Flat wart
| Flat wart | |
|---|---|
| Other names: Verruca plana[1] | |
![]() | |
| Verruca plana (flat warts) on the chin of a middle-aged woman | |
| Specialty | Dermatology, infectious diseases |
| Usual onset | Children, adolescents[1] |
| Causes | HPV types 3, 10, 28, 41[1] |
| Risk factors | Sun exposure, swimmers[1] |
| Prognosis | May resolve spontaneously[1] |
A flat wart, also known as verruca plana, is a type of wart, a reddish-brown or flesh-colored, slightly raised, flat-surfaced, well-demarcated small bump of 2 - 4 mm in diameter.[1] Its surface looks rough and irregular.[2] It typically occurs on hands, legs and face, and several may occur in a line.[3]
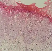
At histopathology, flat warts have cells with prominent perinuclear vacuolization around pyknotic, basophilic, centrally located nuclei that may be located in the granular layer.[4] These are referred to as "owl's eye cells."[4]
Additional images

References
- ↑ 1.0 1.1 1.2 1.3 1.4 1.5 James, William D.; Elston, Dirk; Treat, James R.; Rosenbach, Misha A.; Neuhaus, Isaac (2020). "19. Viral diseases". Andrews' Diseases of the Skin: Clinical Dermatology (13th ed.). Elsevier. p. 403. ISBN 978-0-323-54753-6. Archived from the original on 2023-04-29. Retrieved 2023-04-29.
- ↑ Rapini, Ronald P.; Bolognia, Jean L.; Jorizzo, Joseph L. (2007). Dermatology: 2-Volume Set. St. Louis: Mosby. p. 1188. ISBN 978-1-4160-2999-1.
- ↑ Lookingbill, Donald, et al. Principles of Dermatology. Saunders. 2000. Pages 68-69. ISBN 0-7216-7971-4.
- ↑ 4.0 4.1 Ahmad M. Al Aboud; Pramod K. Nigam (2021). "Wart". Wart (Plantar, Verruca Vulgaris, Verrucae). StatPearls. Archived from the original on 2020-11-12. Retrieved 2021-09-25.
{{cite book}}:|website=ignored (help)CS1 maint: multiple names: authors list (link) Last Update: May 13, 2019.
External links
| Classification |
|---|
_on_the_chin.jpg)