Empyema
| Empyema | |
|---|---|
![]() | |
| Progression of empyema | |
| Pronunciation |
|
| Specialty | Pulmonology, Infectious disease |
An empyema is a collection of pus within a naturally existing anatomical cavity. For example, pleural empyema is empyema of the pleural cavity. It must be differentiated from an abscess, which is a collection of pus in a newly formed cavity. The term is from Greek ἐμπύημα, "abscess".
Classification
Empyema occurs in:
- the pleural cavity (pleural empyema also known as pyothorax)[1]
- the thoracic cavity
- the uterus (pyometra)
- the appendix (appendicitis)
- the meninges (subdural empyema)[2]
- the joints (septic arthritis)
- the gallbladder[3]
Diagnosis
Lungs
-

-

-
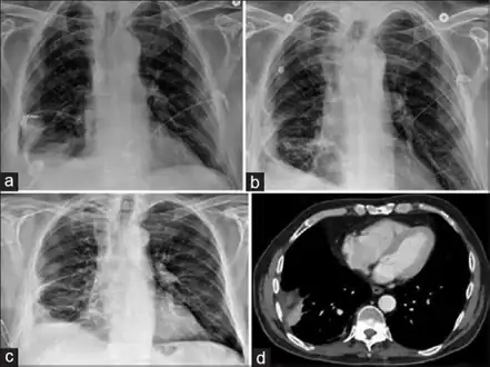
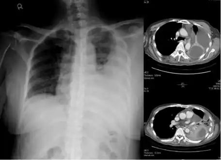
Empyema -
Empyema with abscess
Gallbladder
-
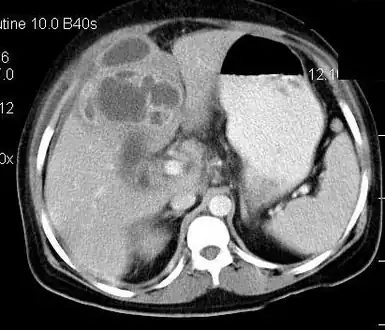
Contrast enhanced computed tomography of the abdomen is showing gall bladder empyema with perforation and formation of liver abscess.
Treatment
-
Empyema tube -

History

Referencs
- ↑ Garvia, Veronica; Paul, Manju (2022). "Empyema". StatPearls. StatPearls Publishing. PMID 29083780. Archived from the original on 2023-01-12. Retrieved 2023-01-09.
- ↑ "Subdural Empyema: Practice Essentials, Background, Pathophysiology". 28 October 2022. Archived from the original on 19 November 2022. Retrieved 9 January 2023.
- ↑ Kashyap, Sarang; Mathew, George; King, Kevin C. (2022). "Gallbladder Empyema". StatPearls. StatPearls Publishing. Archived from the original on 2021-11-09. Retrieved 2023-01-09.
Further reading
- Shen, K. Robert; Bribriesco, Alejandro; Crabtree, Traves; Denlinger, Chad; Eby, Joshua; Eiken, Patrick; Jones, David R.; Keshavjee, Shaf; Maldonado, Fabien; Paul, Subroto; Kozower, Benjamin (February 2017). "The American Association for Thoracic Surgery consensus guidelines for the management of empyema". The Journal of Thoracic and Cardiovascular Surgery. 153 (6): e129 – e146. doi:10.1016/j.jtcvs.2017.01.030. PMID 28274565.
External links
| Classification | |
|---|---|
| External resources |
