Neurocytoma
| Neurocytoma | |
|---|---|
| Other names: Neuroepithelioma | |
![]() | |
| Specialty | Neuro-oncology |
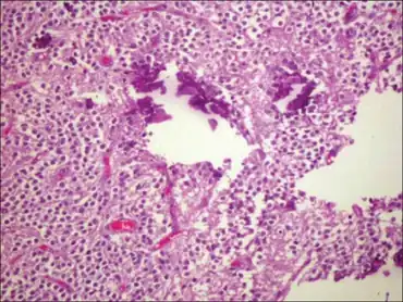
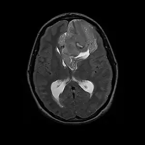
Neurocytoma is a type of nervous system benign tumor which is primarily derived from nervous tissue.[1]

See also
References
External links
| Classification |
|---|
| Neurocytoma | |
|---|---|
| Other names: Neuroepithelioma | |
![]() | |
| Specialty | Neuro-oncology |
Neurocytoma is a type of nervous system benign tumor which is primarily derived from nervous tissue.[1]

| Classification |
|---|
Nervous tissue tumors/NS neoplasm/Neuroectodermal neoplasm (ICD-O 9350–9589) (C70–C72, D32–D33, 191–192/225) | |||||||||||||||||||||||||
|---|---|---|---|---|---|---|---|---|---|---|---|---|---|---|---|---|---|---|---|---|---|---|---|---|---|
| Endocrine |
| ||||||||||||||||||||||||
| CNS |
| ||||||||||||||||||||||||
| PNS: NST | |||||||||||||||||||||||||
Note: Not all brain tumors are of nervous tissue, and not all nervous tissue tumors are in the brain (see brain metastasis). | |||||||||||||||||||||||||