Busch fracture
| Busch fracture | |
|---|---|
| Other names: Baseball finger | |
![]() | |
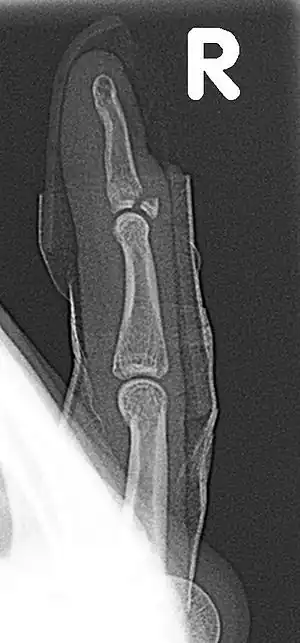
| Fracture of the dorsal base of the distal phalanx by extensor tendon avulsion (Busch fracture) | |
| Specialty | Orthopedics |
| Complications | Hammer finger |
Busch fracture, also known as baseball finger, is a type of fracture of the base of the distal phalanx of the finger, due to being pull on by the extensor tendon.[1][2] Without treatment, a hammer finger may result.
It is common in motorcycle riders and soccer joggers, caused by hyperflexion when the tendon is exercising its maximum tension (the closed hand tightening the clutch lever or the brake lever).[3][4] The underlying mechanism is an avulsion fracture of the distal phalanx by the attached tendon.[5][6][7] It corresponds to the group B of the Albertoni classification.[8]
It is named after Friedrich Busch (1844-1916), who described the fracture in the 1860s. Busch's work was drawn on by Albert Hoffa in 1904, resulting in it sometimes being called a "Busch-Hoffa fracture".[9]
-
Avulsion of the part of the distal phalanx to which the tendon is attached, a finger fracture -
Appearance: the last joint cannot be straightened. See mallet finger
See also
References
- ↑ Martel, José; Bueno, Angel (2008). "Fractures with names". In Pope, Thomas; Bloem, Hans L.; Beltran, Javier; Morrison, William B.; John, David (eds.). Musculoskeletal Imaging (2nd ed.). Philadelphia: Elsevier. p. 1232.e2. ISBN 978-1-4557-0813-0. Archived from the original on 2022-09-20. Retrieved 2022-09-11.
- ↑ Giovanni De Bastiani; Alan G. Apley; Anthony A.J. Goldberg (6 December 2012). Orthofix External Fixation in Trauma and Orthopaedics. Springer Science & Business Media. pp. 883–. ISBN 978-1-4471-0691-3. Archived from the original on 2 November 2021. Retrieved 13 November 2021.
- ↑ Tim B Hunter; Leonard F Peltier; Pamela J Lund (2000). "Musculoskeletal Eponyms: Who Are Those Guys?". RadioGraphics. 20 (3): 819–36. doi:10.1148/radiographics.20.3.g00ma20819. PMID 10835130.
- ↑ James Rheuben Andrews; Gary L. Harrelson; Kevin E. Wilk (1 January 2012). Physical Rehabilitation of the Injured Athlete. Elsevier Health Sciences. pp. 280–. ISBN 978-1-4377-2411-0. Archived from the original on 20 September 2022. Retrieved 13 November 2021.
- ↑ James H. Beaty; James R. Kasser (2010). Rockwood and Wilkins' Fractures in Children. Lippincott Williams & Wilkins. pp. 233–. ISBN 978-1-58255-784-7. Archived from the original on 2022-09-20. Retrieved 2021-11-13.
- ↑ M. Patrice Eiff; Robert L. Hatch; Walter L. Calmbach (1999). Tratamiento de las fracturas en atención primaria. Elsevier España. pp. 31–. ISBN 978-84-8174-431-6.
- ↑ Robert H. Fitzgerald; Herbert Kaufer; Arthur L. Malkani (2004). Ortopedia. Ed. Médica Panamericana. pp. 354–. ISBN 978-950-06-0791-9. Archived from the original on 2022-09-20. Retrieved 2021-11-13.
- ↑ Almeida VA, Fernandes CH, Santos Jbgd Schwarz-Fernandes FA, Faloppa F, Albertoni WM (2018). "Evaluation of interobserver agreement in Albertoni's classification for mallet finger". Rev Bras Ortop. 53 (1): 2–9. doi:10.1016/j.rboe.2017.12.001. PMC 5771784. PMID 29367899.
- ↑ Samba Koné; Abdoulaye Bana; Stanislas André Touré (2015). "Hoffa fracture of medial unicondylar and bilateral in a man: a rare case". The Pan African Medical Journal. 20: 382. doi:10.11604/pamj.2015.20.382.6092. PMC 4499274. PMID 26185572.
External links
- worldcat-Friedrich Busch Archived 2018-05-13 at the Wayback Machine
| Classification | |
|---|---|
| External resources |
