Ganglioneuroblastoma
| Ganglioneuroblastoma | |
|---|---|
![]() | |
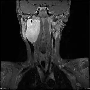
| MRI of a ganglioneuroblastoma found in the head and neck of a 7 year old Caucasian male. | |
| Specialty | Neuro-oncology |
Ganglioneuroblastoma is a variant of neuroblastoma that is surrounded by ganglion cells.
It can be difficult to diagnose.[1]
Nodular ganglioneuroblastoma can be divided by prognosis.[2]
It is contained within the neuroblastic tumors group, which includes:[3]
- Ganglioneuroma (benign)
- Ganglioneuroblastoma (intermediate).
- Neuroblastoma (aggressive)
_(1).png)
See also
References
- ↑ Gasparetto EL, Rosemberg S, Matushita H, Leite Cda C (June 2007). "Ganglioneuroblastoma of the cerebellum: neuroimaging and pathological features of a case". Arq Neuropsiquiatr. 65 (2A): 338–40. doi:10.1590/s0004-282x2007000200029. PMID 17607440. Archived from the original on 2015-09-24. Retrieved 2022-06-10.
- ↑ Peuchmaur M, d'Amore ES, Joshi VV, et al. (November 2003). "Revision of the International Neuroblastoma Pathology Classification: confirmation of favorable and unfavorable prognostic subsets in ganglioneuroblastoma, nodular". Cancer. 98 (10): 2274–81. doi:10.1002/cncr.11773. PMID 14601099.
- ↑ Shimada H, Ambros IM, Dehner LP, Hata J, Joshi VV, Roald B (July 1999). "Terminology and morphologic criteria of neuroblastic tumors: recommendations by the International Neuroblastoma Pathology Committee". Cancer. 86 (2): 349–63. doi:10.1002/(sici)1097-0142(19990715)86:2<349::aid-cncr20>3.0.co;2-y. PMID 10421272.
External links
| Classification | |
|---|---|
| External resources |
