Concepts and Clinical Practice E-Book. Elsevier Health Sciences. ISBN 978-0-323-39016-3. Archived from the original on 27 September 2022. Retrieved 24 September 2022.
- ↑ 3.00 3.01 3.02 3.03 3.04 3.05 3.06 3.07 3.08 3.09 3.10 3.11 3.12 3.13 3.14 3.15 Suh, Nina; Ek, Eugene T.; Wolfe, Scott W. (April 2014). "Carpal Fractures". The Journal of Hand Surgery. 39 (4): 785–791. doi:10.1016/j.jhsa.2013.10.030.
- ↑ 4.0 4.1 Weerakkody, Yuranga. "Trapezium fracture | Radiology Reference Article | Radiopaedia.org". Radiopaedia. Archived from the original on 1 February 2022. Retrieved 24 September 2022.
External links
