Dioctophyme renale
| Dioctophyme renale | |
|---|---|
| |
| Dioctophyme renale that was free floating in the abdomen of a dog | |
| Scientific classification | |
| Kingdom: | Animalia
|
| Phylum: | |
| Class: | Chromadorea
|
| Order: | Ascaridida
|
| Family: | Dioctophymatidae
|
| Genus: | Dioctophyme
|
| Species: | D. renale
|
| Binomial name | |
| Dioctophyme renale (Goeze, 1782)
| |
| Synonyms | |
|
Dioctophymosis,[1] dioctophymiasis, giant kidney worm, kidney worm infection,[2] Dioctophyme renale infection[3][4] | |
Dioctophyme renale, commonly referred to as the giant kidney worm,[5][6][7] is a parasitic nematode (roundworm) whose mature form is found in the kidneys of mammals. D. renale is distributed worldwide, but is less common in Africa and Oceania.[1] It affects fish eating mammals, particularly mink [5] and dogs.[1] Human infestation is rare, but results in kidney destruction, usually of one kidney and hence not fatal. A 2019 review listed a total of 37 known human cases of dioctophymiasis in 10 countries with the highest number (22) in China. Upon diagnosis through tissue sampling, the only treatment is surgical excision.[8]
Morphology

D. renale is the largest nematode to parasitize humans. Adult male worms are 20–40 cm long and 5–6 mm wide; females can grow to 103 cm in length with a width of 10–12 mm.[7] Both sexes appear bright red in color and taper at both the anterior and posterior ends. Male D. renale worms have a bursa, which is used to attach to facilitate mating.
Eggs are 60–80 micrometres x 39–47 micrometres, contain an embryo, and have characteristic sculpturing of the shell.[7] They have an oval-shape and brownish-yellow hue. Eggs have a thick shell, and the surface appears to be pitted except at the poles.
History
Dioctophyme renale was discovered in 1583. Almost two centuries later, in 1782, Johann Goeze first described D. renale upon discovering the worms in a dog kidney. The family Dioctophymidae has only one genus (Dioctophyme), and the name of the genus was in contention (with the possibility of being Dioctophyma) for two hundred years. The issue was finally resolved by the International Commission on Zoological Nomenclature[5] in 1989.
In 2003, D. renale eggs were discovered in six human coprolites in the neolithic site Arbon-Bleiche 3, Switzerland. This location is near a lake, which likely provided early humans with access to freshwater fish and frogs. The samples were dated from 3384 to 3370 BC, and is evidence that the prevalence of this infection was higher in early human history (before full understanding of proper cooking techniques).[9] Eggs were also found in 2019 in a well-preserved largely fish-eating settlement in England dating to 900 BC.[10]'[]
Dioctophymosis
Signs and symptoms in humans
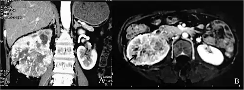
Individuals with Dioctophyme renale infection (known as dioctophymosis) typically present with unspecific symptoms including hematuria[1][3] (blood in urine), nephritis, loin pain,[7] renal enlargement, and/or renal colic[1] (intermittent pain in the kidney area), which may result from the rare migration of worms through ureters.[5][7][1][3] In some cases the fibrosis occurring after parasite infection is an incidental finding in ultrasound or CT scan, mimicking renal cancer, leading to radical nephrectomy.[11]
Adult worms typically only infect one kidney. The kidney is destroyed because of fibrosis, the development of excess fibrous connective tissue. Global renal dysfunction is typically limited because the non-infected kidney is usually capable of assuming the increased work. However, parenchymal inflammation can lead to death in extreme circumstances.
Transmission and life cycle

Adult Dioctophyme renale inhabit the kidney (typically the right kidney).[6][2] Females produce eggs which are passed in urine. In aquatic environments, eggs embryonate after 15–100 days.[1] These eggs are ingested by an aquatic oligochaete, hatch, penetrate blood vessels, and develop into a stage three larvae. A paratenic host[12] may then ingest the oligochaete. The oligochaete or paratenic host is then eaten by a definitive host, wherein juveniles penetrate intestinal lining and migrate to the liver. After maturing for approximately 50 days, the juveniles then migrate to the kidneys (typically the right kidney). Upon maturation, D. renale can survive for five years.[5][4][13]
Definitive hosts are carnivorous mammals, notably mink,[14] but also includes wolves, coyotes, foxes,[15] dogs,[16] raccoons, and weasels.[2]
Transmission to humans typically occurs upon ingestion of raw or undercooked freshwater fish or frog.[7][3]
There are multiple reservoirs for D. renale. Confirmed cases of infection have occurred in minks,[17][18] dogs,[16] swine, bears, oxen, and humans.[7][1][2]
Diagnosis

The only means of obtaining a definitive diagnosis is through the identification of D. renale eggs in a patient's urine. However, obtaining patient history (i.e., if the patient has consumed undercooked or raw freshwater fish) is an important first step that can be coupled with radiological exams[1] to search for enlarged or calcified kidneys. Urinalysis will likely show hematuria blood tests may reveal eosinophilia.
Prevention
No public health measures have been undertaken or vaccines developed because of the rarity[13] of human infection. The majority of D. renale infections have resulted from undercooked or raw freshwater fish consumption. Thus, the simple practice of thoroughly cooking fish prior to consumption could be promoted and lead to eradication of D. renale infection in humans.
Management
Likely because of the rarity of human cases, there is no standard treatment[2] for D. renale infection in humans. The only known means is surgical excision of either adult worms[4] or the infected kidney.[3] Nephrectomy is generally considered extreme for human cases.[19]
A physician reportedly used Ivermectin to treat a patient, who was effectively cured.[19] The use of anti-helminth drugs has not yet been evaluated as the proper course of action to treat this infection.
Epidemiology
Though D. renale is distributed worldwide, though markedly less frequent in Africa and Oceania, human infection is extremely rare. Regions around the Caspian Sea have the highest number of cases, with the most occurring in Iran.[19] Infections are also most commonly found in areas where freshwater fish is a dietary mainstay.
Non-human infections are more common worldwide, especially in areas of temperate climate. Prevalence in mink populations may be high, such as portions of Ontario[5] or Minnesota.[17] Similarly, some minnow populations may be as high as 50%.[1]
See also
References
- ↑ 1.00 1.01 1.02 1.03 1.04 1.05 1.06 1.07 1.08 1.09 Palmer, Philip E. S.; Reeder, Maurice (22 February 2009). "Kidney Worm: Dioctophymiasis and Eustrongylidiasis". Tropical Medicine Central Resource International Society of Radiology. Archived from the original on 5 October 2019. Retrieved 24 February 2009.
- ↑ 2.0 2.1 2.2 2.3 2.4 "Dioctophyme renale Infection in Bears (Parasitic Disease Summary)". 22 February 2009. Archived from the original on June 15, 2009.
- ↑ 3.0 3.1 3.2 3.3 3.4 Charisis, N. S. & Vassalos, K. M. (22 February 2009). "An Introduction to FOODBORNE DISEASES & HACCP Systems" (PDF). Mediterranean Zoonoses Control Center/World Health Organization. Archived from the original (PDF) on 2011-07-17.
- ↑ 4.0 4.1 4.2 "Infectious Diseases". Gideon. 22 February 2009. Archived from the original on 19 January 2016. Retrieved 3 July 2023.
- ↑ 5.0 5.1 5.2 5.3 5.4 5.5 "Animal Parasitology". Kansas State University. 5 February 2001. Archived from the original on 2019-10-11. Retrieved 2015-07-23.
- ↑ 6.0 6.1 "Urinary System Diseases, Animals". Parasitology Research & Encyclopedic Reference of Parasitology. 22 February 2009. Archived from the original on June 16, 2009.
- ↑ 7.0 7.1 7.2 7.3 7.4 7.5 7.6 "Homo sapiens diseases - Metazoa". Molecular Medicine. 22 February 2009. Archived from the original on July 22, 2009.
- ↑ Yang, Fengkun; Zhang, Weizhe; Gong, Baiyan; Yao, Lan; Liu, Aiqin; Ling, Hong (2019). "A human case of Dioctophyma renale (giant kidney worm) accompanied by renal cancer and a retrospective study of dioctophymiasis". Parasite. 26: 22. doi:10.1051/parasite/2019023. ISSN 1776-1042. PMC 6454929. PMID 30963996.
- ↑ LeBailly, M.; Leuzinger, U.; Bouchet, F. (October 2003). "Dioctophymidae Eggs in Coprolites From Neolithic Site of Arbon-Bleiche 3 (Switzerland)". Journal of Parasitology. 89 (5): 1073–076. doi:10.1645/ge-3202rn. ISSN 1937-2345. PMID 14627164. S2CID 21884826.
- ↑ Ian Sample (16 August 2019). "Bronze age meals in the marshes – seasoned with parasitic worms". The Guardian. Archived from the original on 29 November 2020. Retrieved 3 July 2023.
- ↑ Katafigiotis, Ioannis; Fragkiadis, Evangelos; Pournaras, Christos; Nonni, Afrodite & Stravodimos, Konstantinos G. (October 2013). "Case Report: A rare case of a 39-year-old male with a parasite called Dioctophyma renale mimicking renal cancer at the computed tomography of the right kidney". Parasitology International. 62 (5): 459–60. doi:10.1016/j.parint.2013.06.007. PMID 23811203.
- ↑ Measures, Lena N. & Anderson, Roy C. (January 1985). "Centrachid Fish as Paratenic Hosts of the Giant Kidney Worm, Dioctophyma Renale (Goeze, 1782), in Ontario, Canada". Journal of Wildlife Diseases. 21 (1): 11–19. doi:10.7589/0090-3558-21.1.11. PMID 3157009.
- ↑ 13.0 13.1 "Giant Kidney Worm (Dioctophyme renale) in Dogs". PetEducation.com. Archived from the original on 2015-07-24. Retrieved 2015-07-23.
- ↑ Mace, T. F. (January 1976). "Lessions in Mink (Mustela vision) Infected with Giant Kidney Worm (Dioctophyma renale)". Journal of Wildlife Diseases. 12 (1): 88–92. doi:10.7589/0090-3558-12.1.88. PMID 130503. S2CID 13412380.
- ↑ Ribeiro, Carlos Torres; Verocai, Guilherme Gomes & Tavares, Luiz Eduardo Roland (April 2009). "Dioctophyme renale (Nematoda, Dioctophymatidae) Infection in the Crab-eating Fox (Cerdocyon thous) from Brazil". Journal of Wildlife Diseases. 45 (2): 248–50. doi:10.7589/0090-3558-45.1.248. PMID 19204359. S2CID 26764971.
- ↑ 16.0 16.1 Nakagawa, Tizianne Larissa Duim Ribeiro; Bracarense, Ana Paula Frederico Rodrigues Loureiro; Faria Dos Reis, Antonio Carlos; Yamamura, Milton Hissashi & Headley, Selwyn Arlington (April 2007). "Giant kidney worm (Dioctophyma renale) infections in dogs from Northern Paraná, Brazil". Veterinary Parasitology. 145 (3–4): 366–70. doi:10.1016/j.vetpar.2006.10.027. PMID 17156927.
- ↑ 17.0 17.1 Mech, L. David; Tracy, Shawn P. (January 2001). "Prevalence of Giant Kidney Worm (Dioctophyma renale) in Wild Mink (Mustela vison) in Minnesota". American Midland Naturalist. 145 (1): 206–09. doi:10.1674/0003-0031(2001)145[0206:pogkwd]2.0.co;2. JSTOR 3083096. S2CID 85945976. Archived from the original on 2018-07-22. Retrieved 2023-07-03.
- ↑ Barros, D. M.; Lorini, M. L. & Persson, V. G. (October 1990). "Dioctophymosis in the Little Grison (Galictis cuja)". Journal of Wildlife Diseases. 26 (4): 538–39. doi:10.7589/0090-3558-26.4.538. PMID 2250331. S2CID 7805746.
- ↑ 19.0 19.1 19.2 Ignjatovic, I; Stojkovic, I; Kutlesic, C & Tasic, S (January 2003). "Infestation of the Human Kidney with Dioctophyma renale". Urologia Internationalis. 70 (1): 70–73. doi:10.1159/000067695. PMID 12566820. S2CID 36839206.
External links
- Giant Kidney Worm Archived 2023-07-05 at the Wayback Machine - YouTube video showing the removal of five giant kidney worms from a dog.
