Cervical polyp
| Cervical polyp | |
|---|---|
| Other names: Endocervical polyp; polyp of cervix uteri | |
![]() | |
| Drawing of a cervical polyp | |
| Specialty | Gynecology |
| Symptoms | None, vaginal bleeding after sex, vaginal discharge[1] |
| Complications | Infertility[2] |
| Usual onset | >40-years old[1] |
| Types | Endocervical, ectocervical[2] |
| Causes | Unknown[1] |
| Risk factors | Prior births or sexually transmitted infections[2] |
| Diagnostic method | Speculum examination, histological examination[2] |
| Differential diagnosis | Fibroids, cervical cancer, endometrial polyp, cervical ectropion, endometriosis[2] |
| Treatment | None, removal[2] |
| Frequency | Common[1] |
A cervical polyp is a growth attached to the inside of the cervical canal, part of the uterus.[1] It generally does not result in symptoms; though, may occasionally present with vaginal bleeding after sex or vaginal discharge.[1] Rare complications may include infertility and they may be associated with endometrial polyps.[2]
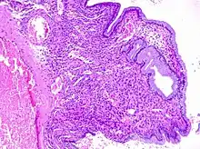
The cause is not known.[1] Risk factors include multiple prior births or sexually transmitted infections.[2] They tend to occur as single growth and are less than a centimeter in size; though may rarely be much larger.[1][2] Their color may vary from grey to red.[2] Most are not serious; thought, 0.2% to 1.5% are precancerous or cancerous, which mostly occur after menopause.[2] Diagnosis is generally suspected based on speculum examination and confirmed by histological examination.[2]
In those without symptoms specific treatment may not be required.[2] If there are concerns of cancer or symptom removal is recommended.[2] Occasionally this can be achieved by twisting it with ring forceps.[2] Long-term outcomes are generally good.[3] They may reoccur after removal.[2] Cervical polyps are common, affecting 2 to 5 % of women.[2] They mostly occur in those older than 40-years.[1]
Signs and symptoms
Cervical polyps often show no symptoms.[1] Where there are symptoms, they include intermenstrual bleeding, abnormally heavy menstrual bleeding (menorrhagia), vaginal bleeding in post-menopausal women, bleeding after sex and thick white vaginal or yellowish discharge (leukorrhoea).[4][5][6]
Cause
The cause of cervical polyps is uncertain.[1] They may also occur as a result of raised levels of estrogen or clogged cervical blood vessels.[4]
Diagnosis


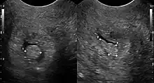
Cervical polyps can be seen during a pelvic examination as cherry-red or greyish-white projections from the cervical canal.[2] Diagnosis can be confirmed by a cervical biopsy which will reveal the nature of the cells present.[4]
Structure
Cervical polyps are finger-like growths, generally less than 1 cm in diameter.[1] They are generally bright red in colour, with a spongy texture.[7] They may be attached to the cervix by a stalk (pedunculated) and occasionally prolapse into the vagina where they can be mistaken for endometrial polyps or submucosal fibroids.[5]
Treatment
Cervical polyps can be removed using ring forceps.[8] They can also be removed by tying surgical string around the polyp and cutting it off.[4] The remaining base of the polyp can then be removed using a laser or by cauterisation.[4] If the polyp is infected, an antibiotic may be prescribed.[4]
Prognosis
99% of cervical polyps will remain benign and 1% will at some point show neoplastic change.[9] Cervical polyps are unlikely to regrow.[4]
Epidemiology
Cervical polyps are most common after age 40-years.[1] They are rare in pre-menstrual girls and uncommon in post-menopausal women.[6]
See also
References
- ↑ 1.00 1.01 1.02 1.03 1.04 1.05 1.06 1.07 1.08 1.09 1.10 1.11 1.12 WHO Classification of Tumours Editorial Board, ed. (2020). "6. Tumours of the uterine cervix: cervical polyp". Female genital tumours: WHO Classification of Tumours. Vol. 4 (5th ed.). Lyon (France): International Agency for Research on Cancer. p. 352. ISBN 978-92-832-4504-9. Archived from the original on 2022-06-17. Retrieved 2022-08-03.
- ↑ 2.00 2.01 2.02 2.03 2.04 2.05 2.06 2.07 2.08 2.09 2.10 2.11 2.12 2.13 2.14 2.15 2.16 2.17 Alkilani, Yara G.; Apodaca-Ramos, Irasema (2022). "Cervical Polyps". StatPearls. StatPearls Publishing. Archived from the original on 2022-08-03. Retrieved 2022-08-03.
- ↑ "Cervical Polyps". Harvard Health. 11 February 2019. Archived from the original on 4 December 2023. Retrieved 24 August 2024.
- ↑ 4.0 4.1 4.2 4.3 4.4 4.5 4.6 Smith, Melanie N. (2006-05-10). "Cervical polyps". MEDLINE. Archived from the original on 2007-10-26. Retrieved 2007-11-05.
- ↑ 5.0 5.1 Bates, Jane (1997). Practical Gynaecological Ultrasound. Cambridge University Press. p. 77. ISBN 1-900151-51-0. Archived from the original on 2022-04-22. Retrieved 2022-07-20.
- ↑ 6.0 6.1 Bosze, Peter; David M. Luesley (2004). Eagc Course Book on Colposcopy. Informa Health Care. p. 66. ISBN 963-00-7356-0. Archived from the original on 2022-04-07. Retrieved 2022-07-20.
- ↑ Zuber, Thomas J.; E. J. Mayeaux (2004). Atlas of Primary Care Procedures. Lippincott Williams & Wilkins. pp. 254–256. ISBN 0-7817-3905-5. Archived from the original on 2017-04-22. Retrieved 2022-07-20.
- ↑ Moore, Anne (2001-09-20). "How Should I Treat Postcoital Bleeding in a Premenopausal Patient?". Medscape.com. Archived from the original on 2003-12-14. Retrieved 2007-10-21.
- ↑ Tillman, Elizabeth. "Short Instructor Materials" (PDF). Centers for Disease Control and Prevention. Archived from the original on 2006-04-23. Retrieved 2007-10-21.
{{cite web}}: CS1 maint: bot: original URL status unknown (link)
External links
| Classification | |
|---|---|
| External resources |
