Clonorchiasis
| Clonorchiasis | |
|---|---|
| Other names: Clonorchis sinensis infection[1] | |
![]() | |
| Differential symptoms of parasite infection by raw fish: Clonorchis sinensis (a trematode/fluke), Anisakis (a nematode/roundworm) and Diphyllobothrium a (cestode/tapeworm),[2] all have gastrointestinal, but otherwise distinct, symptoms.[3][4][5][6] | |
| Specialty | Infectious disease |
| Symptoms | Fever, jaundice, diarrhea[7] |
| Complications | Pancreatitis, liver abscesses[8] |
| Causes | Clonorchiasis sinensis [8] |
| Diagnostic method | Microscopic examination of stool[7] |
| Differential diagnosis | Acute hepatitis, cholecystitis, choledocholithiasis[8] |
| Treatment | Praziquantil[8] |
| Prognosis | Resolution of pathological issues caused by C. sinensis depends on how soon treatment began[8] |
| Frequency | 15 million people are infected with Clonorchis sinensis worldwide(200 million people are at risk of infection)[9] |
Clonorchiasis is an infectious disease caused by the Chinese liver fluke (Clonorchis sinensis) and two related species.Clonorchiasis is a known risk factor for the development of cholangiocarcinoma, a neoplasm of the biliary system.[8][7] [10]
Symptoms of opisthorchiasis caused by Opisthorchis viverrini and by O. felineus are indistinguishable from clonorchiasis caused by Clonorchis sinensis,[11] leading some to argue that the disease by these three parasites should be referred to collectively as clonorchiasis.[11]
Signs and symptoms
The clinical presentation of Clonorchiasis is as follows:[7]
- Fever
- Epigastric pain
- Jaundice
- Diarrhea
Complications
In terms of the possible complications of Clonorchiasis we find the following:[8]
- Pyogenic cholangitis
- Pancreatitis
- Liver abscesses
Cause

Clonorchiasis sinensis is a trematode (fluke) which is part of the phylum Platyhelminthes. The parasitic worm is as long as 10 to 25 mm and lives in the bile ducts of the liver. It is a hermaphroditic fluke that requires two intermediate hosts. The eggs of the worms are passed in fecal matter into a body of water and are then ingested by mollusks.[7] [10][8]
The water snail is the first intermediate host, in which a miracidium (an embryonated egg discharged in stool) goes through its developmental stages (sporocyst, rediae and cercariae). Freshwater fish are a second intermediate host for the parasitic worm. They become infected when the larva (cercaria) of the worm leaves the snail and penetrates the flesh of the fish. Humans then become infected by eating infected fish that has been undercooked, smoked, pickled, or salted, and from there the cycle repeats.[7][8] [10]
Clonorchiasis is endemic in the Far East, especially in Korea, Japan, Taiwan, and Southern China. Clonorchiasis has been reported in areas to which it is not endemic (including the United States). [10]
In such cases, the infection follows the ingestion of undercooked or pickled freshwater fish imported from one of the endemic areas and containing metacercariae.[10]
Diagnosis
Adult C. sinensis worms can inhabit the bile ducts of humans for many years without any clear clinical symptoms. This, in addition to the nonspecific symptoms infected persons may develop, can lead to missed diagnoses.[12][7][8]
Patients are diagnosed when C. sinensis eggs are found in stools. The formalin-ether concentration technique (FECT) method of stool examination is most effective at diagnosing light cases of infection, while the Kato-Katz (KK) method is more suitable for the diagnosing of persons with clonorchiasis. Serological methods that use enzyme-linked immunosorbent assay (ELISA) can help differentiate the eggs of C. sinensis from other flukes.[9]
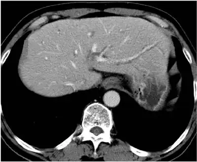
-
CT of individual with clonorchiasis -
Egg found in the persons stool by a sedimentation method

Differential diagnosis
The DDx of Clonorchiasis is as follows:[8]
- Cholecystitis
- Acute hepatitis
- Primary biliary cholangitis
- Schistosomiasis
- Choledocholithiasis
- Schistosomiasis
Treatment

In terms of management for Clonorchiasis in an affected individual, we find the following:[7]
- Praziquantel: Administered at dosage of 25 mg/kg oral, three times a day(two days)
- Albendazole: Administered at dosage of 10 mg/kg orally, once a day(seven days)
Prognosis
In terms of the prognosis of Clonorchiasis we find that the prognosis depends on the severity and duration of the infection. Mild Infections may not require treatment. However chronic infections can result in serious complications(cholangiocarcinoma), which could be fatal[13]
Epidemiology
As to the global burden of Clonorchiasis we find that over 15 million individuals are infected worldwide,the majority are located in East Asia.[9]
We also find that it's endemic in East Asia, meaning, China, South Korea, northern Vietnam, Taiwan, and Russia.[7]
History
In terms of history we find that Clonorchiasis, was discovered by physician James McConnell in 1874. He was a professor at the Medical College Hospital in Calcutta .[14]
References
- ↑ "Clonorchiasis (Concept Id: C0009021) - MedGen - NCBI". www.ncbi.nlm.nih.gov. Archived from the original on 10 December 2024. Retrieved 20 November 2024.
- ↑ WaiSays: About Consuming Raw Fish Archived 2018-04-19 at the Wayback Machine Retrieved on April 14, 2009
- ↑ For Chlonorchiasis: Public Health Agency of Canada – Clonorchis sinensis – Material Safety Data Sheets (MSDS) Archived 2010-12-06 at the Wayback Machine Retrieved on April 14, 2009
- ↑ For Anisakiasis: WrongDiagnosis: Symptoms of Anisakiasis Archived 2021-09-28 at the Wayback Machine Retrieved on April 14, 2009
- ↑ For Diphyllobothrium: MedlinePlus > Diphyllobothriasis Archived 2016-07-04 at the Wayback Machine Updated by: Arnold L. Lentnek, MD. Retrieved on April 14, 2009
- ↑ For symptoms of diphyllobothrium due to vitamin B12-deficiency University of Maryland Medical Center > Megaloblastic (Pernicious) Anemia Archived 2011-11-26 at the Wayback Machine Retrieved on April 14, 2009
- ↑ 7.0 7.1 7.2 7.3 7.4 7.5 7.6 7.7 7.8 "Clonorchiasis - Infectious Diseases". MSD Manual Professional Edition. Archived from the original on 21 May 2022. Retrieved 4 November 2022.
- ↑ 8.00 8.01 8.02 8.03 8.04 8.05 8.06 8.07 8.08 8.09 8.10 Locke, Victoria; Kusnik, Alexander; Richardson, Melissa S. (2024). "Clonorchis Sinensis". StatPearls. StatPearls Publishing. PMID 30422487. Archived from the original on 2022-03-13. Retrieved 2024-11-22.
- ↑ 9.0 9.1 9.2 Tang, Ze-Li; Huang, Yan; Yu, Xin-Bing (6 July 2016). "Current status and perspectives of Clonorchis sinensis and clonorchiasis: epidemiology, pathogenesis, omics, prevention and control". Infectious Diseases of Poverty. 5 (1): 71. doi:10.1186/s40249-016-0166-1. ISSN 2049-9957. PMC 4933995. PMID 27384714.
- ↑ 10.0 10.1 10.2 10.3 10.4 10.5 "Clonorchiasis". CDC – DPDx. Archived from the original on 2013-02-16.
- ↑ 11.0 11.1 King, Sandie; Scholz, Tomáš (2001). "Trematodes of the family Opisthorchiidae: A minireview". The Korean Journal of Parasitology. 39 (3): 209–21. doi:10.3347/kjp.2001.39.3.209. PMC 2721069. PMID 11590910..
- ↑ Flores-Guerrero, Jose L. (2024). "Clonorchis sinensis and Carcinogenesis Risk: Biomarkers and Underlying Pathways". Pathogens Associated with the Development of Cancer in Humans: OMICs, Immunological, and Pathophysiological Studies. Springer Nature Switzerland. pp. 257–267. doi:10.1007/978-3-031-62558-9_13. ISBN 978-3-031-62558-9.
- ↑ "Neglected tropical diseases: Clonorchiasis". www.who.int. Archived from the original on 2024-08-25. Retrieved 2024-11-26.
- ↑ Qian, Men-Bao; Utzinger, Jürg; Keiser, Jennifer; Zhou, Xiao-Nong (20 February 2016). "Clonorchiasis". The Lancet. 387 (10020): 800–810. doi:10.1016/S0140-6736(15)60313-0. ISSN 0140-6736. PMID 26299184.
External links
| Classification |
|---|
