B-cell lymphoma
| B-cell lymphoma | |
|---|---|
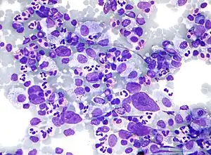
![]() | |
| Micrograph showing a large B cell lymphoma. Field stain. | |
| Specialty | Hematology, oncology |
| Symptoms | Swollen lymph nodes, abdominal pain, tiredness, fever, night sweats, weight loss[1] |
| Types | Indolent, aggressive[2] |
| Risk factors | Genetics, environmental factors, viral infections, connective tissue disorders, poor immune function[1] |
| Diagnostic method | Tissue biopsy[2] |
| Treatment | Radiation therapy, chemotherapy, immunotherapy, stem cell transplant[2] |
| Frequency | 19 per 100,000 per year (the West)[3] |
B-cell lymphoma are types of lymphoma affecting B cells, a type of white blood cell that makes antibodies.[1][3] Symptoms may include swollen lymph nodes, abdominal pain, tiredness, fever, night sweats, or weight loss.[1] They generally start within lymph nodes, the spleen, bone marrow, or blood.[4]
Risk factors include certain genetic conditions, environmental factors, viral infections, connective tissue disorders, and poor immune function.[1] They are a type of blood cancer.[5] Subtypes include Hodgkin and over 40 types of non-Hodgkin lymphoma.[3] They are divided into slow-growing (indolent) and aggressive lymphomas.[2] Diagnosis is by tissue biopsy.[2]
Slow growing lymphomas often respond well to treatment, have a survival of many years, but are not generally curable.[2] Aggressive lymphomas on the other hand many be curable but are rapidly fatal when this is not achieved.[2] Treatments may include radiation therapy, chemotherapy, immunotherapy, or stem cell transplant.[2]
In Western countries, B-cell lymphoma affect about 19 per 100,000 people a year and represent about 95% of lymphoma cases.[3] About 80% of non-Hodgkin lymphomas are B-cell lymphomas.[2] While more common in older people, certain types may occur in children.[2][3]
Types


There are numerous kinds of lymphomas involving B cells. The most commonly used classification system is the WHO classification, a convergence of more than one, older classification systems.
Common
Five account for nearly three out of four patients with non-Hodgkin lymphoma:[7]
- Diffuse large B-cell lymphoma (DLBCL)[8]
- Follicular lymphoma
- Marginal zone B-cell lymphoma (MZL) or mucosa-associated lymphatic tissue lymphoma (MALT)
- Small lymphocytic lymphoma (SLL, also known as chronic lymphocytic leukemia, CLL)
- Mantle cell lymphoma (MCL)
Rare
The remaining forms are much less common:[7]
- DLBCL variants or sub-types of
- Primary mediastinal (thymic) large B cell lymphoma
- T cell/histiocyte-rich large B-cell lymphoma
- Primary cutaneous diffuse large B-cell lymphoma, leg type (Primary cutaneous DLBCL, leg type)
- EBV positive diffuse large B-cell lymphoma of the elderly
- Diffuse large B-cell lymphoma associated with chronic inflammation
- Fibrin-associated diffuse large B-cell lymphoma
- Primary testicular diffuse large B-cell lymphoma
- Burkitt's lymphoma
- Lymphoplasmacytic lymphoma, which may manifest as Waldenström's macroglobulinemia
- Nodal marginal zone B cell lymphoma (NMZL)
- Splenic marginal zone lymphoma (SMZL)
- Intravascular lymphomas variants
- Primary effusion lymphoma
- Lymphomatoid granulomatosis
- Primary central nervous system lymphoma
- ALK+ large B-cell lymphoma
- Plasmablastic lymphoma
- Large B-cell lymphoma arising in HHV8-associated multicentric Castleman's disease
- B-cell lymphoma, unclassifiable with features intermediate between diffuse large B-cell lymphoma and Burkitt lymphoma
- B-cell lymphoma, unclassifiable with features intermediate between diffuse large B-cell lymphoma and classical Hodgkin lymphoma
Other
Additionally, some researchers separate out lymphomas that appear to result from other immune system disorders, such as AIDS-related lymphoma.
Classic Hodgkin's lymphoma and nodular lymphocyte predominant Hodgkin's lymphoma are now considered forms of B-cell lymphoma.[9]
Diagnosis
When a person appears to have a B-cell lymphoma, the main components of a workup (for determining the appropriate therapy and the person's prognosis) are:[10]
- Establishing the precise subtype: Initially, an incisional or excisional biopsy is preferred. A core needle biopsy is discouraged except in case a lymph node is not easily accessible. Fine-needle aspiration is only acceptable in selected circumstances, in combination with immunohistochemistry and flow cytometry.
- Determining the extent of the disease (localized or advanced; nodal or extranodal)
- The person's general health status.
| Follicular lymphoma | Marginal zone B-cell lymphoma (MZL) or mucosa-associated lymphatic tissue (MALT) lymphoma | Small lymphocytic lymphoma (SLL) / chronic lymphocytic leukemia (CLL) | Mantle cell lymphoma (MCL) | |
|---|---|---|---|---|
| CD5 | - | - | + | + |
| CD10 | + | - | - | - |
| CD23 | - | - | + | - |
| Cyclin D1 | - | - | - | + |
Associated chromosomal translocations
Chromosomal translocations involving the immunoglobulin heavy locus is a classic cytogenetic abnormality for many B-cell lymphomas, including follicular lymphoma, mantle cell lymphoma and Burkitt's lymphoma.[12] In these cases, the immunoglobulin heavy locus forms a fusion protein with another protein that has pro-proliferative or anti-apoptotic abilities. The enhancer element of the immunoglobulin heavy locus, which normally functions to make B cells produce massive production of antibodies, now induces massive transcription of the fusion protein, resulting in excessive pro-proliferative or anti-apoptotic effects on the B cells containing the fusion protein.
In Burkitt's lymphoma and mantle cell lymphoma, the other protein in the fusion is c-myc (on chromosome 8) and cyclin D1[13] (on chromosome 11), respectively, which gives the fusion protein pro-proliferative ability. In follicular lymphoma, the fused protein is Bcl-2 (on chromosome 18), which gives the fusion protein anti-apoptotic abilities.
See also
References
- ↑ 1.0 1.1 1.2 1.3 1.4 "B-cell lymphoma". rarediseases.info.nih.gov. Genetic and Rare Diseases Information Center (GARD) – an NCATS Program. Archived from the original on 3 June 2021. Retrieved 6 July 2021.
- ↑ 2.00 2.01 2.02 2.03 2.04 2.05 2.06 2.07 2.08 2.09 "Non-Hodgkin Lymphomas - Blood Disorders". Merck Manuals Consumer Version. Archived from the original on 17 April 2021. Retrieved 6 July 2021.
- ↑ 3.0 3.1 3.2 3.3 3.4 Meng, X; Min, Q; Wang, JY (2020). "B Cell Lymphoma". Advances in experimental medicine and biology. 1254: 161–181. doi:10.1007/978-981-15-3532-1_12. PMID 32323276.
- ↑ "B-cell lymphoma - Latest research and news | Nature". www.nature.com. Archived from the original on 9 August 2020. Retrieved 6 July 2021.
- ↑ "Lymphoma". www.hematology.org. Archived from the original on 18 June 2021. Retrieved 6 July 2021.
- ↑ Nguyen, Nghi; Khan, Mujahid; Shah, Muhammad (2017). "Primary B-cell lymphoma of the pelvic bone in a young patient: Imaging features of a rare case". Cancer Research Frontiers. 3 (1): 51–55. doi:10.17980/2017.51. ISSN 2328-5249.
- ↑ 7.0 7.1 "The Lymphomas" (PDF). The Leukemia & Lymphoma Society. May 2006. p. 12. Archived from the original (PDF) on 2008-07-06. Retrieved 2008-04-07.
- ↑ Mazen Sanoufa; Mohammad Sami Walid; Talat Parveen (2010). "B-Cell Lymphoma of the Thoracic Spine Presenting with Spinal Cord Pressure Syndrome". Journal of Clinical Medicine Research. 2 (1): 53–54. doi:10.4021/jocmr2010.02.258w. PMC 3299178. PMID 22457704.
- ↑ "HMDS: Hodgkin's Lymphoma". Archived from the original on 4 March 2009. Retrieved 2009-02-01.
- ↑ Mohammad Muhsin Chisti, Haresh Kumar, Sumeet K Yadav. "B-Cell Lymphoma Workup". Medscape. Archived from the original on 2021-01-26. Retrieved 2021-05-25.
{{cite web}}: CS1 maint: multiple names: authors list (link) Updated Jul 27, 2020 - ↑ Attanoos, Richard (2018). "Lymphoid Malignancies of the Pleura and Peritoneum". Practical Pathology of Serous Membranes. pp. 203–208. doi:10.1017/9781316402009.016. ISBN 9781316402009.
- ↑ Küppers, R; Dalla-Favera, R (10 September 2001). "Mechanisms of chromosomal translocations in B cell lymphomas" (PDF). Oncogene. 20 (40): 5580–94. doi:10.1038/sj.onc.1204640. PMID 11607811. S2CID 10776403. Archived (PDF) from the original on 29 August 2021. Retrieved 25 May 2021.
- ↑ Li JY, Gaillard F, Moreau A, et al. (May 1999). "Detection of translocation t(11;14)(q13;q32) in mantle cell lymphoma by fluorescence in situ hybridization". Am. J. Pathol. 154 (5): 1449–52. doi:10.1016/S0002-9440(10)65399-0. PMC 1866594. PMID 10329598.
External links
| Classification | |
|---|---|
| External resources |
