Linear IgA bullous dermatosis
| Linear IgA bullous dermatosis | |
|---|---|
| Other names | Linear IgA dermatosis |
![]() | |
| (a) Widespread vesiculobullous eruption on the lower limbs with elements in a "string of pearls" arrangement; (b) targetoid vesicular lesions on erythematous skin involving the dorsa of the hands; (c) blisters with a "string of pearls" configuration and crusts in the perioral area; (d) erythematous, vesicular lesions partially eroded on the posterior aspects of both thighs; (e) vesicles involving the vulvar area in a child.[1] | |
| Specialty | Immunology, dermatology |
Linear IgA bullous dermatosis is a rare immune-mediated blistering skin disease frequently associated with medication exposure, especially vancomycin, with men and women being equally affected.[2]: 135 It was first described by Tadeusz Chorzelski in 1979 and may be divided into two types:[3]: 587
Adult linear IgA disease is an acquired, autoimmune blistering disease that may present with a clinical pattern of vesicles indistinguishable from dermatitis herpetiformis, or with vesicles and bullae in a bullous pemphigoid-like appearance.[2] This disease can often be difficult to treat even with usually effective medications such as rituximab.[4]
Childhood linear IgA disease (also known as "Chronic bullous disease of childhood") is an acquired, self-limited bullous disease that may begin by the time the patient is age 2 to 3 and usually remits by age 13.[2]
Signs and symptoms
Lesions on the skin, mucous membranes, or both may be seen in cases with linear IgA bullous dermatosis (LABD). While LABD can affect both adults and children, there are variations in the disease's clinical features between these two groups of people.[5]
The most common symptom of LABD of childhood, also called chronic bullous disease of childhood, is the sudden growth of vesicles or bullae on areas of skin that are either inflammatory or not. An arciform or annular appearance is frequently the consequence of new blisters forming at the margins of lesions that are healing.[5] These lesions are often described as looking like rosettes, crowns of jewels, or strings of pearls.[6] Skin lesions typically occur in a wide range of locations, including the hands, feet, genitalia, trunk, and face, especially the perioral area. The lower abdomen, inner thighs, and perineum are frequently the most severely affected areas.[7][8][9] Children who are affected may show no symptoms, yet pruritus is frequent and can get quite bad. For certain people, severe itching signals the beginning of the illness again.[10][11]
Adult patients with LABD usually have a sudden onset of skin lesions; however, the condition can develop more slowly. Bullae and tight vesicles can form inside inflammatory plaques or on healthy skin. Adults experience a lower incidence of developing annular lesions exhibiting peripheral vesiculation compared to children.[12] Lesion formation is prevalent in the trunk, extensor extremities, buttocks, and face (especially the perioral area).[13] There have also been reports of localized variations of LABD that manifest as annular inflammatory plaques or restricted blistering eruptions.[14][15][16] Strong pruritus may cause excoriated papules or lesions resembling prurigo nodularis to appear.[17]
Both adults and children can experience mucous membrane involvement. Up to 80% of adult patients experience mucosal illness.[9] Mucosal lesions usually manifest as erosions or ulcers; complete vesicles or bullae are not frequently found. Any mucosal surface, such as those in the mouth, conjunctiva, nose, genitalia, pharynx, larynx, anus, and esophagus, could be impacted.[13][9][12][18] The mucosal areas most frequently affected are the oral and ocular mucosa.[9][12] Lesions on the palate, palatine arches, or buccal mucosa are commonly seen in patients with oral diseases.[12] Additionally, erosive cheilitis and gingivitis might be signs of oral LABD.[19] Conjunctival redness, ocular discharge, ocular pain, or a feeling of a foreign body can all be symptoms of ocular illness.[9]
Causes
Circulating IgA anti-basement membrane zone antibodies directed against the 97 kDa component of BPAG2 (bullous pemphigoid antigen 2) in the lamina lucida are the primary cause of linear IgA bullous dermatosis (LABD).[20][21]
Risk factors
The most frequent benign condition linked to LABD is ulcerative colitis.[22][23] It is unknown why there is a correlation between ulcerative colitis and LABD. According to some writers, aberrant IgA1 production by the inflamed colon may have a role in the emergence of LABD.[24]
Many case reports have documented the incidence of LABD in conjunction with solid organ cancers and lymphoproliferative diseases.[25][26][27]
Psoriasis,[28] systemic lupus erythematosus,[29] and a number of infections have also been linked to LABD in a small number of patients.[30][31] There have also been reports of LABD developing after UV radiation exposure.[32][33]
Triggers
Drug exposure has been shown in several case reports to be a contributing factor. The pharmacologic medication most commonly mentioned as a possible initiating cause is vancomycin.[34] A number of antibiotics, nonsteroidal anti-inflammatory medications, lithium, amiodarone, captopril, cyclosporine, phenytoin, interferon alfa, furosemide, and somatostatin are a few other medications that may be connected to LABD.[13][35][36][37]
Genetics
Development of LABD may also be influenced by genetic factors. There have been reports of associations between LABD and the tumor necrosis factor-2 allele, human leukocyte antigen (HLA) B8, HLA Cw7, HLA DR3, and HLA DQ2.[38]
Mechanism
While it is acknowledged that one of the hallmarks of linear IgA bullous dermatosis (LABD) is the presence of IgA antibodies linked to the basement membrane zone, the process by which lesions occur in this condition is not well known. The pathophysiology of this disease may involve both cellular and humoral immune responses.[5] Specifically, the formation of cutaneous and mucosal lesions may be facilitated by tissue damage brought on by an antibody-induced local inflammatory response as well as the release of proteolytic enzymes by neutrophils along with other inflammatory cells.[13]
The majority of LABD patients exhibit IgA1 antibodies that are specific to the basement membrane zone's 97 kDa and 120 kDa antigens.[5] Bullous pemphigoid antigen 2 (BP180/type XVII collagen), a transmembrane protein essential for epidermal-dermal adhesion, is broken down into pieces in both of these antigens.[11][10] Less commonly, the NC16a epitope on BP180 has been linked to LABD.[39][40] IgA antibodies directed against various basement membrane antigens, such as type VII collagen (COL7), laminin-332, or laminin gamma 1, are present in certain patients with LABD.[41] The target antigen in certain people with vancomycin-induced LABD appears to be type VII collagen.[42]
Diagnosis
The clinical manifestations of various mucocutaneous disorders may be confused with those of linear IgA bullous dermatosis (LABD). Therefore, laboratory studies are usually used to confirm the diagnosis when available.[5] The gold standard for diagnosing LABD is the detection of linear IgA deposits along the basement membrane zone using direct immunofluorescence (DIF), even though the results of a regular histopathologic examination of the affected tissue may suggest LABD.[10]
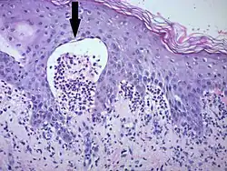
Linear IgA bullous dermatosis histopathologic features are vague and frequently mimic dermatitis herpetiformis.[5] Characteristic is a subepidermal blister with an underlying dermal infiltration that is primarily composed of neutrophils.[13] There may also be papillary microabscesses, eosinophils, and lymphocytes that resemble those found in dermatitis herpetiformis.[10]
Treatment
First-line treatment for LABD is thought to be dapsone, an immunomodulatory sulfone that has been successfully used to treat a variety of dermatologic illnesses marked by neutrophilic infiltrates.[22] Treatment with sulfapyridine or sulfamethoxypyridazine, sulfonamide drugs with chemical similarities to dapsone, may be beneficial for patients who cannot tolerate dapsone.[10]
Gallery
Micrograph: Subepidermal blister formation and neutrophils
See also
References
- ↑ Genovese, Giovanni; Venegoni, Luigia; Fanoni, Daniele; Muratori, Simona; Berti, Emilio; Marzano, Angelo Valerio (2019). "Linear IgA bullous dermatosis in adults and children: a clinical and immunopathological study of 38 patients". Orphanet Journal of Rare Diseases. 14 (1): 115. doi:10.1186/s13023-019-1089-2. ISSN 1750-1172. PMC 6534856. PMID 31126328.
- "This article is distributed under the terms of the Creative Commons Attribution 4.0 International License (https://creativecommons.org/licenses/by/4.0/)"
- 1 2 3 James, William; Berger, Timothy; Elston, Dirk (2005). Andrews' Diseases of the Skin: Clinical Dermatology. (10th ed.). Saunders. ISBN 0-7216-2921-0.
- ↑ Freedberg, et al. (2003). Fitzpatrick's Dermatology in General Medicine. (6th ed.). McGraw-Hill. ISBN 0-07-138076-0.
- ↑ He Y, Shimoda M, Ono Y, Villalobos IB, Mitra A, Konia T, Grando SA, Zone JJ, Maverakis E (2015). "Persistence of Autoreactive IgA-Secreting B Cells Despite Multiple Immunosuppressive Medications Including Rituximab". JAMA Dermatol. 151 (6): 646–50. doi:10.1001/jamadermatol.2015.59. PMID 25901938.
- 1 2 3 4 5 6 "UpToDate". UpToDate. Retrieved 2024-02-17.
- ↑ Lara-Corrales, Irene; Pope, Elena (2010). "Autoimmune Blistering Diseases in Children". Seminars in Cutaneous Medicine and Surgery. 29 (2). Frontline Medical Communications, Inc.: 85–91. doi:10.1016/j.sder.2010.03.005 (inactive 18 July 2025). ISSN 1085-5629. PMID 20579597.
{{cite journal}}: CS1 maint: DOI inactive as of July 2025 (link) - ↑ MARSDEN, R.A.; McKEE, P.H.; BHOGAL, B.; BLACK, M.M.; KENNEDY, L.A. (1980). "A study of benign chronic bullous dermatosis of childhood and comparison with dermatitis herpetiformis and bullous pemphigoid occurring in childhood". Clinical and Experimental Dermatology. 5 (2). Oxford University Press (OUP): 159–172. doi:10.1111/j.1365-2230.1980.tb01684.x. ISSN 0307-6938. PMID 7002380. S2CID 25865844.
- ↑ Mintz, Emily M.; Morel, Kimberly D. (2011). "Clinical Features, Diagnosis, and Pathogenesis of Chronic Bullous Disease of Childhood". Dermatologic Clinics. 29 (3). Elsevier BV: 459–462. doi:10.1016/j.det.2011.03.022. ISSN 0733-8635. PMID 21605812.
- 1 2 3 4 5 Wojnarowska, Fenella; Marsden, R.A.; Bhogal, B.; Black, M.M. (1988). "Chronic bullous disease of childhood, childhood cicatricial pemphigoid, and linear IgA disease of adults". Journal of the American Academy of Dermatology. 19 (5). Elsevier BV: 792–805. doi:10.1016/s0190-9622(88)70236-4. ISSN 0190-9622. PMID 3056993.
- 1 2 3 4 5 Guide, Shireen V.; Marinkovich, M.Peter (2001). "Linear IgA bullous dermatosis". Clinics in Dermatology. 19 (6). Elsevier BV: 719–727. doi:10.1016/s0738-081x(00)00185-1. ISSN 0738-081X. PMID 11705681.
- 1 2 Chorzelski, Tadeusz P.; Jabłońska, Stephania; Maciejowska, EWA (1991). "Linear IgA bullous dermatosis of adults". Clinics in Dermatology. 9 (3). Elsevier BV: 383–392. doi:10.1016/0738-081x(91)90030-o. ISSN 0738-081X. PMID 1806226.
- 1 2 3 4 Venning, Vanessa A. (2011). "Linear IgA Disease: Clinical Presentation, Diagnosis, and Pathogenesis". Dermatologic Clinics. 29 (3). Elsevier BV: 453–458. doi:10.1016/j.det.2011.03.013. ISSN 0733-8635. PMID 21605811.
- 1 2 3 4 5 Fortuna, Giulio; Marinkovich, M. Peter (2012). "Linear immunoglobulin A bullous dermatosis". Clinics in Dermatology. 30 (1). Elsevier BV: 38–50. doi:10.1016/j.clindermatol.2011.03.008. ISSN 0738-081X. PMID 22137225.
- ↑ Gamo, R; Aguilar, A; Gónzalez-Valle, O; Houmani, M; Martín, L; Gallego, MA (2007-03-05). "Localized linear IgA disease associated with monoclonal gammapathy of undetermined significance". Journal of the European Academy of Dermatology and Venereology. 21 (4). Wiley: 544–545. doi:10.1111/j.1468-3083.2006.01943.x. ISSN 0926-9959. PMID 17373989. S2CID 39379260.
- ↑ He, Chundi; Xu, Honghui; Xiao, Ting; Geng, Long; Chen, Hong-Duo (2007-04-30). "Localized linear IgA dermatosis induced by UV light-treatment for herpes zoster". International Journal of Dermatology. 46 (5). Wiley: 500–502. doi:10.1111/j.1365-4632.2007.02966.x. ISSN 0011-9059. PMID 17472682. S2CID 31441124.
- ↑ Shimanovich, Iakov; Rose, Christian; Sitaru, Cassian; Bröcker, Eva-B; Zillikens, Detlef (2004). "Localized linear IgA disease induced by ampicillin/sulbactam". Journal of the American Academy of Dermatology. 51 (1). Elsevier BV: 95–98. doi:10.1016/j.jaad.2004.03.027. ISSN 0190-9622. PMID 15243532.
- ↑ Torchia, D.; Caproni, M.; Del Bianco, E.; Cozzani, E.; Ketabchi, S.; Fabbri, P. (2006-05-03). "Linear IgA disease presenting as prurigo nodularis". British Journal of Dermatology. 155 (2). Oxford University Press (OUP): 479–480. doi:10.1111/j.1365-2133.2006.07315.x. ISSN 0007-0963. PMID 16882196. S2CID 28166468.
- ↑ Gluth, Michael B; Witman, Patricia M; Thompson, Dana M (2004). "Upper aerodigestive tract complications in a neonate with linear IgA bullous dermatosis". International Journal of Pediatric Otorhinolaryngology. 68 (7). Elsevier BV: 965–970. doi:10.1016/j.ijporl.2004.02.014. ISSN 0165-5876. PMID 15183590.
- ↑ KELLY, SUSAN E.; FRITH, PEGGY A.; MILLARD, P. R.; WOJNAROWSKA, FENELLA; BLACK, M. M. (1988). "A clinicopathological study of mucosal involvement in linear IgA disease". British Journal of Dermatology. 119 (2). Oxford University Press (OUP): 161–170. doi:10.1111/j.1365-2133.1988.tb03197.x. ISSN 0007-0963. PMID 3048368.
- ↑ Sarikaya Solak, Sezgi; Ficicioglu, Sezin (2019-06-03). "Cephalosporin-induced linear IgA dermatosis in a child: Case report and literature review". Dermatologic Therapy. 32 (4) e12927. Hindawi Limited. doi:10.1111/dth.12927. ISSN 1396-0296. PMID 30977941.
- ↑ Matsumoto, Takanao; Nakamura, Satoshi; Ishii, Norito; Umemoto, Naoka; Kawase, Masaaki; Demitsu, Toshio; Hashimoto, Takashi (2019). "Erythrodermic linear IgA/IgG bullous dermatosis". European Journal of Dermatology. 29 (2). John Libbey Eurotext: 220–221. doi:10.1684/ejd.2019.3503. ISSN 1952-4013. PMID 30973330. S2CID 108295628.
- 1 2 HORIGUCHI, Yuji; IKOMA, Akihiko; SAKAI, Rie; MASATSUGU, Asako; OHTA, Miyuki; HASHIMOTO, Takashi (2008). "Linear IgA dermatosis: Report of an infantile case and analysis of 213 cases in Japan". The Journal of Dermatology. 35 (11). Wiley: 737–743. doi:10.1111/j.1346-8138.2008.00561.x. ISSN 0385-2407. PMID 19120770. S2CID 32517522.
- ↑ Taniguchi, Tomonori; Maejima, Hideki; Saito, Norimitsu; Katsuoka, Kensei; Haruki, Satomi (2009). "Case of linear IgA bullous dermatosis-involved ulcerative colitis". Inflammatory Bowel Diseases. 15 (9). Oxford University Press (OUP): 1284–1285. doi:10.1002/ibd.20795. ISSN 1078-0998. PMID 19023862.
- ↑ Paige, D.G.; Leonard, J.N.; Wojnarowska, F.; Fry, L. (1997). "Linear IgA disease and ulcerative colitis". British Journal of Dermatology. 136 (5): 779–782. doi:10.1046/j.1365-2133.1997.6751622.x. PMID 9205518. S2CID 33294097.
- ↑ Holló, P.; Preisz, K.; Nemes, L.; Bíró, J.; Kárpáti, S.; Horváth, A. (2003). "Linear IgA dermatosis associated with chronic clonal myeloproliferative disease". International Journal of Dermatology. 42 (2). Wiley: 143–146. doi:10.1046/j.1365-4362.2003.01438_2.x. ISSN 0011-9059. PMID 12709006. S2CID 31443626.
- ↑ GODFREY, K.; WOJNAROWSKA, FENELLA; LEONARD, J. (2006-07-29). "Linear IgA disease of adults: association with lymphoproliferative malignancy and possible role of other triggering factors". British Journal of Dermatology. 123 (4). Oxford University Press (OUP): 447–452. doi:10.1111/j.1365-2133.1990.tb01448.x. ISSN 0007-0963. PMID 2095175. S2CID 29409150.
- ↑ Adamič, M.; Potočnik, M.; Pavlović, M. D. (2008). "Linear IgA bullous dermatosis in a patient with advanced pancreatic carcinoma". Clinical and Experimental Dermatology. 33 (4). Oxford University Press (OUP): 503–505. doi:10.1111/j.1365-2230.2008.02767.x. ISSN 0307-6938. PMID 18498404. S2CID 43629819.
- ↑ Takagi, Y.; Sawada, S.; Yamauchi, M.; Amagai, M.; Niimura, M. (2000-03-01). "Coexistence of psoriasis and linear IgA bullous dermatosis". British Journal of Dermatology. 142 (3). Oxford University Press (OUP): 513–516. doi:10.1046/j.1365-2133.2000.03367.x. ISSN 1365-2133. PMID 10735961. S2CID 37297071.
- ↑ Tobón, Gabriel J.; Toro, Carlos E.; Bravo, Juan-Carlos; Cañas, Carlos A. (2007-10-12). "Linear IgA bullous dermatosis associated with systemic lupus erythematosus: a case report". Clinical Rheumatology. 27 (3). Springer Science and Business Media LLC: 391–393. doi:10.1007/s10067-007-0752-5. ISSN 0770-3198. PMID 17932615. S2CID 20800832.
- ↑ Smitt, J H S.; Leusen, J H W; Stas, H G; Teeuw, A H; Weening, R S (1997-08-01). "Chronic bullous disease of childhood and a paecilomyces lung infection in chronic granulomatous disease". Archives of Disease in Childhood. 77 (2). BMJ: 150–152. doi:10.1136/adc.77.2.150. ISSN 0003-9888. PMC 1717284. PMID 9301356.
- ↑ Simon, Jan C.; Dietrich, Andrea; Kapp, Alexander; Schopf, Erwin (1995-07-01). "Chronisch bullose Dermatose des Kindesalters Assoziation mit einer Salmonellen-Enteritis". Der Hautarzt. 46 (7). Springer Science and Business Media LLC: 485–489. doi:10.1007/s001050050287. ISSN 0017-8470. PMID 7672989. S2CID 23651196.
- ↑ Salmhofer, Wolfgang; Soyer, H.Peter; Wolf, Peter; Födinger, Dagmar; Hödl, Stefan; Kerl, Helmut (2004). "UV light–induced linear IgA dermatosis". Journal of the American Academy of Dermatology. 50 (1). Elsevier BV: 109–115. doi:10.1016/s0190-9622(03)02120-0. ISSN 0190-9622. PMID 14699378.
- ↑ Wozniak, K.; Kalinska-Bienias, A.; Hashimoto, T.; Kowalewski, C. (2014-10-30). "Ultraviolet-induced linear IgA bullous dermatosis: a case report and literature survey". British Journal of Dermatology. 171 (6). Oxford University Press (OUP): 1578–1581. doi:10.1111/bjd.13154. ISSN 0007-0963. PMID 24888577. S2CID 45413559.
- ↑ Fortuna, Giulio; Salas-Alanis, Julio Cesar; Guidetti, Eugenio; Marinkovich, M. Peter (2012). "A critical reappraisal of the current data on drug-induced linear immunoglobulin A bullous dermatosis: A real and separate nosological entity?". Journal of the American Academy of Dermatology. 66 (6). Elsevier BV: 988–994. doi:10.1016/j.jaad.2011.09.018. ISSN 0190-9622. PMID 22169257.
- ↑ Ho, Jean Chin Ching; Ng, Pei Lin Patricia; Tan, Suat Hoon; Giam, Yoke Chin (2007-08-06). "Childhood Linear IgA Bullous Disease Triggered by Amoxicillin-Clavulanic Acid". Pediatric Dermatology. 24 (5). Wiley: E40-3. doi:10.1111/j.1525-1470.2007.00438.x. ISSN 0736-8046. PMID 17958778. S2CID 7278884.
- ↑ Polat, Muhterem; Lenk, Nurdan; Kürekçi, Emin; Öztaş, Pinar; Artüz, Ferda; Alli, Nuran (2007). "Chronic Bullous Disease of Childhood in a Patient with Acute Lymphoblastic Leukemia". American Journal of Clinical Dermatology. 8 (6). Springer Science and Business Media LLC: 389–391. doi:10.2165/00128071-200708060-00010. ISSN 1175-0561. PMID 18039023. S2CID 9453819.
- ↑ Kocyigit, P.; Akay, B. N.; Karaosmanoðlu, N. (2009). "Linear IgA bullous dermatosis induced by interferon-α 2a". Clinical and Experimental Dermatology. 34 (5). Oxford University Press (OUP): e123 – e124. doi:10.1111/j.1365-2230.2008.03160.x. ISSN 0307-6938. PMID 19508467. S2CID 23778144.
- ↑ Collier, P.M.; Wojnarowska, F.; Welsh, K.; Mcguire, W.; Black, M.M. (1999). "Adult linear IgA disease and chronic bullous disease of childhood: the association with human lymphocyte antigens Cw7, B8, DR3 and tumour necrosis factor influences disease expression". British Journal of Dermatology. 141 (5). Oxford University Press (OUP): 867–875. doi:10.1046/j.1365-2133.1999.03110.x. ISSN 0007-0963. PMID 10583169. S2CID 652581.
- ↑ Ishii, N.; Ohyama, B.; Yamaguchi, Z.; Hashimoto, T. (2008). "IgA autoantibodies against the NC16a domain of BP180 but not 120-kDa LAD-1 detected in a patient with linear IgA disease". British Journal of Dermatology. 158 (5). Oxford University Press (OUP): 1151–1153. doi:10.1111/j.1365-2133.2008.08492.x. ISSN 0007-0963. PMID 18363761. S2CID 31976851.
- ↑ Zillikens, Detlef; Herzele, Karin; Georgi, Matthias; Schmidt, Enno; Chimanovitch, Iakov; Bröcker, Eva-B; Schumann, Hauke; Mascaro, Jose M.; Diaz, Luis A.; Bruckner-Tuderman, Leena; Giudice, George J. (1999). "Autoantibodies in a Subgroup of Patients with Linear IgA Disease React with the NC16A Domain of BP1801". Journal of Investigative Dermatology. 113 (6). Elsevier BV: 947–953. doi:10.1046/j.1523-1747.1999.00808.x. ISSN 0022-202X. PMID 10594735.
- ↑ Tsuchisaka, Atsunari; Ohara, Koji; Ishii, Norito; Nguyen, Ngon T.; Marinkovich, M Peter; Hashimoto, Takashi (2015). "Type VII Collagen Is the Major Autoantigen for Sublamina Densa–Type Linear IgA Bullous Dermatosis". Journal of Investigative Dermatology. 135 (2). Elsevier BV: 626–629. doi:10.1038/jid.2014.381. ISSN 0022-202X. PMID 25207819.
- ↑ Yamagami, Jun; Nakamura, Yoshio; Nagao, Keisuke; Funakoshi, Takeru; Takahashi, Hayato; Tanikawa, Akiko; Hachiya, Takahisa; Yamamoto, Toshiyuki; Ishida-Yamamoto, Akemi; Tanaka, Toshihiro; Fujimoto, Noriki; Nishigori, Chikako; Yoshida, Tetsuya; Ishii, Norito; Hashimoto, Takashi; Amagai, Masayuki (2018). "Vancomycin Mediates IgA Autoreactivity in Drug-Induced Linear IgA Bullous Dermatosis". Journal of Investigative Dermatology. 138 (7). Elsevier BV: 1473–1480. doi:10.1016/j.jid.2017.12.035. ISSN 0022-202X. PMC 8054301. PMID 29410066.
Further reading
- Kasperkiewicz, Michael; Meier, Markus; Zillikens, Detlef; Schmidt, Enno (2010). "Linear IgA Disease: Successful Application of Immunoadsorption and Review of the Literature". Dermatology. 220 (3). S. Karger AG: 259–263. doi:10.1159/000279318. ISSN 1018-8665. PMID 20130384. S2CID 19960443.
- M, Kharfi; A, Khaled; A, Karaa; I, Zaraa; B, Fazaa; MR, Kamoun (15 January 2010). "Linear IgA bullous dermatosis: the more frequent bullous dermatosis of children". Dermatology Online Journal. 16 (1). Dermatol Online J: 2. doi:10.5070/D32TS975M4. ISSN 1087-2108. PMID 20137744.
