Subacute cutaneous lupus erythematosus
| Subacute cutaneous lupus erythematosus | |
|---|---|
| Other names: SCLE[1] | |
![]() | |
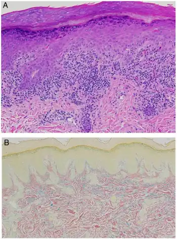
| a) Topical terbinafine-induced subacute cutaneous lupus erythematosus-hyperkeratosis, superficial and deep perivascular lymphohistiocytic infiltrate b) Topical terbinafine-induced SCLE-increased deposits of connective tissue mucin throughout the dermis | |
Subacute cutaneous lupus erythematosus is a clinically distinct subset of cases of lupus erythematosus that is most often present in white women aged 15 to 40, consisting of skin lesions that are scaly and evolve as poly-cyclic annular lesions or plaques similar to those of plaque psoriasis.[2]
Characteristically the lesions appear in sun-exposed areas such as the vee of the neckline or the forearms, but not the face. It may be brought on by sun-sensitizing medications, but is usually associated with autoimmune disorders such as rheumatoid arthritis and Sjögren's syndrome.[3]
Therapy generally involves sun avoidance and protection and topical corticosteroids.[3] Sometimes systemic drug treatment is necessary. Besides corticosteroids other immunosuppressants such as methotrexate are also used.[4]
Lesions of SCLE may have an annular (shaped like a ring) configuration, with raised red borders and central clearing.[5][6]
See also
- Lupus erythematosus
- List of cutaneous conditions
- List of human leukocyte antigen alleles associated with cutaneous conditions
References
- ↑ "Subacute Cutaneous Lupus Erythematosus (SCLE): Background, Etiology, Epidemiology". Medscape Reference. 2019-11-09. Archived from the original on 2019-07-12. Retrieved 2019-11-23.
- ↑ James, William; Berger, Timothy; Elston, Dirk (2005). Andrews' Diseases of the Skin: Clinical Dermatology. (10th ed.). Saunders. Page 160. ISBN 0-7216-2921-0.
- ↑ 3.0 3.1 Burkhalter NW, McKenzie JT, Lane JE (2009). "Subacute cutaneous lupus erythematosus". Consultant. 49 (3). Archived from the original on 2012-02-13. Retrieved 2021-09-08.
- ↑ Boehm IB, Boehm GA, Bauer R (1998). "Management of cutaneous lupus erythematosus with low-dose methotrexate: indication for modulation of inflammatory mechanisms". Rheumatology International. 18 (2): 59–62. doi:10.1007/s002960050058. PMID 9782534.
- ↑ Rapini, Ronald P.; Bolognia, Jean L.; Jorizzo, Joseph L. (2007). Dermatology: 2-Volume Set. St. Louis: Mosby. p. 563. ISBN 978-1-4160-2999-1.
- ↑ Sontheimer RD, Thomas JR, Gilliam JN (December 1979). "Subacute cutaneous lupus erythematosus: a cutaneous marker for a distinct lupus erythematosus subset". Arch Dermatol. 115 (12): 1409–15. doi:10.1001/archderm.1979.04010120007006. PMID 533284.
External links
| Classification | |
|---|---|
| External resources |
|
