Gas gangrene
| Gas gangrene | |
|---|---|
| Other names: Clostridial infection of tissues,[1] myonecrosis, clostridial myonecrosis | |
![]() ![]() | |
| |
| Specialty | Infectious disease |
| Symptoms | Pain, swelling, fever, blisters filled with dark fluid[2] |
| Complications | Amputation, sepsis[2] |
| Causes | Trauma, Clostridium bacteria[2] |
| Diagnostic method | Wound culture, imaging[2] |
| Differential diagnosis | Abdominal abscess,abdominal trauma,bacteria sepsis,Emphysematous cholecystitis,Group A streptococcal infections[2] |
| Treatment | Surgery, antibiotics[2] |
Gas gangrene (also known as clostridial myonecrosis[3] and myonecrosis[4]) is a bacterial infection that produces tissue gas in gangrene. This deadly form of gangrene usually is caused by Clostridium perfringens bacteria. About 1,000 cases of gas gangrene are reported yearly in the United States.[5]
Myonecrosis is a condition of necrotic damage, specific to muscle tissue. It is often seen in infections with C. perfringens or any of myriad soil-borne anaerobic bacteria. Bacteria cause myonecrosis by specific exotoxins. These microorganisms are opportunistic and, in general, enter the body through significant skin breakage. Gangrenous infection by soil-borne bacteria was common in the combat injuries of soldiers well into the 20th century, because of non-sterile field surgery and the basic nature of care for severe projectile wounds.[6]
Other causes of myonecrosis include envenomation by snakes of the genus Bothrops (family Viperidae), ischemic necrosis, caused by vascular blockage (e.g., diabetes type II), and disseminated intravascular coagulation or other thromboses.[7][8][9]
Signs and symptoms

Gas gangrene can cause myonecrosis (muscle tissue death), gas production, and sepsis. Progression to toxemia and shock is often very rapid. It can easily be noticed by the large, blackened sores that form, as well as a degree of loud and distinctive crepitus caused by gas escaping the necrotic tissue.[2][1]
A multitude of symptoms is associated with Gas gangrene. Distinctively, black lesions on the skin appear in a bubble form which allows visualization of gas-producing bacteria. Symptoms include:[10][11]
- Skin discoloration
- Foul smelling discharge from lesions
- Bubble lesions on skin
- Necrosis
- Fever
- Pain at site of surgery
- Lightheadedness
- Rapid heart rate
- Numbness of affected site
- Blisters
- Air in subcutaneous tissues (crepitus)
- Swelling
- Jaundice
Complications
As to the possible complications an individuals may have are the following:[1]
- Delirium
- Kidney failure
- Amputation
- Shock
- Sepsis
Cause

Clostridium species produce more toxins and exhibit higher degrees of virulence than any other bacterial taxon.[12]
Clostridium infections are usually opportunistic, and occur in individuals with serious preexisting medical conditions. However, Clostridium infections are also known to occur in healthy individuals. Four species of Clostridium (Clostridium botulinum, Clostridium perfringens, Clostridium tetani, and Clostridium sordelli) are responsible for most human infections. Since Clostridium is an obligate anaerobe taxon, the bacterium infects hypoxic tissues, which have become anaerobic due to restricted blood flow, degradation of blood vessels, or atherosclerosis. Immunocompromised individuals exhibit higher susceptibility for infection and higher mortality rates.[1][2][11][13]
Virulence factors
Members of the Clostridium species exhibit a plethora of virulence factors. Common virulence factors associated with gas gangrene include alpha toxin and theta toxin. Clostridium perfringens causes 80–90% of infections and produces both these toxins.[14]
- Alpha toxin (α-toxin)

Clostridium perfingens alpha toxin is widely associated with gas gangrene as it is its main virulence factor whilst invading its host. Alpha toxin is associated with hemolysis, thus restricting blood flow towards the area of infection. As the surrounding circulatory system collapses, neutrophils and monocytes, eosinophils and basophils cannot reach target areas of infection. The hemolytic activity of alpha toxin produces an anaerobic environment essential for the proliferation of the bacteria. Alpha toxin also exhibits the ability to infiltrate surrounding cellular tissue and cause a cascade of aberrant biochemical activity.[15][2]
- Theta toxin (Θ-toxin)
Theta toxin is also employed by Clostridium perfingens as a virulence factor. Theta toxin also promotes vascular degradation as does its counterpart alpha toxin. A platelet-activation factor is employed which triggers an acute inflammatory response in nearby tissues.This inflammatory response leads to constriction of surrounding arteries and promotes an anaerobic environment for Clostridium perfingens growth and pathophysiology.[16] [2]
- Beta toxin (β-toxin)
Beta toxin is an integral virulence factor in promoting enterocolitis and enterotoxemia.This toxin uses pores in the cellular biolipid membrane to import a pathogenic factor into organisms.[17][18]
Mechanism

Bacterium of the Clostridial species produce two toxins: alpha and theta toxins, which cause necrotizing damage to tissues.[2] A gas composition of 5.9% hydrogen, 3.4% carbon dioxide, 74.5% nitrogen, and 16.1% oxygen was reported in one clinical case.[20]
Myonecrosis differs slightly from other types of necrosis. While the underlying causes are almost identical, the type of affected tissue (in particular, muscle tissue) is significantly more important for the patient's general health. Superficial necrosis is unsightly and can lead to unattractive scarring, but otherwise does not affect the patient's likelihood of survival or physical capability to the same extent. However, massive myonecrosis will likely result in the loss of movement of the entire region. If the necrotic damage is allowed to continue throughout an affected limb, then often that entire limb is lost permanently.[2][21][22][23]It is often difficult to identify the extent of muscle damage, as C. perfringens may be at work in deeper fascial layers below the skin. Unlike other anaerobic infections, discharge in these infections is often not purulent (filled with pus). Instead, the discharge is often described as "sweetly putrid" or "dishwater pus" because it is much thinner than normal pus. This is due to the lysis of neutrophils, a type of white blood cell, caused by the lecithinases and other toxins released by Clostridium species.[24]
In terms of mechanism we find that bacteria often possess the ability to create exotoxins to assist them in competing with other microbes in their natural environments. When such bacteria are able to enter a living host, they encounter a vast supply of nutrients, warm conditions, and an abundance of water. This enables the microbes to rapidly proliferate, far in excess of the immune system's capability to defend, as prokaryotic bacteria possess a far greater capacity for multiplication than the host's immune system. The combination of bacterial load and ability to multiply is the basis for the microbes' ability to cause massive infection. Alongside such rapid proliferation is a corresponding mass-production of exotoxin that causes severe damage to local tissue in the host. One such exotoxin is alpha toxin, which is produced by C. perfringens and is the key virulence factor in its pathogenesis.[25]
Massive infection, gross injury, and depletion of the host's immune capability result in system-wide sepsis. This is partly due to the burden on the immune system, its corresponding release of inflammatory cytokines, and the distribution of bacterial toxins. Massive infection is likely to result in death from a combination of system-wide septic shock and the unintentionally damaging effects of the immune response. In animals, disability and distress caused by all of these factors markedly increase the chance of predation.[2][26]
Diagnosis
Various diagnostic methods can be employed in the diagnosis of Gas gangrene. Due to low incidence of myonecrosis it is an easy-to-overlook diagnosis. As bacterial infections mostly exhibit the same symptoms, early diagnosis of gas gangrene rarely occurs. The ambiguous symptoms only contribute to a poorer prognosis. Diagnostic methods include:[24][2]
- Biopsy of affected tissue
- Cultures of fluids from inflicted area
- Magnetic resonance imaging to visualize necrotized subcutaneous tissues
- X-rays for air pockets in affected tissues
- Microscopy identification of strain of bacteria sampled from fluids of inflicted area
- Gram stain
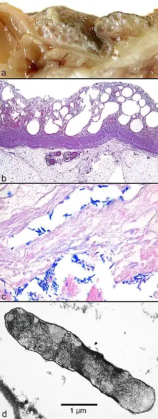
-
a,b) Gas gangrene -
Plain X-Ray of a patient with gas gangrene of left leg -
Muscle biopsy examined under the microscope (haematoxylin-eosin stain, zoom 100×): the large white areas between the muscle fibers are due to gas formation. -
Gram stain of a muscle biopsy showing Gram-positive, rod-shaped, anaerobic, spore-forming bacteria in the infected muscle tissue: The result is highly compatible with an infection with C. perfringens.
Differential diagnosis
The DDx for gas gangrene is as follows:[2]
- Bacteria sepsis
- Emphysematous cholecystitis
- Group A streptococcal infections
- Abdominal abscess
- Septic shock
- Vibrio infection
- Abdominal trauma
Treatment

Treatment is usually debridement and excision, with amputation necessary in many cases. Water-soluble antibiotics (such as penicillin) alone are not effective because they do not penetrate ischaemic muscles sufficiently to be effective. Penicillin plus clindamycin is effective against C. perfringens. When gas gangrene occurs in such regions as the abdominal cavity, the patient can be treated in a hyperbaric chamber, which contains a pressurized oxygen-rich atmosphere. The oxygen saturates the infected tissues and thereby prevents the growth of the obligately anaerobic clostridia.[27] The growth of C. perfringens is inhibited when the availability of oxygen is equivalent to a partial pressure of around 9–10 kPa (compare to 4–5 kPa in venous blood under normal conditions, with 11–13 kPa in arteries and 21 kPa in air at sea level), so if the treatment is started early, this condition can mostly be cured.[28]
Prognosis
Gas gangrene left untreated is a potentially fatal infection. Early diagnosis of the type of infection and species causing the infection will improve prognosis tremendously. Preventive measures are employed universally through medical facilities to stymie bacterial infections in patients. Reducing the susceptibility of infection will promote a better prognosis by practicing good hygiene and preventing the contraction of diseases which produce hypoxia or an immunocompromised state.[2]
Following resolution of myonecrosis, patients will often require further care following the deleterious effects caused by the infection. Skin grafts are often required following removal of necrotic tissues. Former patients will still require hyperbaric oxygen therapy to prevent a recurring infection.[2]
Epidemiology
Clostridium species are found in abundance in soil, especially soil used for animal husbandry.[12] In medical facilities, it thrives when unhygienic circumstances prevail. In the United States, the incidence of myonecrosis is only about 1,000 cases per year.[2]
During World War I and World War II, Clostridial myonecrosis was found in 5% of wounds, but with improvement in wound care, antisepsis and the use of antibiotics, the incidence had fallen to 0.1% of war-related wound infections by the Vietnam War.[2]
With the best of care—including early recognition, surgical care, antibiotic treatment, and hyperbaric oxygen therapy—the mortality rate is 20-30% and can be as low as 5-10%. If untreated, the disease has a 100% fatality rate.[2]
History

In terms of history we find that Gas gangrene, was first described by Hippocrates in the fifth century BC. However, the bacterium Clostridium perfringens, the primary cause of gas gangrene, was isolated and named by William H. Welch in 1891. [29][30]
See also
- Blackleg (a similar disease in livestock)
- List of cutaneous conditions
References
- ↑ 1.0 1.1 1.2 1.3 "Gas gangrene: MedlinePlus Medical Encyclopedia". medlineplus.gov. Archived from the original on 28 July 2016. Retrieved 16 March 2025.
- ↑ 2.00 2.01 2.02 2.03 2.04 2.05 2.06 2.07 2.08 2.09 2.10 2.11 2.12 2.13 2.14 2.15 2.16 2.17 2.18 2.19 2.20 Buboltz, Jerome B.; Murphy-Lavoie, Heather M. (October 13, 2019). Gas Gangrene. PMID 30725715. Archived from the original on 4 September 2020. Retrieved 1 May 2020.
- ↑ James, William D.; Berger, Timothy G.; et al. (2006). Andrews' Diseases of the Skin: clinical Dermatology. Saunders Elsevier. p. 269. ISBN 978-0-7216-2921-6.
- ↑ Rapini, Ronald P.; Bolognia, Jean L.; Jorizzo, Joseph L. (2007). Dermatology: 2-Volume Set. St. Louis: Mosby. ISBN 978-1-4160-2999-1.
- ↑ Jerrold B. Leikin; Frank P. Paloucek, eds. (2008), "Clostridium perfringens Poisoning", Poisoning and Toxicology Handbook (4th ed.), Informa, pp. 892–893, ISBN 978-1-4200-4479-9
- ↑ Pailler JL, Labeeu F (1986). "La gangrène gazeuse: une affection militaire?" [Gas gangrene: a military disease?]. Acta Chir. Belg. (in français). 86 (2): 63–71. PMID 3716723.
- ↑ Cavalcante, Joeliton S.; de Almeida, Denis Emanuel Garcia; Santos-Filho, Norival A.; Sartim, Marco Aurélio; de Almeida Baldo, Amanda; Brasileiro, Lisele; Albuquerque, Polianna L.; Oliveira, Sâmella S.; Sachett, Jacqueline Almeida Gonçalves; Monteiro, Wuelton Marcelo; Ferreira, Rui Seabra (15 July 2023). "Crosstalk of Inflammation and Coagulation in Bothrops Snakebite Envenoming: Endogenous Signaling Pathways and Pathophysiology". International Journal of Molecular Sciences. 24 (14): 11508. doi:10.3390/ijms241411508. ISSN 1422-0067. PMC 10380640. PMID 37511277.
- ↑ "Chapter 15 - IMAGING OF MUSCLE". Problem Solving in Musculoskeletal Imaging. Mosby. 1 January 2008. pp. 739–760. doi:10.1016/B978-0-323-04034-1.50019-2. ISBN 978-0-323-04034-1. Retrieved 25 March 2025.
- ↑ Popescu, Narcis I.; Lupu, Cristina; Lupu, Florea (31 March 2022). "Disseminated intravascular coagulation and its immune mechanisms". Blood. 139 (13): 1973–1986. doi:10.1182/blood.2020007208. ISSN 1528-0020. PMC 8972096. PMID 34428280.
- ↑ "Gas gangrene". www.amboss.com. Archived from the original on 2020-03-22. Retrieved 2021-03-25.
- ↑ 11.0 11.1 "Gas Gangrene - Infections". Merck Manual Consumer Version. Retrieved 21 March 2025.
- ↑ 12.0 12.1 Bryant, Amy E.; Stevens, Dennis L. "179: Gas Gangrene and Other Clostridial Infections". Harrison's Principles of Internal Medicine (19th ed.). Archived from the original on 15 August 2020. Retrieved 1 May 2020.
- ↑ Yao, Phil Y.; Annamaraju, Pavan (2025). "Clostridium perfringens Infection". StatPearls. StatPearls Publishing. PMID 32644475. Archived from the original on 2022-12-21. Retrieved 2025-03-25.
- ↑ Mehdizadeh Gohari, Iman; A Navarro, Mauricio; Li, Jihong; Shrestha, Archana; Uzal, Francisco; A McClane, Bruce (December 2021). "Pathogenicity and virulence of Clostridium perfringens". Virulence. 12 (1): 723–753. doi:10.1080/21505594.2021.1886777. ISSN 2150-5608. PMC 8043184. PMID 33843463.
- ↑ Sakurai, Jun; Nagahama, Masahiro; Oda, Masataka (November 2004). "Clostridium perfringens alpha-toxin: characterization and mode of action". Journal of Biochemistry. 136 (5): 569–574. doi:10.1093/jb/mvh161. ISSN 0021-924X. PMID 15632295. Archived from the original on 2025-02-04. Retrieved 2025-03-20.
- ↑ Stevens DL, Bryant AE (June 1993). "Role of theta toxin, a sulfhydryl-activated cytolysin, in the pathogenesis of clostridial gas gangrene". Clin. Infect. Dis. 16 (Suppl 4): S195 – S199. doi:10.1093/clinids/16.supplement_4.s195. PMID 8324118.
- ↑ Masahiro, Nagahama; Sadayuki, Ochi; Masataka, Oda; Kazuaki, Miyamoto; Keiko, Kobayashi (February 3, 2015). "Recent Insights into Clostridium perfringens Beta-Toxin". Toxins (Basel). 7 (2): 396–406. doi:10.3390/toxins7020396. PMC 4344631. PMID 25654787.
- ↑ Gibert, Maryse; Jolivet-Renaud, Colette; Popoff, Michel R. (5 December 1997). "Beta2 toxin, a novel toxin produced by Clostridium perfringens". Gene. 203 (1): 65–73. doi:10.1016/S0378-1119(97)00493-9. ISSN 0378-1119. PMID 9426008. Archived from the original on 12 April 2024. Retrieved 20 March 2025.
- ↑ Hussain, Hussain; Fadel, Aya; Garcia, Efrain; Hernandez, Robert J.; Saadoon, Zahraa F.; Naseer, Lamia; Casmartino, Ekaterina; Hamad, Mohammad; Schnepp, Taylor; Sarfraz, Rehan; Angly, Sohair; Jayakumar, Arumugam R. (18 July 2024). "Clostridial Myonecrosis: A Comprehensive Review of Toxin Pathophysiology and Management Strategies". Microorganisms. 12 (7): 1464. doi:10.3390/microorganisms12071464. PMC 11278868. PMID 39065232.
- ↑ ^ Chi CH, Chen KW, Huang JJ, Chuang YC, Wu MH (1995). "Gas composition in Clostridium septicum gas gangrene". J Formos Med Assoc. 94 (12): 757–9. PMID 8541740.
- ↑ "Necrotizing Skin Infections - Skin Disorders". Merck Manual Consumer Version. Retrieved 25 March 2025.
- ↑ Stevens, Dennis L.; Bryant, Amy E. (7 December 2017). "Necrotizing Soft-Tissue Infections". New England Journal of Medicine. 377 (23): 2253–2265. doi:10.1056/NEJMra1600673. ISSN 0028-4793. PMID 29211672.
- ↑ "Clostridial Myonecrosis - Symptoms, Causes, Treatment | NORD". rarediseases.org. Retrieved 25 March 2025.
- ↑ 24.0 24.1 "Gas Gangrene". The Lecturio Medical Concept Library. Archived from the original on 22 July 2021. Retrieved 22 July 2021.
- ↑ Awad MM, Bryant AE, Stevens DL, Rood JI (January 1995). "Virulence studies on chromosomal alpha-toxin and theta-toxin mutants constructed by allelic exchange provide genetic evidence for the essential role of alpha-toxin in Clostridium perfringens-mediated gas gangrene". Mol. Microbiol. 15 (2): 191–202. doi:10.1111/j.1365-2958.1995.tb02234.x. PMID 7746141. S2CID 12440686.
- ↑ Stevens, Dennis L.; Bryant, Amy E. (1 September 2002). "The Role of Clostridial Toxins in the Pathogenesis of Gas Gangrene". Clinical Infectious Diseases. 35 (Supplement_1): S93 – S100. doi:10.1086/341928. ISSN 1058-4838. PMID 12173116.
- ↑ Gerard J. Tortora; Berdell R. Funke; Christine L. Case (2010), Microbiology: An Introduction (10th ed.), Benjamin Cummings, p. 646, ISBN 978-0-321-55007-1
- ↑ Guyton and Hall. Textbook of Medical Physiology, 12th edition, chapter 44, "Physiological issues in deep-sea diving and other high-pressure conditions"
- ↑ Lawrence, Christopher (12 November 2005). "Gangrene". The Lancet. 366 (9498): 1689. doi:10.1016/S0140-6736(05)67683-0. ISSN 0140-6736. PMID 16291052. Archived from the original on 21 November 2011. Retrieved 18 March 2025.
- ↑ "Gas Gangrene (Clostridial Myonecrosis): Background, Pathophysiology, Epidemiology". eMedicine. 13 June 2023. Retrieved 18 March 2025.
| Classification | |
|---|---|
| External resources |

