Desquamative interstitial pneumonia
| Desquamative interstitial pneumonia | |
|---|---|
| Other names | DIP |
![]() | |
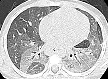
| Chest computerized tomography scan showing diffuse ground-glass opacities with air-bronchograms in the upper lobes and the left lower lobe. | |
| Specialty | Pulmonology |
Desquamative interstitial pneumonia (DIP) is a type of idiopathic interstitial pneumonia featuring elevated numbers of macrophages within the alveoli of the lung.[1] DIP is a chronic disorder with an insidious onset. Its common symptoms include shortness of breath, coughing, fever, weakness, weight loss, and fatigue. In more severe cases, it may lead to respiratory failure, chest pain, digital clubbing, cyanosis, and hemoptysis. Asymptomatic cases are rare.
DIP is often linked to cigarette smoking, environmental or occupational exposure, systemic disorders, and infections. Environmental risk factors include diesel or fire smoke, asbestos, and other chemicals. DIP has also been associated with certain drugs like marijuana, sirolimus, macrolides, nitrofurantoin, tocainide, and sulfasalazine. Disorders, such as hepatitis C, cytomegalovirus, systemic lupus erythematosus, connective tissue disease, and rheumatoid arthritis, have also been tied to DIP.
Diagnosis often requires surgical biopsy, especially when imaging or other tests provide non-specific results. High-resolution computed tomography (HRCT) can help identify the features of DIP. Differential diagnosis includes non-specific interstitial pneumonia, pulmonary Langerhans cell histiocytosis, respiratory bronchiolitis-associated interstitial lung disease, and hypersensitivity pneumonia. DIP is primarily treated by quitting smoking, but it may not be enough in all cases. In moderate to severe cases, corticosteroids are used. Severe DIP can be treated with lung transplants, but recurrence is possible. DIP has a favorable prognosis, with a mortality rate of 6-28% and a survival rate of 68%-94%.
Signs and symptoms
Desquamative interstitial pneumonia is a chronic disorder that often has an insidious onset.[2] The most common symptoms of DIP are shortness of breath, especially during exercise, and coughing. Non-specific symptoms such as fever, weakness, weight loss, and fatigue are common. Other symptoms include respiratory failure, chest pain, digital clubbing, cyanosis, and rarely hemoptysis.[3] Some people with DIP may be asymptomatic, although this is rare.[4][5]
Causes
90% of desquamative interstitial pneumonia cases are linked to cigarette smoking. Other suggested causes of DIP include environmental or occupational exposure, systemic disorders and infections.[6] In many cases, no specific cause can be identified, and these are classified as idiopathic.[7]
Risk factors
Active or passive exposure to cigarette smoke is the most well-established risk factor for desquamative interstitial pneumonia. DIP has also been reported in those who do not smoke which indicates that there are other risk factors for DIP.[6]
Occupational exposure to diesel or fire smoke, asbestos, solder smoke, silica, beryllium, nylon filaments, wood dust, graphite, talc, copper dust, aluminum, and tungsten cobalt have been associated with DIP.[6][8]
DIP has also been associated with certain drugs such as marijuana, sirolimus, macrolides, nitrofurantoin, tocainide, and sulfasalazine.[6]
Several other disorders have been linked to DIP. Infections such as hepatitis C[9] and cytomegalovirus[10] have been associated with DIP. Many systematic disorders such as systemic lupus erythematosus,[11][12] connective tissue disease,[11][13] and rheumatoid arthritis[14] have been connected to DIP.[15][16]
Diagnosis
Since laboratory testing, imaging, and bronchoalveolar lavage results are often non-specific, guidelines recommend surgical biopsy to diagnose desquamative interstitial pneumonia if high-resolution computed tomography does not reveal classic signs of interstitial pneumonia.[17] A definitive diagnosis of DIP relies on a lung biopsy.[18]
_2.jpg)
While some laboratory abnormalities have been reported in cases of DIP, biological analysis does not usually point toward any diagnosis. Chest X-rays often show non-specific findings or come back normal.[19][20] Pulmonary function tests usually reveal a decrease in diffusion capacity and a restrictive pattern.[7]
Thoracic high-resolution computed tomography (HRCT) often shows signs of DIP,[17] however, HRCT has only been reported on in one study. HRCT shows a ground-glass appearance.[20]
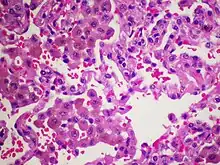
The major hallmark of DIP is the presence of a large number of macrophages within the alveoli that are distributed throughout the pulmonary acini. These macrophages are rich in eosinophilic cytoplasm and frequently include a coarsely granular light-brown pigment. There are usually a few multinucleated large cells. The alveolar architecture is typically intact, however there is a modest chronic inflammatory infiltration inside the interstitium. A moderate quantity of eosinophils might also be present. Lymphoid aggregates can be present.[18]
The differential diagnosis for DIP includes non-specific interstitial pneumonia, pulmonary Langerhans cell histiocytosis, respiratory bronchiolitis-associated interstitial lung disease, and hypersensitivity pneumonia.[21]
Treatment
The main treatment for DIP is quitting smoking. Sometimes smoking cessation is successful in managing DIP however in some cases this is not enough. Avoidance of other potential environmental factors is also advised. In those who are moderately to severely symptomatic and who have not responded to quitting smoking, corticosteroids are used. Cytotoxic and immunosuppressive drugs have been used for the treatment of DIP however there is not enough evidence on their usage. In cases of severe DIP lung transplants are an option however recurrence is still possible.[22][16]
Outlook
Desquamative interstitial pneumonia has a favourable prognosis and most patients improve with proper treatment. The mortality rate of DIP is between 6 and 28%.[22] The survival rate of DIP is estimated to be between 68% and 94%. Without treatment around 60% of patients get worse. Spontaneous recovery had also been reported.[16]
Epidemiology
The prevalence of desquamative interstitial pneumonia is unknown,[6] but it most commonly affects people aged 40 to 60,[7] with males twice as likely to have it as females.[4] While DIP can sometimes progress rapidly, severe fibrosis is rare.[6]
History
Desquamative interstitial pneumonia was first defined by Averill Liebow et al. In 1965 Liebow described 18 patients with pulmonary lesions with large alveolar cell proliferation and desquamation. Liebow also noted that the walls of the patient's distal airways were thickened.[23] The name "desquamative interstitial pneumonia" originated from the assumption that the disease was caused by epithelial cell desquamation.[1][4]
See also
References
Citations
- 1 2 Diken et al. 2018, p. 587.
- ↑ Diken et al. 2018, p. 591.
- ↑ American Journal of Respiratory and Critical Care Medicine 2002, p. 296.
- 1 2 3 Godbert, Wissler & Vignaud 2013, p. 117.
- ↑ Diken et al. 2018, pp. 592–593.
- 1 2 3 4 5 6 Diken et al. 2018, p. 588.
- 1 2 3 Hellemons et al. 2020, p. 8.
- ↑ Godbert, Wissler & Vignaud 2013, p. 120.
- ↑ Iskandar et al. 2004, p. 890.
- ↑ Sung et al. 2005, p. 637.
- 1 2 Tubbs et al. 1977, p. 163.
- ↑ Kawabata et al. 2008, p. 196.
- ↑ Lamblin et al. 2001, p. 72s.
- ↑ Ishii et al. 2009, p. 829.
- ↑ Diken et al. 2018, pp. 588–589.
- 1 2 3 Godbert, Wissler & Vignaud 2013, p. 121.
- 1 2 Diken et al. 2018, p. 590.
- 1 2 Godbert, Wissler & Vignaud 2013, p. 119.
- ↑ Diken et al. 2018, p. 589.
- 1 2 Godbert, Wissler & Vignaud 2013, p. 118.
- ↑ Diken et al. 2018, pp. 589–590.
- 1 2 Diken et al. 2018, p. 593.
- ↑ Liebow, Steer & Billingsley 1965, pp. 369, 371.
Sources
- Diken, Özlem; Şengül, Aysun; Coşkun Beyan, Ayşe; Ayten, Ömer; Mutlu, Levent; Okutan, Oğuzhan (2018-11-29). "Desquamative interstitial pneumonia: Risk factors, laboratory and bronchoalveolar lavage findings, radiological and histopathological examination, clinical features, treatment and prognosis (Review)". Experimental and Therapeutic Medicine. 17 (1). Spandidos Publications: 587–595. doi:10.3892/etm.2018.7030. ISSN 1792-0981. PMC 6307411. PMID 30651839.
- Godbert, Benoît; Wissler, Marie-Pierre; Vignaud, Jean-Michel (2013-06-01). "Desquamative interstitial pneumonia: an analytic review with an emphasis on aetiology". European Respiratory Review. 22 (128). European Respiratory Society: 117–123. doi:10.1183/09059180.00005812. ISSN 0905-9180. PMC 9487388. PMID 23728865.
- American Thoracic Society; European Respiratory Society (2002-01-15). "American Thoracic Society/European Respiratory Society International Multidisciplinary Consensus Classification of the Idiopathic Interstitial Pneumonias". American Journal of Respiratory and Critical Care Medicine. 165 (2). American Thoracic Society: 277–304. doi:10.1164/ajrccm.165.2.ats01. ISSN 1073-449X. PMID 11790668.
- Hellemons, Merel E.; Moor, Catharina C.; von der Thüsen, Jan; Rossius, Mariska; Odink, Arlette; Thorgersen, Laila Haugen; Verschakelen, Johny; Wuyts, Wim; Wijsenbeek, Marlies S.; Bendstrup, Elisabeth (2020-06-30). "Desquamative interstitial pneumonia: a systematic review of its features and outcomes". European Respiratory Review. 29 (156). European Respiratory Society: 1–8. doi:10.1183/16000617.0181-2019. ISSN 0905-9180. PMC 9488565. PMID 32581140.
- Liebow, Averill A.; Steer, Arthur; Billingsley, James G. (September 1965). "Desquamative interstitial pneumonia". The American Journal of Medicine. 39 (3). Elsevier: 369–404. doi:10.1016/0002-9343(65)90206-8. ISSN 0002-9343. PMID 14338290.
- Iskandar, Said B.; McKinney, Lisa A.; Shah, Lata; Roy, Thomas M.; Byrd, Ryland P. (September 2004). "Desquamative Interstitial Pneumonia and Hepatitis C Virus Infection: A Rare Association". Southern Medical Journal. 97 (9). Southern Medical Association: 890–893. doi:10.1097/01.SMJ.0000136259.92633.E8. ISSN 0038-4348. PMID 15455981.
- Sung, Su-Ah; Ko, Gang-Jee; Kim, Jeong-Yup; Kim, Myung-Gyu; Lee, Jee-Eun; Kim, Gwang-Il; Jo, Sang-Kyung; Cho, Won-Yong; Kim, Hyoung-Kyu (2005-03-01). "Desquamative interstitial pneumonia associated with concurrent cytomegalovirus and Aspergillus pneumonia in a renal transplant recipient". Nephrology Dialysis Transplantation. 20 (3). Oxford University Press: 635–638. doi:10.1093/ndt/gfh548. ISSN 0931-0509. PMID 15735246.
- Tubbs, Raymond R.; Benjamin, Sanford P.; Reich, Norbert E.; McCormack, Lawrence J.; Van Ordstrand, H. Scott (August 1977). "Desquamative Interstitial Pneumonitis". Chest. 72 (2). Elsevier: 159–165. doi:10.1378/chest.72.2.159. ISSN 0012-3692. PMID 884976.
- Lamblin, C.; Bergoin, C.; Saelens, T.; Wallaert, B. (September 2001). "Interstitial lung diseases in collagen vascular diseases". The European Respiratory Journal. 32. European Respiratory Society: 69s – 80s. ISSN 0904-1850. PMID 11816826.
- Kawabata, Y; Takemura, T; Hebisawa, A; Ogura, T; Yamaguchi, T; Kuriyama, T; Nagai, S; Sakatani, M; Chida, K; Sakai, F; Park, J; Colby, T V (January 2008). "Eosinophilia in bronchoalveolar lavage fluid and architectural destruction are features of desquamative interstitial pneumonia". Histopathology. 52 (2). Wiley: 194–202. doi:10.1111/j.1365-2559.2007.02930.x. ISSN 0309-0167. PMID 18184268.
- Ishii, Hiroshi; Iwata, Atsuko; Sakamoto, Noriho; Mizunoe, Shunji; Mukae, Hiroshi; Kadota, Jun-ichi (2009). "Desquamative Interstitial Pneumonia (DIP) in a Patient with Rheumatoid Arthritis: Is DIP Associated with Autoimmune Disorders?". Internal Medicine. 48 (10). Japanese Society of Internal Medicine: 827–830. doi:10.2169/internalmedicine.48.1876. hdl:10069/22586. ISSN 0918-2918. PMID 19443979.
Further reading
- Ryu, Jay H.; Myers, Jeffrey L.; Capizzi, Stephen A.; Douglas, William W.; Vassallo, Robert; Decker, Paul A. (January 2005). "Desquamative Interstitial Pneumonia and Respiratory Bronchiolitis-Associated Interstitial Lung Disease". Chest. 127 (1). Elsevier: 178–184. doi:10.1378/chest.127.1.178. ISSN 0012-3692. PMID 15653981.
- Cone, Brian D.; Fishbein, Gregory A. (2022-12-19). "Respiratory Bronchiolitis Versus Desquamative Interstitial Pneumonia". In Xu, Haodong; Ricciotti, Robert; Mantilla, Jose (eds.). Practical Lung Pathology. Cham: Springer International Publishing. doi:10.1007/978-3-031-14402-8_47. ISBN 978-3-031-14401-1.
External links
- Chakraborty, Rebanta K.; Basit, Hajira; Sharma, Sandeep (2023-07-24). "Desquamative Interstitial Pneumonia". StatPearls Publishing. PMID 30252335.
- Lee, Joyce (2023-07-03). "Desquamative Interstitial Pneumonia". Merck Manual Professional Edition.
