Plasmacytosis
| Plasmacytosis | |
|---|---|
![]() | |
| Plasmacytosis | |
| Specialty | Hematology |
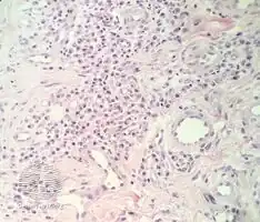
Plasmacytosis is a condition in which there is an unusually large proportion of plasma cells in tissues, exudates, or blood.[1]: 743 Plasmacytosis may be divided into two types—cutaneous and systemic—both of which have identical skin findings.[1]: 743
Patients with plasmacytosis have been predominantly found to have lung infections (pneumonia, tuberculosis, abscess) whereas multiple myeloma is rarely found.[2]
-
Plasmacytosis -
Plasmacytosis -
Plasmacytosis
See also
References
- ↑ 1.0 1.1 James, William D.; Berger, Timothy G.; et al. (2006). Andrews' Diseases of the Skin: clinical Dermatology. Saunders Elsevier. ISBN 978-0-7216-2921-6.
- ↑ Callaway, MW; Braud, EL; McDonald, CR; Paine, CJ; Eichner, ER (Feb 1977). "Clinical correlates of bone marrow plasmacytosis". Southern Medical Journal. 70 (2): 138–41, 152. doi:10.1097/00007611-197702000-00004. PMID 841386. S2CID 30558250.
External links
| Classification |
|---|
.jpg)