Miliary tuberculosis
| Miliary tuberculosis | |
|---|---|
| Other names: Disseminated tuberculosis, [1]tuberculosis cutis acuta generalisata, tuberculosis cutis disseminata[2] | |
![]() ![]() | |
| |
| Specialty | Infectious disease |
| Symptoms | Fever, night sweats, weight loss, fatigue[1][3] |
| Complications | Tubercular empyema, Pneumothorax ,MODS, ARDS[4][5] |
| Causes | TB[4] |
| Diagnostic method | Blood test,chest X-ray show multiple small tubercles[4][3] |
| Differential diagnosis | Blastomycosis, Histoplasmosis, Coccidioidomycosis[4] |
| Treatment | Combination of antibiotics(several months)[4] |
Miliary tuberculosis is a form of tuberculosis that is characterized by a wide dissemination into the human body and by the tiny size of the lesions (1–5 mm). Its name comes from a distinctive pattern seen on a chest radiograph of many tiny spots distributed throughout the lung fields with the appearance similar to millet seeds—thus the term "miliary" tuberculosis. Miliary TB may infect any number of organs, including the lungs, liver, and spleen.[5] Miliary tuberculosis is present in about 2 percent of all reported cases of tuberculosis and accounts for up to 20 percent of all extra-pulmonary tuberculosis cases.[6]
Signs and symptoms

Patients with miliary tuberculosis often experience non-specific signs and symptoms:[7][8][1][3]
- Choroidal tubercles
- Shortness of breath
- Fatigue
- Pallor
- Swollen glands
Complications
In terms of the possible complications we find the following:[4][5]
- Tubercular empyema
- Pneumothorax
- Tubercular pericardial effusion
- MODS
- ARDS
Cause

Miliary tuberculosis is a form of tuberculosis that is the result of Mycobacterium tuberculosis travelling to extrapulmonary organs, such as the liver, spleen and kidneys.[9] Although it is well understood that the bacteria spread from the pulmonary system to the lymphatic system and eventually the blood stream, the mechanism by which this occurs is not well understood.[10]
Risk factors
The risk factors for contracting miliary tuberculosis are being in direct contact with a person who has it, living in unsanitary conditions, and poor nutrition. In the U.S., risk factors for contracting the disease include homelessness and HIV/AIDS.[1]
Mechanism
One proposed mechanism is that tuberculous infection in the lungs results in erosion of the epithelial layer of alveolar cells and the spread of infection into a pulmonary vein.[10][11] Once the bacteria reach the left side of the heart and enter the systemic circulation, they may multiply and infect extrapulmonary organs.[11] Once infected, the cell-mediated immune response is activated. The infected sites become surrounded by macrophages, which form granuloma, giving the typical appearance of miliary tuberculosis.[12]
Alternatively, the bacteria may attack the cells lining the alveoli and enter the lymph node(s). The bacteria then drain into a systemic vein and eventually reach the right side of the heart. From the right side of the heart, the bacteria may seed the lungs, causing the eponymous "miliary" appearance.[10][4][13]
Diagnosis
Testing for miliary tuberculosis is conducted in a similar manner as for other forms of tuberculosis, although a number of tests must be conducted on a patient to confirm diagnosis.[7] Tests include chest x-ray, sputum culture, bronchoscopy, biopsy, CT/MRI, blood cultures, fundoscopy, and electrocardiography.[1] The tuberculosis (TB) blood test, also called an Interferon Gamma Release Assay or IGRA, is a way to diagnose latent TB.A variety of neurological complications have been noted in miliary tuberculosis patients—tuberculous meningitis and cerebral tuberculomas being the most frequent. However, a majority of patients improve following antituberculous treatment. Rarely lymphangitic spread of lung cancer could mimic miliary pattern of tuberculosis on regular chest X-ray. [14][4]
The tuberculin skin test, commonly used for detection of other forms of tuberculosis, is not useful in the detection of miliary tuberculosis. The tuberculin skin test fails due to the high numbers of false negatives.[15] These false negatives may occur because of higher rates of tuberculin anergy compared to other forms of tuberculosis.[7]
-
X-ray, showing bilateral interstitial infiltrates -
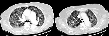
CT, showing extensive pulmonary parenchymal involvement consisting of irregular septal thickenings with ground-glass areas and centrilobular nodules with a peri-lymphatic distribution -
X-ray, showing extensive bilateral reticulo-nodular infiltrates -
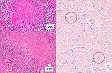
Gross pathology of the lung, spleen and kidney, showing micronodules -
Histopathology, showing epithelioid granulomas with multinucleated giant cells and acid-fast bacilli -
Tuberculosis of the lungs -
Tuberculosis of the lungs
Diagnostic advance
Miliary TB often presents with low bacterial loads and atypical symptoms making conventional diagnostics like smear microscopy or culture less effective[4]
As to advances we find that around the beginning of the 2020's Metagenomic next-generation sequencing of cerebrospinal fluid emerged as a powerful diagnostic tool for detecting CNS involvement in miliary tuberculosis, especially in cases where traditional methods like culture or PCR fall short. By sequencing all nucleic acids in a sample without prior assumptions, mNGS can identify Mycobacterium tuberculosis even in low-bacterial-load or atypical presentations[16][17]
Differential diagnosis
As to the DDx we find the following should be considered :[4]
- Blastomycosis
- Histoplasmosis
- Coccidioidomycosis
- Sarcoidosis
- Pyogenic infection
Treatment

The standard treatment recommended by the WHO is with isoniazid and rifampicin for six months, as well as ethambutol and pyrazinamide for the first two months. If there is evidence of meningitis, then treatment is extended to twelve months. The U.S. guidelines recommend nine months' treatment.[18]
"Common medication side effects a patient may have such as inflammation of the liver if a patient is taking pyrazinamide, rifampin, and isoniazid. A patient may also have drug resistance to medication, relapse, respiratory failure, and acute respiratory distress syndrome."[1]
Prognosis
If left untreated, miliary tuberculosis is almost always fatal. Although most cases of miliary tuberculosis are treatable, the mortality rate among children with miliary tuberculosis remains 15–20 percent . One of the main causes for these high mortality rates includes late detection of disease caused by non-specific symptoms[9][4]
Non-specific symptoms include: coughing, weight loss, or organ dysfunction.[6] These symptoms may be implicated in numerous disorders, thus delaying diagnosis. Misdiagnosis with tuberculosis meningitis is also a common occurrence when patients are tested for tuberculosis, since the two forms of tuberculosis have high rates of co-occurrence.[9]
Epidemiology

As to regions with the highest prevalence of miliary TB are those with a high overall incidence of TB. The WHO has identified several regions with a high burden of TB, these include:[20][9][13]
- WHO South-East Asia region: India, Indonesia, and Bangladesh
- African region: countries in sub-Saharan Africa
- Western Pacific region: China and Philippines
History
John Jacob Manget described a form of disseminated tuberculosis in 1700 and expressed its resemblance to numerous millet seeds in size and appearance and coined the term from Latin word miliarius, meaning related to millet seed.[21]
See also
- Lupus vulgaris
- Metastatic tuberculous abscess or ulceration
- Thomas Wolfe
- List of cutaneous conditions
References
- ↑ 1.0 1.1 1.2 1.3 1.4 1.5 MedlinePlus Encyclopedia: Disseminated tuberculosis
- ↑ Rapini, Ronald P.; Bolognia, Jean L.; Jorizzo, Joseph L. (2007). Dermatology: 2-Volume Set. St. Louis: Mosby. pp. Chapter 74. ISBN 978-1-4160-2999-1.
- ↑ 3.0 3.1 3.2 "Miliary Tuberculosis (TB) - Infections - Merck Manual Consumer Version". Merck Manual Consumer Version. Archived from the original on 9 April 2025. Retrieved 3 September 2025.
- ↑ 4.00 4.01 4.02 4.03 4.04 4.05 4.06 4.07 4.08 4.09 4.10 Vohra, Shekhar; Dhaliwal, Harpal S. (2025). "Miliary Tuberculosis". StatPearls. StatPearls Publishing. PMID 32965971. Archived from the original on 2025-02-02. Retrieved 2025-08-24.
- ↑ 5.0 5.1 5.2 Miliary Tuberculosis at eMedicine
- ↑ 6.0 6.1 Ray, Sayantan; Talukdar, Arunansu; Kundu, Supratip; Khanra, Dibbendhu; Sonthalia, Nikhil (2013). "Diagnosis and management of miliary tuberculosis: current state and future perspectives". Therapeutics and Clinical Risk Management. 9: 9–26. doi:10.2147/TCRM.S29179. PMC 3544391. PMID 23326198.
- ↑ 7.0 7.1 7.2 Sharma, S., Mohan, A., & Sharma, A. (2012). Challenges in the diagnosis & treatment of miliary tuberculosis. Indian J Med Res, 135, 703–730.
- ↑ Soofi, A., Malik, A., Khan, J., & Muzzafer, S. (2004). Severe Hypercalcemia in Tuberculosis. J Pak Med Assoc, 54(4), 213–215.
- ↑ 9.0 9.1 9.2 9.3 Sharma, S. K., Mohan, A., Sharma, A., & Mitra, D. K. (2005). Miliary Tuberculosis: New Insights Into An Old Disease. The Lancet Infectious Diseases, 5(7), 415–430.
- ↑ 10.0 10.1 10.2 Krishnan, N., Robertson, B. D., & Thwaites, G. (2010). The Mechanisms And Consequences Of The Extra-pulmonary Dissemination Of Mycobacterium Tuberculosis. Tuberculosis, 90(6), 361–366.
- ↑ 11.0 11.1 Kumar, Vinay; Abbas, Abul K.; Fausto, Nelson; & Mitchell, Richard N. (2007). Robbins Basic Pathology (8th ed.). Saunders Elsevier. pp. 516–522 ISBN 978-1-4160-2973-1
- ↑ Jumaah, S. (2012). Tuberculosis. Textbook of Clinical Pediatrics, 1, 1053–1059.
- ↑ 13.0 13.1 Sharma, Surendra K.; Mohan, Alladi (10 March 2017). "Miliary Tuberculosis". Microbiology Spectrum. 5 (2): 10.1128/microbiolspec.tnmi7–0013–2016. doi:10.1128/microbiolspec.tnmi7-0013-2016. PMID 28281441. Archived from the original on 21 April 2025. Retrieved 4 September 2025.
- ↑ Furqan, M; Butler, J (2010). "Miliary pattern on chest radiography: TB or not TB?". Mayo Clinic Proceedings. 85 (2): 108. doi:10.4065/mcp.2009.0523. PMC 2813816. PMID 20118384.
- ↑ Lee, Y., Park, K., Kim, S., Park, S., Lee, S., Choi, S., et al. (2013). Risk factors for false-negative results of T-SPOT.TB and tuberculin skin test in extrapulmonary tuberculosis. Infection, 41, 1089–1095
- ↑ Wei, Xiaolin; Xie, Min; Wu, Suji; Bao, Yong (31 December 2024). "The clinical features and prognostic factors of miliary tuberculosis in a high tuberculosis burden area". Annals of Medicine. 56 (1) 2356647. doi:10.1080/07853890.2024.2356647. PMC 11164057. PMID 38848041.
- ↑ "Metagenomic Next Generation Sequencing: How Does It Work and Is It Coming to Your Clinical Microbiology Lab?". ASM.org. Archived from the original on 9 August 2025. Retrieved 1 September 2025.
- ↑ American Thoracic Society, CDC, and Infectious Diseases Society of America (June 20, 2003). "Treatment of Tuberculosis". Archived from the original on October 24, 2022. Retrieved January 16, 2023.
{{cite web}}: CS1 maint: multiple names: authors list (link) Archived October 24, 2022, at the Wayback Machine - ↑ "Global tuberculosis 2022" (PDF). WHO.int. Archived (PDF) from the original on 23 September 2024. Retrieved 11 October 2024.
- ↑ "Tuberculosis (TB)". www.who.int. Archived from the original on 30 July 2020. Retrieved 26 August 2025.
- ↑ Manget, JJ (1700). Sepulcretum size anatomia practica. Vol. 1 (Observatio XLVII (3 vols) ed.). London: Cramer and Perrachon.
Further reading
- Reichman, Lee B., M.D., M.P.H. & Tanne, Janice H. (2002). "Timebomb: The Global Epidemic of Multi-Drug-Resistant Tuberculosis. Mcgraw-Hill. ISBN 0-07-135924-9
- Albino, Juan A.; Reichman, Lee B. (1 January 1998). "The Treatment of Tuberculosis". Respiration. 65 (4): 237–255. doi:10.1159/000029271. PMID 9730789. S2CID 7216163. Archived from the original on 16 October 2013. Retrieved 16 January 2023. Archived 16 October 2013 at the Wayback Machine
- Rieder, Hans L (November–December 1998). "How to Combat Tuberculosis in the Year 2000?". Respiration. 65 (6): 423–431. doi:10.1159/000029309. PMID 9817956. S2CID 46865618. Archived from the original on 2013-10-14. Retrieved 2023-01-16. Archived 2013-10-14 at the Wayback Machine
External links
| Classification | |
|---|---|
| External resources |
.jpg)
