Elbow fracture


Elbow fractures are any broken bone in or near the elbow joint and include olecranon fractures, supracondylar humerus fractures and radial head fractures.[1]
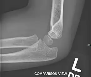
Terrible triad of the elbow
The terrible triad of the elbow (not to be confused with the terrible triad of the knee) is a combination of:[2]
- A fracture of the head of radius
- A fracture of the coronoid process of the ulna
- Humeroulnar dislocation (generally posterior or posterolateral)
The terrible triad of the elbow is confers joint instability and a major risk of developing osteoarthritis.[2]
References
- ↑ Daniel K Nishijima. "Elbow Fracture". Archived from the original on 10 December 2014. Retrieved 9 December 2014.
- ↑ 2.0 2.1 Seijas R, Ares-Rodriguez O, Orellana A, Albareda D, Collado D, Llusa M (2009). "Terrible triad of the elbow" (PDF). J Orthop Surg (Hong Kong). 17 (3): 335–9. doi:10.1177/230949900901700319. Archived (PDF) from the original on 2022-03-20. Retrieved 2021-08-30.
Bibliography
- Pederzini, Luigi Adriano; Eygendaal, Denise; Denti, Matteo, eds. (2016). Elbow and Sport. Springer. ISBN 978-3-662-48740-2.