Pisiform fracture
| Pisiform fracture | |
|---|---|
![]() | |
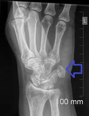
| A pisiform fracture | |
| Specialty | Hand surgery |
| Symptoms | Wrist pain on the side with the little finger[1][2] |
| Complications | Arthritis, avascular necrosis[1][3] |
| Types | Transverse, parasagittal, comminuted, pisiform-triquetral impaction[1] |
| Causes | Direct hit, repetitive injury[1] |
| Diagnostic method | Medical imaging[2] |
| Differential diagnosis | Hamate fracture, flexor carpi ulnaris tendonitis[2] |
| Treatment | Casting, surgery[1][2] |
| Prognosis | Generally good[2] |
| Frequency | <2% of wrist fractures[1] |
Pisiform fracture is a break of the pisiform bone of the wrist. Symptoms include wrist pain on the side with the little finger.[1][2] They may occur in association with other wrist bone fractures, injury to the ulnar nerve, or ulnar artery.[4][5] Complications may include arthritis and avascular necrosis.[1][3]
The cause is generally the wrist being directly hit, such as may occur during sports, falling on an outstretched hand, or from repetitive injuries.[1][5] It may also occur as an avulsion fracture.[1] Types are transverse, parasagittal, comminuted, and pisiform-triquetral impaction.[1] Diagnosis is generally by X-rays, though specific views may be required.[1] CT scan may be bone to rule out other injuries.[6]
Treatment may include orthopedic casting for 4 to 6 weeks or surgery.[1][3] Surgery may involve placing a screw or removing the pisiform itself.[4] Outcomes are generally good.[2]
Pisiform fractures represent less than 2% of wrist bone fractures.[1][5] It is the rarest broken wrist bone along with the trapezoid.[6] The fracture was initially described in 1908.[7]
Diagnosis
The fracture may be better see on a specific wrist X-ray known as a carpal tunnel view or a lateral view with 30 degrees of supination.[4]
References
- ↑ 1.00 1.01 1.02 1.03 1.04 1.05 1.06 1.07 1.08 1.09 1.10 1.11 1.12 1.13 Suh, N; Ek, ET; Wolfe, SW (April 2014). "Carpal fractures". The Journal of hand surgery. 39 (4): 785–91, quiz 791. doi:10.1016/j.jhsa.2013.10.030. PMID 24679911.
- ↑ 2.0 2.1 2.2 2.3 2.4 2.5 2.6 "Pisiform Fracture - Hand - Orthobullets". www.orthobullets.com. Archived from the original on 29 December 2021. Retrieved 24 September 2022. Archived 29 December 2021 at the Wayback Machine
- ↑ 3.0 3.1 3.2 Cooney, William P. (21 December 2011). The Wrist: Diagnosis and Operative Treatment. Lippincott Williams & Wilkins. p. 455. ISBN 978-1-4511-4826-8. Archived from the original on 27 September 2022. Retrieved 24 September 2022. Archived 27 September 2022 at the Wayback Machine
- ↑ 4.0 4.1 4.2 Weerakkody, Yuranga. "Pisiform fracture | Radiology Reference Article | Radiopaedia.org". Radiopaedia. Archived from the original on 8 November 2021. Retrieved 24 September 2022. Archived 8 November 2021 at the Wayback Machine
- ↑ 5.0 5.1 5.2 Walls, Ron; Hockberger, Robert; Gausche-Hill, Marianne (9 March 2017). Rosen's Emergency Medicine - Concepts and Clinical Practice E-Book. Elsevier Health Sciences. p. 516. ISBN 978-0-323-39016-3. Archived from the original on 27 September 2022. Retrieved 24 September 2022. Archived 27 September 2022 at the Wayback Machine
- ↑ 6.0 6.1 Doral, Mahmut Nedim; Karlsson, Jón; Nyland, John; Benedetto, Karl Peter (15 May 2019). Intraarticular Fractures: Minimally Invasive Surgery, Arthroscopy. Springer. p. 200. ISBN 978-3-319-97602-0. Archived from the original on 27 September 2022. Retrieved 24 September 2022. Archived 27 September 2022 at the Wayback Machine
- ↑ Berger, Richard A.; Weiss, Arnold-Peter C. (2004). Hand Surgery. Lippincott Williams & Wilkins. p. 419. ISBN 978-0-7817-2874-4. Archived from the original on 2022-09-27. Retrieved 2022-09-24. Archived 2022-09-27 at the Wayback Machine
External links
.jpeg)