Boxer's fracture
| Boxer's fracture | |
|---|---|
| Other names: Metacarpal neck fracture of the little finger, scrapper's fracture,[1] bar room fracture, street fighter's fracture[1] | |
![]() | |
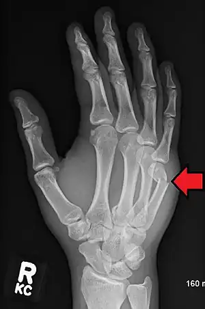
| Boxer's fracture of the 5th metacarpal head from punching a wall | |
| Specialty | Emergency medicine, orthopedics[2] |
| Symptoms | Pain, depressed knuckle[3] |
| Causes | Hits an object with a closed fist[2] |
| Diagnostic method | Based on symptoms and confirmed by X-rays[4] |
| Treatment | Buddy taping and a tensor bandage, reduction and splinting[5][4] |
| Medication | Ibuprofen, paracetamol (acetaminophen)[4] |
| Prognosis | Generally good[5] |
| Frequency | 20% of hand fractures[5] |
A boxer's fracture is the break of the metacarpal bone of the hand near the knuckle at the base of the little finger.[2] Occasionally it is used to refer to fractures of the 4th metacarpal as well.[1] Symptoms include pain and a depressed knuckle.[3]
Classically, it occurs after a person hits an object with a closed fist.[2] The knuckle is then bent towards the palm of the hand.[4] Diagnosis is generally suspected based on symptoms and confirmed with X-rays.[4]
For most fractures with less than 70 degrees of angulation, buddy taping and a tensor bandage resulted in similar outcomes to reduction with splinting.[5] In those with more than 70 degrees of angulation or in which the broken finger is rotated, reduction and splitting may be recommended.[4]
They represent about a fifth of hand fractures.[5] They occur more commonly in males than females.[5] Both short and long term outcomes are generally good.[5] The knuckle, however, typically remains somewhat deformed.[6]
Signs and symptoms
The symptoms are pain and tenderness in the specific location of the hand, which corresponds to the metacarpal bone around the knuckle. There will be swelling of the hand along with discoloration or bruising in the affected area. Abrasions or lacerations of the hand are also likely to occur. The respective finger may be misaligned, and movement of that finger may be limited and painful.[7][8]
Causes
Metacarpal fractures are usually caused by the impact of a clenched fist with a hard, immovable object, such as a skull or a wall. When a punch impacts with improper form, the force occurs at an angle towards the palm, creating a dorsal bend in the bone, ultimately causing the fracture when the bone is bent too far.[8][9]
When a boxer punches with proper form, the knuckles of the second and third metacarpal align linearly with the articulating radius, followed linearly by the humerus. Due to the linear articulation of bones, the force is able to travel freely across these joints and bones and be dissipated without injury. Therefore, fractures of the second or third metacarpals are rare, with fractures of the 4th and 5th metacarpals comprising the vast majority of metacarpal fractures.[10][11]
Diagnosis
Diagnosis by a doctor’s examination is the most common, often confirmed by x-rays. X-ray is used to display the fracture and the angulations of the fracture. A CT scan may be done in very rare cases to provide a more detailed picture.[8]
-
Boxer fracture -
Boxer fracture of the 4th and 5th knuckles
Prevention
Boxers and other combat athletes routinely use hand wraps and boxing gloves to help stabilize the hand, greatly reducing pain and risk of injury during impact. Proper punching form is the most important factor to prevent this type of fracture.[11]
Treatment
Ice is applied to relieve pain and swelling that may occur.[7]For most fractures with less than 70 degrees of angulation, buddy taping and a tensor bandage resulted in similar outcomes to reduction with splinting.[5][12]In rare cases surgery may be required to place pins or plates in the bone to hold the pieces in place.[13]
Prognosis

Prognosis for these fractures is generally good, with total healing time not exceeding 6 weeks. The first few weeks will show significantly reduced overall swelling, with improvement in clenching ability showing up first.[8] Ability to extend the fingers in all directions appears to improve more slowly; hard casts are sometimes required, and along with soft casts or splints when removed will need physical therapy[3]
For Boxer's fracture one sees that closed management of neck fractures with less than 70 degrees of angulation have a very high degree of function[8]
Epidemiology
Hand and wrist injuries are reported to account for fifteen to twenty percent of emergency room injuries, and metacarpal fractures represent a significant number of those injuries. Hand injuries of this sort are most prevalent among fifteen- to thirty-five-year-old males, and the fifth metacarpal is the one most commonly affected.[14]
Males are nearly fifty percent more likely to sustain fracture from a punch mechanism than females. Male intentional punch injuries are correlated predominantly with social deprivation, while female punch intentional injuries show more correlation with psychiatric disorders.[15]
Approximately 3.7 male hand injuries, per 1000, per year, and 1.3 female hand injuries, per 1000, per year, have been reported, common mechanisms of injury are gender specific[16].
History
Word origin
As these are colloquial terms, texts and medical dictionaries do not universally agree on precise meanings; various sources state that a "boxer's fracture" named for the mechanism the injury occurred, punching an object or individual with a closed fist (and probably no mitt) [9]with "bar room fracture" being specific to the fourth metacarpal bone or fifth metacarpal bone.[11]
References
- ↑ 1.0 1.1 1.2 Raby, Nigel; Berman, Laurence; Morley, Simon; Lacey, Gerald de (2014). Accident and Emergency Radiology: A Survival Guide E-Book. Elsevier Health Sciences. p. 163. ISBN 9780702050312. Archived from the original on 2017-10-12.
- ↑ 2.0 2.1 2.2 2.3 White, Timothy O.; Mackenzie, Samuel P.; Gray, Alasdair J. (2016). "13. Hand". McRae's Orthopaedic Trauma and Emergency Fracture Management (3rd ed.). Elsevier. p. 272. ISBN 978-0-7020-5728-1. Archived from the original on 2021-08-28. Retrieved 2022-09-08.
- ↑ 3.0 3.1 3.2 "Hand Fractures-OrthoInfo - AAOS". orthoinfo.aaos.org. October 2007. Archived from the original on 17 June 2017. Retrieved 12 October 2017.
- ↑ 4.0 4.1 4.2 4.3 4.4 4.5 Keenan, M (September 2013). "Managing boxer's fracture: a literature review". Emergency Nurse. 21 (5): 16, 18–24. doi:10.7748/en2013.09.21.5.16.e1198. PMID 24024723.
- ↑ 5.0 5.1 5.2 5.3 5.4 5.5 5.6 5.7 Dunn, JC; Kusnezov, N; Orr, JD; Pallis, M; Mitchell, JS (1 May 2016). "The Boxer's Fracture: Splint Immobilization Is Not Necessary". Orthopedics. 39 (3): 188–92. doi:10.3928/01477447-20160315-05. PMID 27018606.
- ↑ Gupta, Shivani; Diwan, Amna; Perone, Richard W.; Smith, R. Malcolm; Wenokor, Cornelia (2009). Musculoskeletal Trauma Simplified: A casebook to aid diagnosis & management. tfm Publishing Limited. p. 99. ISBN 9781908986504. Archived from the original on 2017-10-13.
- ↑ 7.0 7.1 Sueki, Derrick; Brechter, Jacklyn. Orthopedic Rehabilitation Clinical Advisor - E-Book. Elsevier Health Sciences. p. 481. ISBN 978-0-323-07252-6. Archived from the original on 28 August 2021. Retrieved 19 November 2020.
- ↑ 8.0 8.1 8.2 8.3 8.4 Malik, Saloni; Herron, Tom; Rosenberg, Naomi (2020). "Fifth Metacarpal Fractures". StatPearls. StatPearls Publishing. Archived from the original on 9 February 2021. Retrieved 19 November 2020.
- ↑ 9.0 9.1 Altizer, L (Jul–Aug 2006). "Boxer's fracture". Orthopaedic Nursing. 25 (4): 271–3, quiz 274–5. doi:10.1097/00006416-200607000-00010. PMID 16900073.
- ↑ Chung, Kevin C. Optimizing the Treatment of Upper Extremity Injuries in Athletes, An Issue of Hand Clinics, E-Book. Elsevier Health Sciences. p. 99. ISBN 978-0-323-52793-4. Archived from the original on 2021-08-28. Retrieved 2020-12-08.
- ↑ 11.0 11.1 11.2 Radiography of the Upper Extremities: 24 ARRT category A continuing education credits. CE4RT. 2014. p. 99. Archived from the original on 28 August 2021. Retrieved 8 December 2020.
- ↑ Hussain, Malik Hatim; Ghaffar, Ali; Choudry, Qaisar; Iqbal, Zafar; Khan, Muhammad Noman. "Management of Fifth Metacarpal Neck Fracture (Boxer's Fracture): A Literature Review". Cureus. 12 (7). doi:10.7759/cureus.9442. ISSN 2168-8184. Archived from the original on 28 August 2021. Retrieved 19 November 2020.
{{cite journal}}: CS1 maint: unflagged free DOI (link) - ↑ Page 42 Archived 2017-11-05 at the Wayback Machine in: Weinzweig, Jeffrey (1999). Hand & Wrist Surgery Secrets (The Secrets Series). Philadelphia: Hanley & Belfus. ISBN 978-1-56053-364-1.
- ↑ van Onselen, EB; Karim, RB; Hage, JJ; Ritt, MJ (Oct 2003). "Prevalence and distribution of hand fractures". Journal of Hand Surgery (Edinburgh, Scotland). 28 (5): 491–5. doi:10.1016/S0266-7681(03)00103-7. PMID 12954264.
- ↑ Jeanmonod, RK; Jeanmonod, D; Damewood, S; Perry, C; Powers, M; Lazansky, V (Feb 2011). "Punch injuries: insights into intentional closed fist injuries". The Western Journal of Emergency Medicine. 12 (1): 6–10. PMC 3088367. PMID 21691465.
- ↑ Anakwe, R. E.; Aitken, S. A.; Cowie, J. G.; Middleton, S. D.; Court-Brown, C. M. (January 2011). "The epidemiology of fractures of the hand and the influence of social deprivation". The Journal of Hand Surgery, European Volume. 36 (1): 62–65. doi:10.1177/1753193410381823. ISSN 2043-6289. Archived from the original on 28 August 2021. Retrieved 8 December 2020.
External links
| Classification | |
|---|---|
| External resources |
- Boxer's fracture (Wheeless' Textbook of Orthopaedics) Archived 2007-07-15 at the Wayback Machine
