Follicular cyst of ovary
| Follicular cyst of the ovary | |
|---|---|
| Other names | Graafian follicle cyst, follicular cyst |
![]() | |
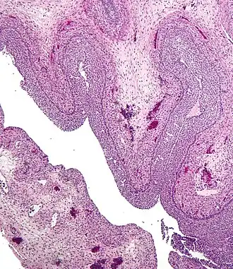
| Micrograph of a luteinized follicular cyst of the ovary. H&E stain. | |
| Specialty | Gynecology |
The follicular cyst of the ovary is a type of functional[1] simple cyst, and is the most common type of ovarian cyst.
Signs and symptoms
Its rupture can create sharp, severe pain on the side of the ovary on which the cyst appears. This sharp pain (sometimes called mittelschmerz) occurs in the middle of the menstrual cycle, during ovulation. About a fourth of women with this type of cyst experience pain.Usually, these cysts produce no symptoms and disappear by themselves within a few months.
Pathophysiology
This type can form when ovulation doesn't occur, and a follicle doesn't rupture or release its egg but instead grows until it becomes a cyst, or when a mature follicle involutes (collapses on itself). It usually forms during ovulation, and can grow to about 7 cm in diameter. It is thin-walled, lined by one or more layers of granulosa cell, and filled with clear fluid.
Diagnosis
Ultrasound is the primary tool used to document the follicular cyst. A doctor monitors these to make sure they disappear, and looks at treatment options if they do not.[2][3][4][5][6][7]
References
- ↑ Functional ovarian cysts at Cancer Research UK. Retrieved July 2012
- ↑ "Follicular cyst of the ovary definition". MedTerms. Archived from the original on 2014-03-07. Retrieved 2009-04-03.
- ↑ "Ovarian Cysts". The Institute for Female Alternative Medicine.. Archived from the original on 2010-12-21. Retrieved 2009-04-03.
- ↑ "Cause of Ovarian Cysts".
- ↑ "Follicular cyst - General Practice Notebook". Archived from the original on 2006-04-27. Retrieved 2012-10-16.
- ↑ "Ovarian cysts". Mayo Clinic.
- ↑ http://www.usc.edu/hsc/dental/opath/Chapters/DictionaryF.html+%22follicular+cyst%22&hl=en&ct=clnk&cd=35&gl=us
