Solid pseudopapillary tumour
| Solid pseudopapillary tumour | |
|---|---|
| Other names: Solid pseudopapillary neoplasm, solid pseudopapillary tumour/neoplasm of the pancreas, Frantz's tumour | |
![]() | |
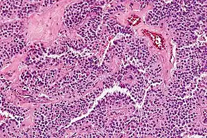
| Micrograph of a solid pseudopapillary tumour. H&E stain. | |
| Specialty | Oncology |
A solid pseudopapillary tumour is a low-grade malignant neoplasm of the pancreas of papillary architecture that typically afflicts young women.[1]
Signs and symptoms
Solid pseudopapillary tumours are often asymptomatic and are identified incidentally on imaging performed for unrelated reasons. Less often, they may cause abdominal pain. Solid pseudopapillary tumours tend to occur in women, and most often present in the third decade of life.[2]
Anatomy
.png)
Gross morphology
Solid pseudopapillary tumours are typically round, well-demarcated, measuring 2–17 cm in diameter (average 8 cm), with solid and cystic areas with hemorrhage on cut sections.[3]
Histomorphology
Solid pseudopapillary tumours consist of solid sheets of cells that are focally dyscohesive. The cells in the lesion usually have uniform nuclei with occasional nuclear grooves, eosinophilic or clear cytoplasm and PAS positive eosinophilic intracytoplasmic globules.[4] Necrosis is usually present and, as cell death preferentially occurs distant from blood vessels, lead to the formation of pseudopapillae.
Immunohistochemistry
Solid pseudopapillary tumours show positive nuclear staining for beta catenin, as well as positive immunostaining for CD10, CD56, vimentin, alpha 1-antitrypsin, and neuron specific enolase; they are negative for chromogranin and pancreatic enzymes.[5][6]
Diagnosis
The gold standard for diagnosing solid pseudopapillary tumour of the pancreas is endoscopic ultrasound (EUS) guided fine needle aspiration (FNA) of the lesion.[7]
Management
In most cases, solid pseudopapillary tumours should be resected surgically, as there is a risk of malignancy (cancer).
See also
References
- ↑ Patil TB, Shrikhande SV, Kanhere HA, Saoji RR, Ramadwar MR, Shukla PJ (2006). "Solid pseudopapillary neoplasm of the pancreas: a single institution experience of 14 cases". HPB. 8 (2): 148–50. doi:10.1080/13651820510035721. PMC 2131425. PMID 18333264.
- ↑ Shuja, Asim (May 2014). "Solid pseudopapillary tumor: a rare neoplasm of the pancreas". Gastroenterol Rep (Oxf). 2 (2): 145–149. doi:10.1093/gastro/gou006. PMC 4020125. PMID 24759340.
- ↑ Fletcher CDM (2007). Diagnostic Histopathology of Tumors. Vol. I (3rd ed.). Elsevier. p. 478.
- ↑ Serra S, Chetty R (November 2008). "Revision 2: an immunohistochemical approach and evaluation of solid pseudopapillary tumour of the pancreas". J. Clin. Pathol. 61 (11): 1153–9. doi:10.1136/jcp.2008.057828. PMID 18708424. Archived from the original on 2021-06-13. Retrieved 2021-06-15.
- ↑ Stömmer P, Kraus J, Stolte M, Giedl J (March 1991). "Solid and cystic pancreatic tumors. Clinical, histochemical, and electron microscopic features in ten cases". Cancer. 67 (6): 1635–41. doi:10.1002/1097-0142(19910315)67:6<1635::aid-cncr2820670627>3.0.co;2-m. PMID 1900454.
- ↑ Pettinato G, Manivel JC, Ravetto C, et al. (November 1992). "Papillary cystic tumor of the pancreas. A clinicopathologic study of 20 cases with cytologic, immunohistochemical, ultrastructural, and flow cytometric observations, and a review of the literature". Am. J. Clin. Pathol. 98 (5): 478–88. doi:10.1093/ajcp/98.5.478. PMID 1283055.
- ↑ De Moura, D.T.H. (2018). "The importance of endoscopic ultrasound fine-needle aspiration in the diagnosis of solid pseudopapillary tumor of the pancreas: two case reports". Journal of Medical Case Reports. 12 (107): 107. doi:10.1186/s13256-018-1585-3. PMC 5918898. PMID 29695287.
