Bizarre parosteal osteochondromatous proliferation
| Bizarre parosteal osteochondromatous proliferation | |
|---|---|
| Other names: Nora lesion or Nora disease (not recommended)[1][2] | |
![]() | |
| Bizarre parosteal osteochondromatous proliferation, middle finger | |
| Specialty | Orthopedics |
| Symptoms | Painless lump in finger or toe[1] |
| Risk factors | Possibly trauma in a minority[1] |
| Diagnostic method | Medical imaging[1] |
| Differential diagnosis | Mainly subungal exostosis[1] |
| Treatment | Surgical excision.[1] |
| Prognosis | Up to 50% recur after surgery[1] |
| Frequency | <5% of cartilage tumors,[3] Males=Females[1] |
Bizarre parosteal osteochondromatous proliferation (BPOP) is a type of non-cancerous bone tumor belonging to the group of cartilaginous tumors.[1][4] It is generally seen in the tubular bones of the hands and feet,[5] where it presents with a rapidly growing 1-3cm painless lump, usually in a finger or toe.[1][2]
BPOP is composed of bone, cartilage and spindle cells.[1] A small number of people have reported previous trauma.[1]
Diagnosis is by medical imaging.[1] Treatment is by surgical excision.[1] Up to 50% recur after surgery.[1]
It occurs more often in the 20s and 30s,[1] and combined with subungal exostosis, accounts for less than 5% of cartilage tumors.[3] Males and females are affected equally.[1] The condition was first described in 1983 by Frederick E. Nora.[5][6]
Signs and symptoms
BPOP generally presents with a rapidly growing 1-3cm painless lump in a finger or toe.[1][2]
Mechanism
It is composed of bone, cartilage and spindle cells.[1] A small number of people have reported previous trauma.[1]
Diagnosis
Medical imaging usually shows a well-defined wide-based bony growth on the surface of bone.[5] It can be pedunculated and irregular, giving it a "bizarre" appearance, and is not connected to underlying bone.[2]
-
X-ray left foot: Bizarre parosteal osteochondromatous proliferation in 2nd toe -
MRI mid-upper arm -
MRI mid-arm axial view -
X-ray hand, BPOP 2nd metacarpal -
X-ray hand, BPOP 2nd metacarpal (side view)
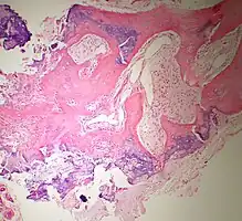
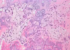
Histopathology
-
Bone Bizzare Parosteal Osteochondromatous Proliferation -
Bone Bizzare Parosteal Osteochondromatous Proliferation
-
Bone Bizzare Parosteal Osteochondromatous Proliferation
Differential diagnosis
BPOP is distinct from subungal exostosis.[1][5] Granulomatous infection may also appear similar.[2] Other differential diagnoses include:
-
Turret exostosis[5] -
Periosteal chondroma[5] -
Parosteal osteosarcoma[5] -
Periosteal chondrosarcoma[5] -
-
Florid reactive periostitis[5] -
![Myositis ossificans[2]](./_assets_/ba48700f93e6ccab7a94adacb8f4c793/Myositis_ossificans_(Radiopaedia_27674).png)
Treatment
Treatment is by surgical excision.[1]
Outcomes
Bizarre parosteal osteochondromatous proliferations are non-cancerous with no risk of spread.[5] They may invade local tissue and recurrence after surgery can occur in up to 50%.[1][5]
Epidemiology
They are most often seen in people in their 20s and 30s.[1] Combined with subungal exostosis, account for less than 5% of cartilage tumors.[3] Males and females are affected equally.[1][5]
History
Bizarre parosteal osteochondromatous proliferation was first described by Frederick E. Nora in 1983.[5][6] Generally in the US, it has been thought of as a mouthful and hence it is sometimes referred to as Nora's lesion.[7]
Other animals
In 1998 a report of a similar lesion to BPOP was reported in a wallaby.[8]
References
- ↑ 1.00 1.01 1.02 1.03 1.04 1.05 1.06 1.07 1.08 1.09 1.10 1.11 1.12 1.13 1.14 1.15 1.16 1.17 1.18 1.19 1.20 1.21 1.22 1.23 1.24 1.25 WHO Classification of Tumours Editorial Board, ed. (2020). "Bizarre parosteal osteochondromatous proliferation". Soft Tissue and Bone Tumours: WHO Classification of Tumours. Vol. 3 (5th ed.). Lyon (France): International Agency for Research on Cancer. pp. 348–350. ISBN 978-92-832-4503-2. Archived from the original on 2021-06-13. Retrieved 2021-07-04.
- ↑ 2.0 2.1 2.2 2.3 2.4 2.5 Bocklage, Therese J.; Quinn, Robert; Verschraegen, Claire; Schmit, Berndt (2014). "16. Cartilaginous tumours of bones and joints". Bone and Soft Tissue Tumors: A Multidisciplinary Review with Case Presentations. London: JP Medical Ltd. p. 379. ISBN 978-1-907816-22-2. Archived from the original on 2023-01-11. Retrieved 2021-07-05.
- ↑ 3.0 3.1 3.2 Engel, Hannes; Herget, Georg W.; Füllgraf, Hannah; Sutter, Reto; Benndorf, Matthias; Bamberg, Fabian; Jungmann, Pia M. (March 2021). "Chondrogenic Bone Tumors: The Importance of Imaging Characteristics". RoFo: Fortschritte Auf Dem Gebiete Der Rontgenstrahlen Und Der Nuklearmedizin. 193 (3): 262–275. doi:10.1055/a-1288-1209. ISSN 1438-9010. PMID 33152784. Archived from the original on 2021-07-09. Retrieved 2021-07-05.
- ↑ "ICD-11 - ICD-11 for Mortality and Morbidity Statistics". icd.who.int. Archived from the original on 1 August 2018. Retrieved 6 July 2021.
- ↑ 5.00 5.01 5.02 5.03 5.04 5.05 5.06 5.07 5.08 5.09 5.10 5.11 5.12 Mahajan, Sumit; Chandra, Rajesh; Mohan Lal, Yash (December 2012). ""Nora lesion" – Bizarre parosteal osteochondromatous proliferation". Journal of Clinical Orthopaedics and Trauma. 3 (2): 119–121. doi:10.1016/j.jcot.2012.07.001. ISSN 0976-5662. PMID 26403451. Archived from the original on 2020-12-11. Retrieved 2021-07-04.
- ↑ 6.0 6.1 Nora, F. E.; Dahlin, D. C.; Beabout, J. W. (April 1983). "Bizarre parosteal osteochondromatous proliferations of the hands and feet". The American Journal of Surgical Pathology. 7 (3): 245–250. doi:10.1097/00000478-198304000-00003. ISSN 0147-5185. PMID 6837834. Archived from the original on 2021-07-09. Retrieved 2021-07-04.
- ↑ Davies, A. Mark; Sundaram, Murali; James, Steven J. (2009). Imaging of Bone Tumors and Tumor-Like Lesions: Techniques and Applications. Springer Science & Business Media. p. 684. ISBN 978-3-540-77982-7. Archived from the original on 2021-08-28. Retrieved 2021-08-18.
- ↑ Rungsipipat, A.; Yamaguchi, R.; Naganobu, K.; Iwamoto, K.; Uchida, K.; Tateyama, S.; Kurogi, T.; Katayama, N. (1998). "A bone tumour resembling bizarre parosteal osteochondromatous proliferation in a wallaby". Australian Veterinary Journal. 76 (8): 561–564. doi:10.1111/j.1751-0813.1998.tb10218.x. ISSN 1751-0813. PMID 9741726. Archived from the original on 2021-08-18. Retrieved 2021-07-05.
