Colitis

Colitis
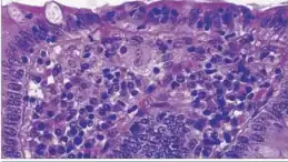
A micrograph demonstrating cryptitis, a microscopic correlate of colitis. H&E stain.
SpecialtyGastroenterology

Colitis is an inflammation of the colon. Colitis may be acute and self-limited or long-term. It broadly fits into the category of digestive diseases.

In a medical context, the label colitis (without qualification) is used if:

  • The cause of the inflammation in the colon is undetermined; for example, colitis may be applied to Crohn's disease at a time when the diagnosis is unknown, or
  • The context is clear; for example, an individual with ulcerative colitis is talking about their disease with a physician who knows the diagnosis.

Types

There are many types of colitis. They are usually classified by the cause.Types of colitis include:

Autoimmune

Unknown

Treatment-caused

Vascular disease

Infectious

  • Infectious colitis

A subtype of infectious colitis is Clostridioides difficile colitis,[1] which is informally abbreviated as "C-diff colitis". It classically forms pseudomembranes and is often referred to as pseudomembranous colitis, which is its (nonspecific) histomorphologic description.

Enterohemorrhagic colitis may be caused by Shiga toxin in Shigella dysenteriae or Shigatoxigenic group of Escherichia coli (STEC), which includes serotype O157:H7 and other enterohemorrhagic E. coli.[2]

Parasitic infections, like those caused by Entamoeba histolytica, can also cause colitis.

Unclassifiable colitides

Indeterminate colitis is the classification for colitis that has features of both Crohn's disease and ulcerative colitis.[3] Indeterminate colitis' behaviour is usually closer to ulcerative colitis than Crohn's disease.[4]

Atypical colitis is a phrase that is occasionally used by physicians for a colitis that does not conform to criteria for accepted types of colitis. It is not an accepted diagnosis per se and, as such, a colitis that cannot be definitively classified.

Signs and symptoms

The signs and symptoms of colitis are quite variable and dependent on the cause of the given colitis and factors that modify its course and severity.

Common symptoms of colitis may include: mild to severe abdominal pains and tenderness (depending on the stage of the disease), persistent hemorrhagic diarrhea with pus either present or absent in the stools, fecal incontinence, flatulence, fatigue, loss of appetite and unexplained weight loss.[5]

More severe symptoms may include: shortness of breath, a fast or irregular heartbeat and fever.[5]

Other less common or rare non-specific symptoms that may accompany colitis include: arthritis, mouth ulcers, painful, red and swollen skin and irritated, bloodshot eyes.[5]

Signs seen on colonoscopy include: colonic mucosal erythema (redness of the colon's inner surface), ulcerations and hemorrhage.

Diagnosis

Symptoms suggestive of colitis are worked-up by obtaining the medical history, a physical examination and laboratory tests (CBC, electrolytes, stool culture and sensitivity, stool ova and parasites et cetera). Additional tests may include medical imaging (e.g. abdominal computed tomography, abdominal X-rays) and an examination with a camera inserted into the rectum (sigmoidoscopy, colonoscopy).

An important investigation in the assessment of colitis is biopsy. A very small piece of tissue (usually about 2mm) is removed from the bowel mucosa during endoscopy and examined under the microscope by a histopathologist. It can provide important information regarding the cause of the disease and the extent of bowel damage.

Treatment

Some people may be admitted into the hospital following the colonoscopy depending on results. It is sometimes necessary to get the patient started on a steroid to speed up the healing of the colon. It may also be necessary to get the patient hydrated from the fluid loss and iron replaced from the loss of blood. After a hospital stay, the patient may be put on a daily medication to manage their chronic colitis. The medication can be an anti-inflammatory or an immunosuppressant. There are many different types of medication used and the doctor will prescribe the one they see fit. If the patient doesn't respond, new medications will be tried until there is a good fit.

Moreover, several studies recently have found significant relationship between colitis and dairy allergy (including: cow milk, cow milk UHT and casein),[6][7][8][9] suggesting some patients may benefit from an elimination diet.

Research

In the lab, the CRISPR-Cas systems effectively killed C. difficile bacteria. Researchers tested this approach in mice infected with C. difficile. Two days after the CRISPR treatment, the mice showed reduced C. difficile levels. Next steps include retooling the phage to prevent C. difficile from returning after the initial effective killing.[10]

In 2022 Yang et al. published a report on a successful treatment, using mesenchymal stem cells, of experimental colitis in mice.[11]

References

  1. "Clostridium Difficile Colitis – Overview". WebMD, LLC. Archived from the original on 2007-10-16. Retrieved 2006-09-15.
  2. Beutin L (2006). "Emerging enterohaemorrhagic Escherichia coli, causes and effects of the rise of a human pathogen". Journal of Veterinary Medicine, Series B. 53 (7): 299–305. doi:10.1111/j.1439-0450.2006.00968.x. PMID 16930272.
  3. Romano, C.; Famiani, A.; Gallizzi, R.; Comito, D.; Ferrau', V.; Rossi, P. (Dec 2008). "Indeterminate colitis: a distinctive clinical pattern of inflammatory bowel disease in children". Pediatrics. 122 (6): e1278–81. doi:10.1542/peds.2008-2306. PMID 19047226. S2CID 1409823.
  4. Melton, GB.; Kiran, RP.; Fazio, VW.; He, J.; Shen, B.; Goldblum, JR.; Achkar, JP.; Lavery, IC.; Remzi, FH. (Jul 2009). "Do preoperative factors predict subsequent diagnosis of Crohn's disease after ileal pouch-anal anastomosis for ulcerative or indeterminate colitis?". Colorectal Disease. 12 (10): 1026–32. doi:10.1111/j.1463-1318.2009.02014.x. PMID 19624520. S2CID 44406331.
  5. 5.0 5.1 5.2 Choices, NHS. "Ulcerative colitis - Symptoms - NHS Choices". www.nhs.uk. Archived from the original on 2016-03-21. Retrieved 2015-11-03.
  6. Yang M; et al. (2015). "Effectiveness of dietary allergen exclusion therapy on eosinophilic colitis in chinese infants and young children ≤ 3 years of age". Nutrients. 7 (3): 1817–1827. doi:10.3390/nu7031817. PMC 4377883. PMID 25768952.
  7. Lucendo A; et al. (2015). "Systematic Review: The Efficacy of Dietary Treatment for Inducing Disease Remission in Eosinophilic Gastroenteritis". J Pediatr Gastroenterol Nutr. 61 (1): 56–64. doi:10.1097/MPG.0000000000000766. PMID 25699593. S2CID 26195645.
  8. Judaki A; et al. (2014). "Evaluation of dairy allergy among ulcerative colitis patients". Bioinformation. 10 (11): 693–6. doi:10.6026/97320630010693. PMC 4261114. PMID 25512686.
  9. Sun J; et al. (2015). "Association of lymphocytic colitis and lactase deficiency in pediatric population". Pathol Res Pract. 211 (2): 138–144. doi:10.1016/j.prp.2014.11.009. PMID 25523228.
  10. "Study shows CRISPR effectiveness against colitis pathogen". medicalxpress.com. Archived from the original on 2020-06-28. Retrieved 2020-03-13.
  11. Yang, Fan; Ni, Beibei; Liu, Qiuli; He, Fangping; Li, Li; Zhong, Xuemei; Zheng, Xiaofan; Lu, Jianxi; Chen, Xiaoyan; Lin, Huizhu; Xu, Ruixuan; He, Yizhan; Zhang, Qi; Zou, Xiaoguang; Chen, Wenjie (2022). "Human umbilical cord-derived mesenchymal stem cells ameliorate experimental colitis by normalizing the gut microbiota". Stem Cell Research & Therapy. 13 (1): 475. doi:10.1186/s13287-022-03118-1. PMC 9476645. PMID 36104756.{{cite journal}}: CS1 maint: unflagged free DOI (link)

External links

Classification
External resources