Lung abscess
| Lung abscess | |
|---|---|
| Other names: Pulmonary abscess | |
![]() | |
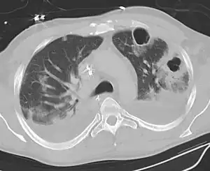
| CT scan showing bilateral pneumonia with abscesses and effusions. | |
| Specialty | Infectious disease, respirology |
| Symptoms | Cough, tiredness, fever[1] |
| Complications | Bronchopleural fistula[1] |
| Types | Primary (80%), secondary[2] |
| Causes | Microorganisms[3] |
| Risk factors | Aspiration pneumonia, poor teeth, COPD, alcoholism, poor immune function, lung tumors[1] |
| Diagnostic method | CT scan, sputum culture[1] |
| Differential diagnosis | Lung cancer, tuberculosis, empyema, pneumoconiosis, hiatus hernia, hydatid cyst, granulomatosis with polyangiitis[3] |
| Prevention | Good dental care[2] |
| Treatment | Broad-spectrum antibiotics, surgery[3] |
| Frequency | Uncommon[2] |
A lung abscess (LA) is a cavity within the lung filled with purulent material.[1] Symptoms often include a productive cough, tiredness, and fever.[1][3] Occationally there is coughing up blood, chest pain, and night sweats.[1][3] Complications may include bronchopleural fistula and pleural fibrosis.[1][3]
It is typically due to an infection by multiple organisms, often occuring as a complication of aspiration pneumonia.[1][3][2] Risks include poor teeth, COPD, alcoholism, poor immune function, and lung tumors.[1] Other causes include bronchial obstruction and septic emboli.[1] Diagnosis is typically by CT scan.[1] It is a type of respiratory infection.[1]
Initial treatment is generally with broad-spectrum antibiotics, such as amoxicillin/clavulanate or piperacillin/tazobactam with potentially vancomycin.[3] Sputum culture can help guide treatment.[3] Surgery may be carried out in larger abscesses or if other measures are not effective.[3] Death occurs in about 16% at one year.[1]
Lung abscesses are uncommon, affecting about 10,000 to 15,000 people a year in the United States.[2] The typical age of those affected is 65 years.[1] Males are more commonly affected than females.[1] The condition was frist described around 400 BC by Hippocrates.[4]
Signs and symptoms
Onset of symptoms is often gradual, but in necrotizing staphylococcal or gram-negative bacillary pneumonias patients can be acutely ill. Cough, fever with shivering, and night sweats are often present. Cough can be productive of foul smelling purulent mucus (≈70%) or less frequently with blood in one third of cases).[5] Affected individuals may also complain of chest pain, shortness of breath, lethargy and other features of chronic illness.
Those with a lung abscess are generally cachectic at presentation. Finger clubbing is present in one third of patients.[5] Dental decay is common especially in alcoholics and children. On examination of the chest there will be features of consolidation such as localized dullness on percussion and bronchial breath sounds.
Complications
Although rare in modern times, can include spread of infection to other lung segments, bronchiectasis, empyema, and bacteremia with metastatic infection such as brain abscess.[6]
Causes
- Aspiration of oropharyngeal or gastric secretion
- Septic emboli
- Necrotizing pneumonia[7]
- Vasculitis: Granulomatosis with polyangiitis
- Necrotizing tumors: 8% to 18% are due to neoplasms across all age groups, higher in older people; primary squamous carcinoma of the lung is the most common.
Organisms
In the post-antibiotic era pattern of frequency is changing. In older studies anaerobes were found in up to 90% cases but they are much less frequent now.[8]
- Anaerobic bacteria: Actinomyces, Peptostreptococcus, Bacteroides, Fusobacterium species,
- Microaerophilic streptococcus : Streptococcus milleri
- Aerobic bacteria: Staphylococcus, Klebsiella, Haemophilus, Pseudomonas, Nocardia, Escherichia coli, Streptococcus, Mycobacterium[9]
- Fungi: Candida, Aspergillus
- Parasites: Entamoeba histolytica
Diagnosis
Imaging
Lung abscesses are often on one side and single involving posterior segments of the upper lobes and the apical segments of the lower lobes as these areas are gravity dependent when lying down. Presence of air-fluid levels implies rupture into the bronchial tree or rarely growth of gas forming organism.
-
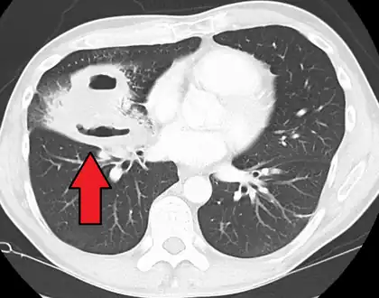
a,b)Hollow lesion in the lower left lung field was diagnosed as a lung abscess -
Pulmonary abscess on CT scan -
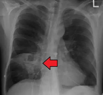
Pulmonary abscess on CXR -
Pathology image of a lung abscess. -
A subpleural abscess.
Laboratory studies
Raised inflammatory markers (high ESR, CRP) are common but nonspecific. Examination of the coughed up mucus is important in any lung infection and often reveals mixed bacterial flora. Transtracheal or transbronchial (via bronchoscopy) aspirates can also be cultured. Fiber optic bronchoscopy is often performed to exclude obstructive lesion; it also helps in bronchial drainage of pus.
Management
Broad spectrum antibiotic to cover mixed flora is the mainstay of treatment. Pulmonary physiotherapy and postural drainage are also important. Surgical procedures are required in selective patients for drainage or pulmonary resection. The treatment is divided according to the type of abscess, acute or chronic. For acute cases the treatment is
- antibiotics:
- if anaerobic: metronidazole or clindamycin
- if aerobic: beta-lactams, cephalosporins
- if MRSA or Staphylococcus infection: vancomycin or linezolid
- postural drainage and chest physiotherapy
- bronchoscopy is used for the following cases:
- aspiration or instillation of antibiotics
- patients with atypical presentation suspected of having underlying foreign body or malignancy
Prognosis
Most cases respond to antibiotics and prognosis is usually excellent unless there is a debilitating underlying condition. Mortality from lung abscess alone is around 5% and is improving.
See also
References
- ↑ 1.00 1.01 1.02 1.03 1.04 1.05 1.06 1.07 1.08 1.09 1.10 1.11 1.12 1.13 1.14 1.15 Sperling, S; Dahl, VN; Fløe, A (1 May 2024). "Lung abscess: an update on the current knowledge and call for future investigations". Current opinion in pulmonary medicine. 30 (3): 229–234. doi:10.1097/MCP.0000000000001058. PMID 38411181.
- ↑ 2.0 2.1 2.2 2.3 2.4 Bennett, John E.; Dolin, Raphael; Blaser, Martin J. (8 August 2019). Mandell, Douglas, and Bennett's Principles and Practice of Infectious Diseases E-Book: 2-Volume Set. Elsevier Health Sciences. p. 927. ISBN 978-0-323-55027-7. Archived from the original on 26 April 2025. Retrieved 16 March 2025.
- ↑ 3.00 3.01 3.02 3.03 3.04 3.05 3.06 3.07 3.08 3.09 Sabbula, BR; Rammohan, G; Sharma, S; Akella, J (January 2025). "Lung Abscess". StatPearls. PMID 32310380.
- ↑ Ozturk, Onder (15 January 2021). Internal Medical Sciences Diagnosis and Treatment. Livre de Lyon. p. 15. ISBN 978-2-38236-088-0. Archived from the original on 26 April 2025. Retrieved 16 March 2025.
- ↑ 5.0 5.1 Moreira Jda S, Camargo Jde J, Felicetti JC, Goldenfun PR, Moreira AL, Porto Nda S (2006). "Lung abscess: analysis of 252 consecutive cases diagnosed between 1968 and 2004". Jornal Brasileiro de Pneumologia. 32 (2): 136–43. doi:10.1590/S1806-37132006000200009. PMID 17273583.
- ↑ "Pneumonia and Other Pulmonary Infections: Lung Abscess, Medscape". Archived from the original on 2008-03-21. Retrieved 2007-06-20. Archived 2008-03-21 at the Wayback Machine
- ↑ Tamparo, Carol (2011). Fifth Edition: Diseases of the Human Body. Philadelphia, PA: F. A. Davis Company. p. 367. ISBN 978-0-8036-2505-1.
- ↑ Bartlett JG (2005). "The role of anaerobic bacteria in lung abscess". Clin. Infect. Dis. 40 (7): 923–5. doi:10.1086/428586. PMID 15824980.
- ↑ Hirshberg B, Sklair-Levi M, Nir-Paz R, Ben-Sira L, Krivoruk V, Kramer MR (1999). "Factors predicting mortality of patients with lung abscess". Chest. 115 (3): 746–50. doi:10.1378/chest.115.3.746. PMID 10084487.
External links
| Classification | |
|---|---|
| External resources |
