Choroid plexus papilloma
| Choroid plexus papilloma | |
|---|---|
| Other names: Papilloma of the choroid plexus | |
![]() | |
| Specialty | Neuro-oncology, Neurosurgery |
Choroid plexus papilloma, also known as papilloma of the choroid plexus, is a rare benign neuroepithelial intraventricular WHO grade I lesion found in the choroid plexus.[1] It leads to increased cerebrospinal fluid production, thus causing increased intracranial pressure and hydrocephalus.[2]
Choroid plexus papilloma occurs in the lateral ventricles of children and in the fourth ventricle of adults. This is unlike most other pediatric tumors and adult tumors, in which the locations of the tumors is reversed. In children, brain tumors are usually found in the infratentorial region and in adults, brain tumors are usually found in the supratentorial space. The relationship is reversed for choroid plexus papillomas.
Signs and symptoms
Signs of the tumor resulting from increased intracranial pressure are present in 91% of patients, with vomiting, homonymous visual field defects and headache being the most common symptoms. Other symptoms are ear ringing and dizziness.
Pathophysiology
The tumor is neuroectodermal in origin and similar in structure to a normal choroid plexus. They may be created by epithelial cells of the choroid plexus.
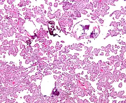
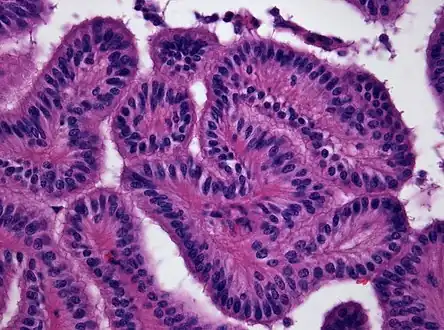
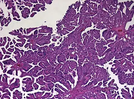
-
Micrograph of a choroid plexus papilloma. H&E stain. -
Plexuspapillom Detail -
Plexuspapillom Overview
Diagnosis

In terms of the diagnosis for Choroid plexus papilloma we find the following:[3]
- MRI
- Neuropathology (tumor tissue)
Grading
The grading of the tumor is as follows:[3]
- Grade I -low grade
- Grade II - mid grade
- Grade III-Malignant
Treatment
Choroid plexus papillomas are benign tumors that are usually cured by surgery; malignant progression has been rarely reported.
Epidemiology
Internationally tumors of the choroid plexus are rare, accounting for 0.4-0.6% of all intracranial neoplasms. It most commonly affects young children under the age of 5 with a mean patient age of 5.2 years.
References
- ↑ McEvoy AW, Harding BN, Phipps KP, Ellison DW, Elsmore AJ, Thompson D, et al. (April 2000). "Management of choroid plexus tumours in children: 20 years experience at a single neurosurgical centre". Pediatric Neurosurgery. 32 (4): 192–199. doi:10.1159/000028933. PMID 10940770.
- ↑ Adunka O, Buchman C (11 October 2010). Otology, Neurotology, and Lateral Skull Base Surgery: An Illustrated Handbook. Thieme. pp. 353–. ISBN 978-3-13-149621-8. Archived from the original on 5 July 2014. Retrieved 12 August 2013.
- ↑ 3.0 3.1 "Choroid Plexus Tumors Diagnosis and Treatment - NCI". www.cancer.gov. 17 September 2018. Archived from the original on 13 May 2022. Retrieved 21 May 2022.
External links
| Classification | |
|---|---|
| External resources |
- Choroid Plexus Papilloma MRI, CT, and pathology images from MedPix
