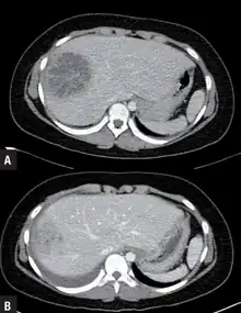
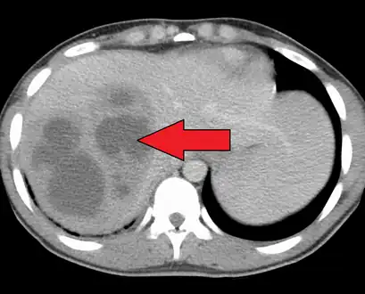
Pyogenic liver abscess
| Pyogenic liver abscess | |
|---|---|
| Other names: Pyogenic hepatic abscess[1] | |
![]() ![]() | |
| |
| Specialty | General surgery, Infectious disease |
A pyogenic liver abscess is a type of liver abscess caused by bacteria.
Signs and symptoms
Acute abscess
- Fever
- Lethargy
- Discomfort in right upper quadrant of abdomen
- Anorexia
- Enlarged and tender liver
- Pleural effusion
Chronic abscess
- Fever
- Abdominal discomfort
- Enlarged liver
Cause
- Biliary disease (most common)
E.g.: stones, cholangiocarcinoma
- Colonic disease
E.g.: diverticulitis, appendicitis, Crohn's disease
- Cryptogenic disease
- Pancreatitis
- Infection of blood
- Intra-abdominal sepsis
- Infection of biliary system
- Traumatic introduction
E.g.: penetrating injury, iatrogenic (radiofrequency ablation)
Common bacterial causes
- Streptococcus milleri
- E. coli
- Streptococcus fecalis
- Klebsiella pneumoniae
- Proteus vulgaris
- Bacteroides
- Opportunistic pathogens (Staphylococcus)
Diagnosis
- Blood CP (no leucocytosis)
- Haemoglobin estimation (anaemia)
- Serum albumin levels (falls rapidly)
- USG and CT scanning
- Guided aspiration to confirm the diagnosis
Treatment

In terms of the management for Pyogenic liver abscess, the following is done:
- Antibiotics
- Percutaneous drainage under USG or CT control
- Laparotomy in intra-abdominal disease
Epidemiology
In terms of the epidemiology of Pyogenic liver abscess we find 2.3 to 3.6 cases per 100,000 population in North America.Higher rates exist in Asia, particularly in countries like Taiwan, where the incidence has reached 15.45 per 100,000[3]
References
- ↑ "Pyogenic hepatic abscess (Concept Id: C0267830) - MedGen - NCBI". www.ncbi.nlm.nih.gov. Archived from the original on 2 February 2025. Retrieved 24 July 2025.
- ↑ Castillo, Sergio; Manterola, Carlos; Castillo, Sergio; Manterola, Carlos (April 2020). "Morphological Characteristics of Liver Abscesses According its Etiology". International Journal of Morphology. 38 (2): 406–414. doi:10.4067/S0717-95022020000200406. ISSN 0717-9502. Archived from the original on 2024-09-05. Retrieved 2025-07-24.
- ↑ Losie, Jennifer A.; Lam, John C.; Gregson, Daniel B.; Parkins, Michael D. (10 September 2021). "Epidemiology and risk factors for pyogenic liver abscess in the Calgary Health Zone revisited: a population-based study". BMC Infectious Diseases. 21 (1): 939. doi:10.1186/s12879-021-06649-9. ISSN 1471-2334. Archived from the original on 11 January 2025. Retrieved 1 August 2025.
{{cite journal}}: CS1 maint: unflagged free DOI (link)
External links
| Classification | |
|---|---|
| External resources |

