Carcinoma in situ

Carcinoma in situ
Other namesin situ neoplasm
SpecialtyOncology

Carcinoma in situ (CIS) is a group of abnormal cells.[1][2] While they are a form of neoplasm,[3] there is disagreement over whether CIS should be classified as cancer. This controversy also depends on the exact CIS in question (e.g., cervical, skin, breast). Some authors do not classify them as cancer, however, recognizing that they can potentially become cancer.[1] Others classify certain types as a non-invasive form of cancer.[4][5] U.S. surgical pathologist Albert C. Broders introduced both the term and concept of carcinoma in situ in 1932.[6][7] The term "pre-cancer" has also been used.

These abnormal cells grow in their normal place, thus in situ (Latin for 'in its place'). For example, carcinoma in situ of the skin, also called Bowen's disease, is the accumulation of dysplastic epidermal cells within the epidermis only, that has failed to penetrate into the deeper dermis. For this reason, CIS will usually not form a tumor. Rather, the lesion is flat (in the skin, cervix, etc.) or follows the existing architecture of the organ (in the breast, lung, etc.). Exceptions include CIS of the colon (polyps), the bladder (preinvasive papillary cancer), or the breast (ductal carcinoma in situ or lobular carcinoma in situ).

Many forms of CIS have a high probability of progression into cancer,[8] and therefore removal may be recommended; however, progression of CIS is known to be highly variable and not all CIS becomes invasive cancer.

In the TNM classification, carcinoma in situ is reported as TisN0M0 (stage 0).[9]

Terminology

These terms are related since they represent the steps of the progression toward cancer:

  • Dysplasia is the earliest form of precancerous lesion recognizable in a biopsy. Dysplasia can be low-grade or high-grade. High-grade dysplasia may also be referred to as carcinoma in situ.
  • Invasive carcinoma, usually simply called cancer, has the potential to invade and spread to surrounding tissues and structures, and may eventually be lethal.

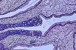
Examples

High-grade dysplasia (carcinoma in situ) in the uterine cervix: The abnormal epithelium is extending into a mucous gland to the left of center. This disease can progress to invasive cancer (squamous cell carcinoma) of the cervix.

Treatment

Carcinoma in situ is, by definition, a localized phenomenon, with no potential for metastasis unless it progresses into cancer. Therefore, its removal eliminates the risk of subsequent progression into a life-threatening condition.

Some forms of CIS (e.g., colon polyps and polypoid tumours of the bladder) can be removed using an endoscope, without conventional surgical resection. Dysplasia of the uterine cervix is removed by excision (cutting it out) or by burning with a laser. Bowen's disease of the skin is removed by excision. Other forms require major surgery, the best known being intraductal carcinoma of the breast (also treated with radiotherapy).

References

  1. 1 2 Chang A (2007). Oncology: An Evidence-Based Approach. Springer. p. 162. ISBN 978-0-387-31056-5.
  2. "II Neoplams". World Health Organization. Retrieved 19 June 2014.
  3. World Health Organization (2004). International statistical classification of diseases and related health problems (10. rev., 2. ed.). Geneva: World Health Organization. p. 38. ISBN 9789241546492.
  4. Myers JA, Millikan KW, Saclarides TJ (2008). Common surgical diseases an algorithmic approach to problem solving (2nd rev. ed.). New York: Springer. ISBN 978-0-387-75246-4.
  5. Allred DC (2010). "Ductal carcinoma in situ: terminology, classification, and natural history". Journal of the National Cancer Institute. Monographs. 2010 (41): 134–138. doi:10.1093/jncimonographs/lgq035. PMC 5161057. PMID 20956817.
  6. Wright, James R. Jr. (2012). "Albert C. Broders' paradigm shifts involving the prognostication and definition of cancer". Archives of Pathology & Laboratory Medicine. 136 (11): 1437–1446. doi:10.5858/arpa.2011-0567-HP. PMID 23106590.
  7. "carcinoma in situ". Oxford English Dictionary (Online ed.). Oxford University Press. doi:10.1093/OED/1023159588. (Subscription or participating institution membership required.)
  8. Ridge JA, Glisson BS, Lango MN, et al. "Head and Neck Tumors" Archived 2009-07-20 at the Wayback Machine in Pazdur R, Wagman LD, Camphausen KA, Hoskins WJ (Eds) Cancer Management: A Multidisciplinary Approach Archived 2013-10-04 at the Wayback Machine. 11 ed. 2008.
  9. "Cancer Staging Fact Sheet". National Cancer Institute. Retrieved June 24, 2014.
  10. "Understanding Cervical Changes" (PDF). National Cancer Institute. National Institute of Health. Retrieved 17 June 2014.