Greenstick fracture
| Greenstick fracture | |
|---|---|
![]() | |
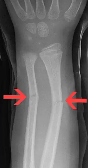
| Greenstick fractures of the mid radius and mid ulna on X-ray. | |
| Specialty | Orthopedics, pediatrics |
| Symptoms | Pain, decreased mobility[1] |
| Causes | Fall, other mechanisms including non-accidental trauma[1] |
| Risk factors | Vitamin D deficiency[1] |
| Diagnostic method | X-ray[1] |
| Differential diagnosis | Buckle fracture, Salter-Harris fracture, spiral fracture[2][1] |
| Treatment | Immobilization (cast or splint)[3] |
| Prognosis | Generally good[1] |
| Frequency | Common (children)[2] |
Greenstick fracture is type of break, where one side of the bone is disrupted and the other bends.[2] They occur most commonly in the first 10 years of life.[1] Symptoms generally include pain and a decreased ability to move the affected area.[1] Complications may occasionally include nerve injury.[1] Typically bones of the forearm or arm are involved; though, the leg, collar bone, or less often other bones may be affected.[1]
They typically result from a fall on an outstretched hand; though, they may occur from other mechanisms including non-accidental trauma.[1] Risks factors include vitamin D deficiency.[1] Diagnosis is generally by X-ray.[1] Other fractures with which they may be confused include buckle fractures and Salter-Harris fracture.[2]
Management generally involves immobilization with either a cast or splint.[3] This is often carried out for 6 weeks.[1] In those under the age of 10, up to 30 degrees of misalignment of the bones of the forearm is permitted.[2] If the fracture is overly bent, reduction may be required.[1] Greenstick fractures are common in children, though less common than torus fractures.[2][4] The name is from the fact that a green branch similarly breaks on only one side when bent.[4]
Signs and symptoms
Some clinical features of a greenstick fracture are similar to those of a standard long bone fracture – greenstick fractures normally cause pain at the injured area. As these fractures are specifically a pediatric problem, an older child will be protective of the fractured part and babies may cry inconsolably. As per a standard fracture, the area may be swollen and either red or bruised. Greenstick fractures are stable fractures as a part of the bone remains intact and unbroken so this type of fracture normally causes a bend to the injured part, rather than a distinct deformity, which is problematic. Symptoms include pain in the area and can start from overuse in that specific bone. This can be a very gradual chronic pain or pain from a specific injury.
Risk factors
The greenstick fracture pattern occurs as a result of bending forces. Activities with a high risk of falling are risk factors. Non-accidental injury more commonly causes spiral (twisting) fractures but a blow on the forearm or shin could cause a greenstick fracture. The fracture usually occurs in children and teens because their bones are flexible, unlike adults whose more brittle bones usually break.
Diagnosis
.jpg)
Projectional radiography is generally preferable.
Treatment
Removable splints result in better outcomes than casting in children with torus fractures of the distal radius.[5] If a person is doing better after 4 weeks, repeat X-rays are not needed.[6]
History
Evidence for greenstick fractures found in the fossil record is studied by paleopathologists, specialists in ancient disease and injury. Greenstick fractures (willow breaks) have been reported in fossils of the large carnivorous dinosaur Allosaurus fragilis.[7]
Greenstick fractures are found in the fossil remains of Lucy, the most famous specimen of Australopithecus afarensis, discovered in Ethiopia in 1974. Analysis of bone fracture patterns, which include a large number of greenstick fractures in the forearms, lower limbs, pelvis, thorax and skull, suggest that Lucy died from a vertical fall and impact with the ground.[8]
References
- ↑ 1.00 1.01 1.02 1.03 1.04 1.05 1.06 1.07 1.08 1.09 1.10 1.11 1.12 1.13 1.14 Atanelov, Z; Bentley, TP (January 2025). "Greenstick Fracture". StatPearls. PMID 30020651.
- ↑ 2.0 2.1 2.2 2.3 2.4 2.5 Patel, DS; Statuta, SM; Ahmed, N (15 March 2021). "Common Fractures of the Radius and Ulna". American family physician. 103 (6): 345–354. PMID 33719378.
- ↑ 3.0 3.1 Young, Jennifer. "#390 Use the soft touch for buckle fractures? – CFPCLearn". Archived from the original on 25 June 2025. Retrieved 26 May 2025.
- ↑ 4.0 4.1 Niknejad, Mohammad. "Greenstick fracture". Radiopaedia. Retrieved 27 May 2025.
- ↑ Firmin F, Crouch R (July 2009). "Splinting versus casting of "torus" fractures to the distal radius in the paediatric patient presenting at the emergency department (ED): a literature review". Int Emerg Nurs. 17 (3): 173–8. doi:10.1016/j.ienj.2009.03.006. PMID 19577205.
- ↑ "Five Things Physicians and Patients Should Question" (PDF). Choosing Wisely. Archived (PDF) from the original on 15 February 2018. Retrieved 15 February 2018.
- ↑ Molnar, R. E., 2001, Theropod paleopathology: a literature survey: In: Mesozoic Vertebrate Life, edited by Tanke, D. H., and Carpenter, K., Indiana University Press, p. 337-363.
- ↑ Kappelman, John; Ketcham, Richard; Pearce, Stephen; Todd, Lawrence; Akins, Wiley; Colbert, Matthew; Feseha, Mulugeta; Maisano, Jessica; Witzel, Adrienne (2016). "Perimortem fractures in Lucy suggest mortality from fall out of tall tree". Nature. 537 (7621): 503–507. Bibcode:2016Natur.537..503K. doi:10.1038/nature19332. PMID 27571283.
External links
