Intraarticular fracture

Intraarticular fracture
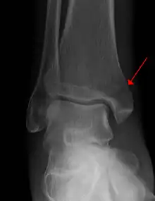
Example of an intraarticular fracture of the medial malleolus extending in the talocrural ankle joint
SpecialtyOrthopedics

An intraarticular fracture is a bone fracture in which the break crosses into the surface of a joint. This always results in damage to the cartilage.[1] Compared to extraarticular fractures, intraarticular have a higher risk for developing long-term complications, such as posttraumatic osteoarthritis.[2]

See also

References

  1. "Intraarticular Fracture Discussion".
  2. McKinley, Todd O.; Borrelli, Joseph; D’Lima, Darryl D.; Furman, Bridgette D.; Giannoudis, Peter V. (2017-03-25). "Basic Science of Intraarticular Fractures and Posttraumatic Osteoarthritis". Journal of Orthopaedic Trauma. 24 (9): 567–570. doi:10.1097/BOT.0b013e3181ed298d. ISSN 0890-5339. PMC 3662545. PMID 20736796.

Further reading