AIDS-related lymphoma
| AIDS-related lymphoma | |
|---|---|
![]() | |
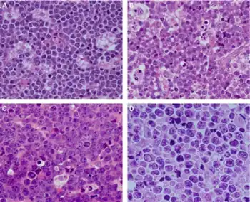
| a-c) Burkitt lymphoma d) diffuse large B-cell lymphoma | |
| Specialty | Hematology and oncology |
AIDS-related lymphoma describes lymphomas occurring in patients with acquired immunodeficiency syndrome (AIDS).[1][2]
A lymphoma is a type of cancer arising from lymphoid cells. In AIDS, the incidences of non-Hodgkin's lymphoma, primary cerebral lymphoma and Hodgkin's disease are all increased. There are three different varieties of AIDS-related lymphoma: Diffuse large B-cell lymphoma, B-cell immunoblastic lymphoma, and Burkitt's lymphoma (small non-cleaved cell lymphoma).[3]
The symptoms of AIDS-related lymphoma can include: weight loss, fever, and night sweats.[3]
Non-Hodgkin's lymphoma
Non-Hodgkin's lymphoma (NHL) is present in about 1%–3% of HIV seropositive people at the time of the initial diagnosis of HIV. However, it is believed that such patients have been seropositive for a prolonged period, but have simply not had their infections recognized previously.[4] This is so because immunodysregulation must exist for an extended interval of time, in order for a lymphoproliferative process to evolve in that context.[4][5]
Primary cerebral lymphoma
Primary cerebral lymphoma (or primary central nervous system lymphoma) is a form of NHL. It is very rare in immunocompetent people, with an incidence of 5–30 cases per million person-years. However the incidence in immunocompromised individuals is greatly increased, up to 100 per million person-years.
Primary cerebral lymphoma is strongly associated with Epstein–Barr virus (EBV).[6] The presence of EBV DNA in cerebrospinal fluid is highly suggestive of primary cerebral lymphoma.
Treatment of AIDS patients with antiretroviral drugs reduces the incidence of primary cerebral lymphoma.
Hodgkin's disease
The incidence of Hodgkin's disease in the general population is about 10–30 per million person-years. This increases to 170 per million person-years in HIV positive patients.
References
- ↑ Besson C, Goubar A, Gabarre J, et al. (October 2001). "Changes in AIDS-related lymphoma since the era of highly active antiretroviral therapy". Blood. 98 (8): 2339–44. doi:10.1182/blood.V98.8.2339. PMID 11588028.
- ↑ Rigolet A, Bossi P, Caumes E, et al. (September 2001). "Caractéristiques épidémiologiques et évolution de l'incidence des lymphomes cérébraux primitifs observés chez 80 patients infectés par le VIH entre 1983 et 1999" [Epidemiological features and incidence trends of primary cerebral lymphomas observed in 80 HIV-infected patients from 1983 to 1999]. Pathologie-biologie (in français). 49 (7): 572–5. doi:10.1016/S0369-8114(01)00206-1. PMID 11642021.
- ↑ 3.0 3.1 "AIDS-Related Lymphoma Treatment (PDQ®) - National Cancer Institute". Cancer.gov. 2012-05-18. Archived from the original on 2015-04-08. Retrieved 2012-05-30. Archived 2015-04-08 at the Wayback Machine
- ↑ 4.0 4.1 Huy Tran; Jamie Nourse; Sara Hall; Michael Green; Lyn Griffiths & Maher K. Gandhi (2008). "Immunodeficiency-associated lymphomas". Blood Reviews. 22 (5): 261–281. doi:10.1016/j.blre.2008.03.009. PMID 18456377.
- ↑ Andrew E. Grulich; Xinan Wan; Matthew G. Law; Sam T. Milliken; Craig R. Lewis; Roger J. Garsia; Julian Gold; Robert J. Finlayson; David A. Cooper & John M. Kaldor (2000). "B-cell stimulation and prolonged immune deficiency are risk factors for non-Hodgkin's lymphoma in people with AIDS". AIDS. 14 (2): 133–140. doi:10.1097/00002030-200001280-00008. PMID 10708283. S2CID 27802783.
- ↑ "Primary lymphoma of the brain: MedlinePlus Medical Encyclopedia". Nlm.nih.gov. Archived from the original on 2016-07-05. Retrieved 2012-05-30. Archived 2016-07-05 at the Wayback Machine
External links
| Classification |
|
|---|
- Office of HIV and AIDS Malignancy in the National Cancer Institute Archived 2017-02-27 at the Wayback Machine
- Information on AIDS-related cancers from the National Cancer Institute
