Tropheryma whipplei
| Tropheryma | |
|---|---|
| |
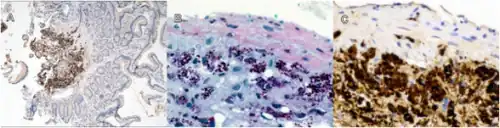
| Tropheryma whipplei bacteria in human macrophages | |
| Scientific classification | |
| Domain: | Bacteria |
| Kingdom: | Bacillati |
| Phylum: | Actinomycetota |
| Class: | Actinomycetes |
| Order: | Micrococcales |
| Family: | "Tropherymataceae" Nouioui et al. 2018[2] |
| Genus: | Tropheryma La Scola et al. 2001[1]
|
| Species: | T. whipplei
|
| Binomial name | |
| Tropheryma whipplei La Scola et al. 2001[1]
| |
| Synonyms[3] | |
| |
Tropheryma whipplei is a bacterium that is the causative organism of Whipple's disease, and rarely, endocarditis.[1]
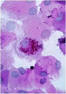
While T. whipplei is categorized with the Gram-positive Actinomycetota, the organism is commonly found to be Gram-positive or Gram-indeterminate when stained in the laboratory.[1] Whipple himself probably observed the organisms as rod-shaped structures with silver stain in his original case.[4]
Genome
Several strains of T. whipplei have been sequenced.[5][6] Genomes of intracellular or parasitic bacteria undergo massive reduction compared to their free-living relatives. With a genome size of less than 1 Mb, T. whipplei is a prime example of genome reduction among Actinomycetota. Other such examples include Mycoplasma for Bacillota (the low G+C content Gram-positive), Rickettsia for Alphaproteobacteria, and Wigglesworthia and Buchnera for Gammaproteobacteria.[5]
Some of the largest virions like Megavirus chilensis, Pandoravirus, Pithovirus and mimivirus are comparable in size to miniature bacteria like T. whipplei and Rickettsia conorii.
History
No name was given to the organism until 1991, when the name Tropheryma whippelii was proposed after sections of the bacterial genome were sequenced.[7][8] The name was changed to Tropheryma whipplei in 2001 (correcting the spelling of Whipple's name) when the organism was deposited in bacterial collections.[1]
As of 2008, the species, genus, and family name are considered to be invalid due to irregularities in the deposition of type material, and are thus styled in quotation marks.[9]
Whipple's disease

Individuals who are most susceptible to Whipple's disease are those with decreased ability to perform intracellular degradation of ingested pathogens or particles, particularly within macrophages. Several studies indicate that defective T-lymphocyte function may be an important predisposing factor for the disease.[10]
References
- ↑ 1.0 1.1 1.2 1.3 1.4 La Scola B, Fenollar F, Fournier PE, Altwegg M, Mallet MN, Raoult D (July 2001). "Description of Tropheryma whipplei gen. nov., sp. nov., the Whipple's disease bacillus". Int. J. Syst. Evol. Microbiol. 51 (Pt 4): 1471–9. doi:10.1099/00207713-51-4-1471. PMID 11491348.
- ↑ Nouioui, Imen; Carro, Lorena; García-López, Marina; Meier-Kolthoff, Jan P.; Woyke, Tanja; Kyrpides, Nikos C.; Pukall, Rüdiger; Klenk, Hans-Peter; Goodfellow, Michael; Göker, Markus (2018). "Genome-Based Taxonomic Classification of the Phylum Actinobacteria". Frontiers in Microbiology. 9 (2007): 1–119. doi:10.3389/fmicb.2018.02007. PMC 6113628. PMID 30186281.
- ↑ Liang Z, La Scola B, Raoult D (January 2002). "Monoclonal antibodies to immunodominant epitope of Tropheryma whipplei". Clin. Diagn. Lab. Immunol. 9 (1): 156–9. doi:10.1128/CDLI.9.1.156-159.2002. PMC 119894. PMID 11777846.
- ↑ Whipple GH. (1907). "A hitherto undescribed disease characterized anatomically by deposits of fat and fatty acids in the intestinal and mesenteric lymphatic tissues". Johns Hopkins Hosp Bull. 18: 382–91.
- ↑ 5.0 5.1 Raoult D, et al. (2003). "Tropheryma whipplei Twist: a human pathogenic Actinobacteria with a reduced genome". Genome Res. 13 (8): 1800–9. doi:10.1101/gr.1474603. PMC 403771. PMID 12902375. Archived from the original on 18 July 2023. Retrieved 8 August 2016.
- ↑ Bentley, SD.; Maiwald, M.; Murphy, LD.; Pallen, MJ.; Yeats, CA.; Dover, LG.; Norbertczak, HT.; Besra, GS.; et al. (Feb 2003). "Sequencing and analysis of the genome of the Whipple's disease bacterium Tropheryma whipplei". Lancet. 361 (9358): 637–44. doi:10.1016/S0140-6736(03)12597-4. PMID 12606174. S2CID 8743326.
- ↑ Relman D, Schmidt T, MacDermott R, Falkow S (1992). "Identification of the uncultured bacillus of Whipple's disease". N Engl J Med. 327 (5): 293–301. doi:10.1056/NEJM199207303270501. PMID 1377787.
- ↑ From Greek τροφή trophê, "nourishment, food" and ἔρυμα eruma, "fence, a defence against, barrier".
- ↑ "Species Tropheryma whipplei". LPSN - List of Prokaryotic names with Standing in Nomenclature. Archived from the original on 2022-11-09. Retrieved 2023-06-03.
- ↑ Marth T (November 2001). "The diagnosis and treatment of Whipple's disease". Curr Allergy Asthma Rep. 1 (6): 566–71. doi:10.1007/s11882-001-0066-7. PMID 11892086. S2CID 6747902.
