Cutaneous leiomyoma
| Cutaneous leiomyoma | |
|---|---|
| Other names | Cutaneous leiomyomata, leiomyoma cutis |
![]() | |
| Cutaneous Leiomyoma | |
| Specialty | Dermatology |
Cutaneous leiomyoma, also known as leiomyoma cutis,[1] or cutaneous leiomyomata,[2] is a benign skin tumor made of smooth muscle cells.[3] There are three different types of cutaneous leiomyomas, genital leiomyomas, angioleiomyomas, and piloleiomyomas. Cutaneous leiomyomas can occur sporadically or as a part of a genetic condition. Cutaneous leiomyomas are diagnosed by histopathology and treated by surgical excision.
Signs and symptoms
Piloleiomyomas can be single or many, and they are derived from the arrector pili muscles of the pilosebaceous unit.[1] The tumours are firm, reddish-brown to skin-colored papulonodules, ranging in diameter from few mm to 2 cm; older lesions exhibit progressive expansion.[4] Although lesions are immobile on the skin, they can move freely over deeply ingrained structures.[5] Blaschko's lines are frequently the center of many piloleiomyomas, while reports of linear, segmental, and zosteriform patterns have also been made.[6] Usually related to cold, pressure, or emotion, 90% of piloleiomyomas cause pain, characterized as burning, pinching, or stabbing.[4]
Genital leiomyomas are rare, solitary growths originating from dartoic, vulvar, or mammary smooth muscle that present similarly to piloleiomyomas, and they include tumors of the nipple.[4] Nonetheless, in contrast to piloleiomyomas, genitalia tumors usually do not cause discomfort and manifest as pedunculated papules on the scrotum, vulva, or nipple, or as unilateral papulonodules measuring less than 2 cm (scrotal and vulvar lesions can measure up to 9 and 15 cm, respectively).[7][8] The most common genital leiomyoma variations are scrotal and vulvar leiomyomas, with vulvar tumors exhibiting growth during pregnancy.[9][10][11]
Angioleiomyomas are uncommon extracutaneous tumors that arise from the tunica media of small- to medium-sized arteries and veins.[12][13] These tumors appear as firm nodules in the subcutaneous or, in rare cases, dermal regions of the extremities. They are well-circumscribed, vascularized, and differentiated.[14][15][16] Most lesions occur in the upper extremities of males and lower extremities of females, with around half of them being painful to the touch or extremely cold, particularly those of the solid and cavernous subtypes.[1][17][18]
Causes
Cutaneous leiomyomas may happen sporadically or in relation to renal cell cancer in the autosomal dominant condition known as hereditary leiomyomatosis and renal cell cancer.[19]
Diagnosis
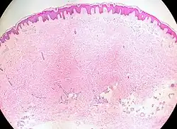
A hematoxylin and eosin-stained sample of the papule or nodule can be examined under a microscope to diagnose cutaneous leiomyomas.[18]
All cutaneous leiomyomas typically exhibit interlacing fascicles of spindle cells with considerable levels of eosinophilic cytoplasm and a blunt-ended, elongated, cigar-shaped nucleus with perinuclear halos on cross section when stained with hematoxylin and eosin (H&E).[5][1] Commonly used smooth muscle stains like Masson's trichrome, aniline blue, Von-Gieson, and phosphotungstic acid hematoxylin (PTAH) are positive for smooth muscle markers like actin and desmin.[4]
Classification
Three types of cutaneous leiomyomas are distinguished: genital leiomyomas, angioleiomyomas, and piloleiomyomas, which originate from the arrector pili muscle.[5]
Angioleiomyomas are thought to start from smooth muscle (tunica medium) found in the walls of arteries and veins, while piloleiomyomas are thought to originate from the arrector pili muscle of the pilosebaceous unit. Genital leiomyomas include those originating from the erectile muscle of the nipple, the dartos muscle of the scrotum, and the labia majora.[1]
Treatment
The most effective treatment is surgery, despite its high recurrence rate following excision. However, a surgical treatment can be limited by numerous lesions or unsatisfactory aesthetic outcomes. Cryotherapy, intralesional BTA injection, and CO2 ablation laser have all demonstrated some degree of pain alleviation in these situations.[19]
Epidemiology
Adults are more prone than children to have cutaneous leiomyomas, which often appear in the fifth and sixth decades of life.[20] Seventy-five percent of extra-uterine leiomyomas are cutaneous and make up about 5% of all leiomyomas.[21]
See also
References
- 1 2 3 4 5 Singh, Avninder; Ramesh, V; Malhotra, Purnima; Walia, Harpreet (2010). "Leiomyoma cutis: A clinicopathological series of 37 cases". Indian Journal of Dermatology. 55 (4). Medknow: 337. doi:10.4103/0019-5154.74535. ISSN 0019-5154. PMC 3051292. PMID 21430885.
- ↑ "Monarch Initiative". Monarch Initiative. Retrieved 2024-05-27.
- ↑ Mocellin, Simone (2021). "Cutaneous Leiomyoma". Soft Tissue Tumors. Cham: Springer International Publishing. pp. 201–203. doi:10.1007/978-3-030-58710-9_61. ISBN 978-3-030-58709-3.
- 1 2 3 4 Malik, Kunal; Patel, Parth; Chen, Jin; Khachemoune, Amor (2015). "Leiomyoma Cutis: A Focused Review on Presentation, Management, and Association with Malignancy". American Journal of Clinical Dermatology. 16 (1): 35–46. doi:10.1007/s40257-015-0112-1. ISSN 1175-0561. PMID 25605645.
- 1 2 3 Holst, Valerie A.; Junkins-Hopkins, Jacqueline M.; Elenitsas, Rosalie (2002). "Cutaneous smooth muscle neoplasms: Clinical features, histologic findings, and treatment options". Journal of the American Academy of Dermatology. 46 (4). Elsevier BV: 477–494. doi:10.1067/mjd.2002.121358. ISSN 0190-9622. PMID 11907496.
- ↑ Kitoh, Akihiko; Akiyama, Hajime; Yoshida, Yoko; Tanaka, Toshihiro (2003). "Multiple Piloleiomyomas: Do They Follow Dermatomes or Blaschko Lines?". The Journal of Dermatology. 30 (11). Wiley: 851–852. doi:10.1111/j.1346-8138.2003.tb00493.x. ISSN 0385-2407. PMID 14684949.
- ↑ Fasih, Najla; Prasad Shanbhogue, Alampady K.; Macdonald, David B.; Fraser-Hill, Margaret A.; Papadatos, Demetrios; Kielar, Ania Z.; Doherty, Geoffrey P.; Walsh, Cynthia; McInnes, Matthew; Atri, Mostafa (2008). "Leiomyomas beyond the Uterus: Unusual Locations, Rare Manifestations". RadioGraphics. 28 (7). Radiological Society of North America (RSNA): 1931–1948. doi:10.1148/rg.287085095. ISSN 0271-5333.
- ↑ Pandey, Deeksha; Shetty, Jyothi; Saxena, Aashish; Srilatha, P. S. (2014). "Leiomyoma in Vulva: A Diagnostic Dilemma". Case Reports in Obstetrics and Gynecology. 2014. Hindawi Limited: 1–3. doi:10.1155/2014/386432. ISSN 2090-6684. PMC 3934531. PMID 24660079.
- ↑ Zhou, Jianhong; Ha, Byeong K.; Schubeck, Dianne; Chung-Park, Moonja (2006). "Myxoid epithelioid leiomyoma of the vulva: A case report". Gynecologic Oncology. 103 (1). Elsevier BV: 342–345. doi:10.1016/j.ygyno.2006.04.001. ISSN 0090-8258. PMID 16765425.
- ↑ Kim, Na Rae; Sung, Chang Ohk; Han, Joungho (2003). "Bizarre Leiomyoma of the Scrotum". Journal of Korean Medical Science. 18 (3). Korean Academy of Medical Sciences: 452–454. doi:10.3346/jkms.2003.18.3.452. ISSN 1011-8934. PMC 3055059. PMID 12808340.
- ↑ FISHER, WILLIAM C. (1963-11-01). "Leiomyomas of the Skin". Archives of Dermatology. 88 (5). American Medical Association (AMA): 510. doi:10.1001/archderm.1963.01590230018002. ISSN 0003-987X.
- ↑ Huang, Yong; Xiong, Zhengwen (2013). "Angioleiomyoma of the kidney parenchyma". Indian Journal of Pathology and Microbiology. 56 (3). Medknow: 318–319. doi:10.4103/0377-4929.120412. ISSN 0377-4929. PMID 24152524.
- ↑ Del Sordo, Rachele; Leite, Silvia; Petroni, Pietro Antonio; Sidoni, Angelo (2008). "Paratesticular angioleiomyoma with cytological atypia". International Journal of Urology. 15 (4). Wiley: 374–375. doi:10.1111/j.1442-2042.2008.02011.x. ISSN 0919-8172. PMID 18380834.
- ↑ Hanft, JR; Carbonell, JA; Do, HQ (1997-08-01). "Angioleiomyoma of the lower extremity". Journal of the American Podiatric Medical Association. 87 (8). American Podiatric Medical Association: 388–391. doi:10.7547/87507315-87-8-388. ISSN 8750-7315. PMID 9274095.
- ↑ Hwang, J W; Ahn, J M; Kang, H S; Suh, J S; Kim, S M; Seo, J W (1998). "Vascular leiomyoma of an extremity: MR imaging-pathology correlation". American Journal of Roentgenology. 171 (4). American Roentgen Ray Society: 981–985. doi:10.2214/ajr.171.4.9762979. ISSN 0361-803X. PMID 9762979.
- ↑ Ramesh, P.; Annapureddy, S.R.; Khan, F.; Sutaria, P.D. (2004-06-24). "Angioleiomyoma: a clinical, pathological and radiological review". International Journal of Clinical Practice. 58 (6). Hindawi Limited: 587–591. doi:10.1111/j.1368-5031.2004.00085.x. ISSN 1368-5031. PMID 15311559.
- ↑ LAWSON, G. M.; SALTER, D. M.; HOOPER, G. (1995). "Angioleiomyomas of the Hand". Journal of Hand Surgery. 20 (4). SAGE Publications: 479–483. doi:10.1016/s0266-7681(05)80157-3. ISSN 0266-7681.
- 1 2 Stewart, Laveta; Glenn, Gladys; Toro, Jorge R. (2006). "Cutaneous leiomyomas: a clinical marker of risk for hereditary leiomyomatosis and renal cell cancer". Dermatology Nursing. 18 (4): 335–341, quiz 342. ISSN 1060-3441. PMID 16948378.
- 1 2 Vega-Díez, David; Rodríguez-Villa Lario, Ana; González-Cañete, Marta; Vélez-Velazquez, María Dolores; Polo-Rodríguez, Isabel; Medina, Susana (2021). "Treatment of cutaneous leiomyomas with botulinum toxin. Case report and review of literature". Dermatologic Therapy. 34 (6). doi:10.1111/dth.15121. ISSN 1396-0296.
- ↑ Robati, Reza Mahmoud; Barikbin, Behrooz; Kavand, Sima; Sarrafi-Rad, Nima; Moradloo, Mansoor (2009). "Solitary Cutaneous Leiomyoma in an Infant". Pediatric Dermatology. 26 (5): 621–623. doi:10.1111/j.1525-1470.2009.01000.x. ISSN 0736-8046. PMID 19840329.
- ↑ SPENCER, JAMES M.; AMONETTE, REX A. (1996). "Tumors with Smooth Muscle Differentiation". Dermatologic Surgery. 22 (9). Ovid Technologies (Wolters Kluwer Health): 761–768. doi:10.1111/j.1524-4725.1996.tb00726.x. ISSN 1076-0512. PMID 8874523.
Further reading
- Dilek, Nursel; YüKsel, Derya; şEhitoğLu, İBrahim; Saral, Yunus (2013). "Cutaneous leiomyoma in a child: A case report". Oncology Letters. 5 (4): 1163–1164. doi:10.3892/ol.2013.1194. ISSN 1792-1074. PMC 3629131. PMID 23599756.
- Marcoval, Joaquim; Llobera-Ris, Clàudia; Moreno-Vílchez, Carlos; Penín, Rosa María (2022). "Cutaneous Leiomyoma: A Clinical Study of 152 Patients". Dermatology. 238 (3): 587–593. doi:10.1159/000518542. ISSN 1018-8665. PMID 34569484.
.jpg)