Chondromyxoid fibroma
| Chondromyxoid fibroma | |
|---|---|
![]() | |
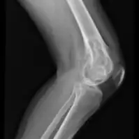
| X-ray knee - chondromyxoid fibroma in long bone of thigh near the knee | |
| Specialty | Orthopedics |
| Causes | Unknown[1] |
| Diagnostic method | Medical imaging[2] |
| Frequency | Rare[3] |
Chondromyxoid fibroma is a non-cancerous cartilaginous tumor, a type of bone tumor.[2][4] It usually presents with pain and swelling in a long bone of the leg in an adolescent.[1][3]
The cause is unknown.[1]
Diagnosis is by medical imaging.[2] Treatment is with curettage or surgical excision.[5] Following surgery, 10-20% may recur.[5]
Chondromyxoid fibroma is rare.[3] It rarely occur in the skull or skull base.[1]
Signs and symptoms
It usually presents with pain and swelling in the long bone of an adolescent.[1] Less likely affected ar ribs, spine, skull and facial bones, and tubular bones of the hand.[1]
Mechanism
Most cases are characterised by GRM1 gene fusion or promoter swapping.[1] It can be associated with a translocation at t(1;5)(p13;p13).[6]
Diagnosis
Diagnosis is by Medical imaging.[2]
Epidemiology
It is rare, comprises <1 % of all bone tumors that arise from bone itself and <2% of cartilage tumors.[2] Around half occur around the knee and mostly in long bone of lower leg in the teens.[2]
References
- ↑ 1.0 1.1 1.2 1.3 1.4 1.5 1.6 WHO Classification of Tumours Editorial Board, ed. (2020). "Chondromyxoid fibroma". Soft Tissue and Bone Tumours: WHO Classification of Tumours. Vol. 3 (5th ed.). Lyon (France): International Agency for Research on Cancer. pp. 362–364. ISBN 978-92-832-4503-2. Archived from the original on 2021-06-13. Retrieved 2021-07-05.
- ↑ 2.0 2.1 2.2 2.3 2.4 2.5 Engel, Hannes; Herget, Georg W.; Füllgraf, Hannah; Sutter, Reto; Benndorf, Matthias; Bamberg, Fabian; Jungmann, Pia M. (March 2021). "Chondrogenic Bone Tumors: The Importance of Imaging Characteristics". RoFo: Fortschritte Auf Dem Gebiete Der Rontgenstrahlen Und Der Nuklearmedizin. 193 (3): 262–275. doi:10.1055/a-1288-1209. ISSN 1438-9010. PMID 33152784. Archived from the original on 2021-07-09. Retrieved 2021-07-05.
- ↑ 3.0 3.1 3.2 Bocklage, Therese J.; Quinn, Robert; Verschraegen, Claire; Schmit, Berndt (2014). "16. Cartilaginous tumours of bones and joints". Bone and Soft Tissue Tumors: A Multidisciplinary Review with Case Presentations. London: JP Medical Ltd. pp. 366–409. ISBN 978-1-907816-22-2. Archived from the original on 2021-07-09. Retrieved 2021-08-21.
- ↑ WHO Classification of Tumours Editorial Board, ed. (2020). "Bone tumors". Soft Tissue and Bone Tumours: WHO Classification of Tumours. Vol. 3 (5th ed.). Lyon (France): International Agency for Research on Cancer. p. 338. ISBN 978-92-832-4503-2. Archived from the original on 2021-06-13. Retrieved 2021-07-05.
- ↑ 5.0 5.1 Suster, David; Hung, Yin Pun; Nielsen, G. Petur (1 January 2020). "Differential Diagnosis of Cartilaginous Lesions of Bone". Archives of Pathology & Laboratory Medicine. 144 (1): 71–82. doi:10.5858/arpa.2019-0441-RA. ISSN 0003-9985. Archived from the original on 19 July 2021. Retrieved 17 July 2021.
- ↑ Armah HB, McGough RL, Goodman MA, et al. (2007). "Chondromyxoid fibroma of rib with a novel chromosomal translocation: a report of four additional cases at unusual sites". Diagn Pathol. 2: 44. doi:10.1186/1746-1596-2-44. PMC 2203974. PMID 18036245.
{{cite journal}}: CS1 maint: unflagged free DOI (link)
External links
| Classification |
|
|---|

