Angioleiomyoma
| Angioleiomyoma | |
|---|---|
![]() | |
Angioleiomyoma (vascular leiomyoma, angiomyoma) of the skin is thought to arise from vascular smooth muscle, and is generally acquired.[1]
Signs and symptoms
Histology
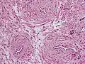
-
Angioleiomyoma, smooth muscles encircling dilatated blood vessels
-
Angioleiomyoma of the knee-Angioleiomyoma showing smooth muscle bundles and a vessel
See also
References
- ↑ Freedberg, et al. (2003). Fitzpatrick's Dermatology in General Medicine. (6th ed.). Page 1033. McGraw-Hill. ISBN 0-07-138076-0.
External links
| Classification | |
|---|---|
| External resources |
.jpg)
.jpg)
.jpg)