Postsynaptic density
| Postsynaptic density | |
|---|---|
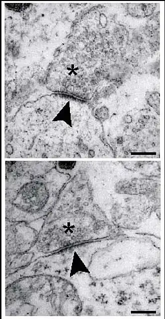
![]() Ultra-structural analysis of synapses in the brainstem of wild-type (WT) mice at embryonic day 18.5. Synapses of WT neurons in the pre-Bötzinger-complex area exhibit presynaptic vesicles (asterisks), a synaptic cleft and a distinct postsynaptic density (arrowheads). Scale bar, 250 nm. From Heupel et al., 2008 | |
| Details | |
| System | Nervous system |
| Identifiers | |
| Latin | densitas postsynaptica |
| MeSH | D057907 |
| TH | H2.00.06.2.00021 |
| Anatomical terms of neuroanatomy | |
The postsynaptic density (PSD) is a protein dense specialization attached to the postsynaptic membrane. PSDs were originally identified by electron microscopy as an electron-dense region at the membrane of a postsynaptic neuron. The PSD is in close apposition to the presynaptic active zone and ensures that receptors are in close proximity to presynaptic neurotransmitter release sites.[1] PSDs vary in size and composition among brain regions, and have been studied in great detail at glutamatergic synapses. Hundreds of proteins have been identified in the postsynaptic density, including glutamate receptors, scaffold proteins, and many signaling molecules.
Structure
The structure and composition of the PSD have been the focus of numerous molecular studies of synaptic plasticity, a cellular model of learning and memory. In mammals, PSDs are on the order of 250 to 500 nanometres in diameter and 25 to 50 nanometres in thickness, depending on the activity state of the synapse. During synaptic plasticity, the total size of the PSD is increased along with an increase in synaptic size and strength after inducing long-term potentiation at single synapses.[2]
In invertebrates, synapses are often are polyadic,[3] meaning they have multiple PSDs opposed to one presynaptic element (commonly called a T-bar, due to its most common appearance).
Composition
Many proteins in the PSD are involved in the regulation of synaptic function. These include
- postsynaptic density-95 (PSD95)[4]
- neuroligin (a cellular adhesion molecule)
- NMDA receptors, AMPA receptors
- calcium/calmodulin-dependent protein kinase II
- actin
As protein detection technologies have increased in sensitivity, such as with improvements in mass spectrometry techniques, more proteins have come to be associated with PSDs. Current estimates hold that more than several hundred proteins are found at PSDs among brain regions and during different states of development and synaptic activity. PSDs also contain cell adhesion molecules and a diverse set of other signaling proteins. Many of the PSD proteins contain PDZ domains.[4]
Function
The PSD has been proposed to concentrate and organize neurotransmitter receptors in the synaptic cleft.[1] The PSD also serves as a signaling apparatus. For instance kinases and phosphatases in the PSD are activated and released from the PSD to change the activity of proteins located in the spine or are transported to the nucleus to affect protein synthesis. Some of the features of the PSD are similar to the neuromuscular junction and other cellular junctions, as the PSD has been modeled as a specialized cellular junction that allows for rapid, asymmetrical signaling.
References
- 1 2 Sweatt, J. D. (2008-01-01), Byrne, John H. (ed.), "4.20 - The NMDA Receptor", Learning and Memory: A Comprehensive Reference, Oxford: Academic Press, pp. 409–426, doi:10.1016/b978-012370509-9.00020-6, ISBN 978-0-12-370509-9, retrieved 2020-12-23
- ↑ Meyer, D.; Bonhoeffer T.; Scheuss V. (2014). "Balance and Stability of Synaptic Structures during Synaptic Plasticity". Neuron. 82 (2): 430–443. doi:10.1016/j.neuron.2014.02.031. PMID 24742464.
- ↑ Meinertzhagen, Ian A (2016). "Morphology of invertebrate neurons and synapses". Handbook of Invertebrate Neurobiology. Oxford University Press Oxford. pp. 1–80.
- 1 2 Sell, Gabrielle L.; Barrow, Stephanie L.; McAllister, A. Kimberley (2020-01-01), Rubenstein, John; Rakic, Pasko; Chen, Bin; Kwan, Kenneth Y. (eds.), "Chapter 1 - Molecular composition of developing glutamatergic synapses", Synapse Development and Maturation, Academic Press, pp. 3–32, doi:10.1016/b978-0-12-823672-7.00001-6, ISBN 978-0-12-823672-7, retrieved 2020-12-23
General review
- Kennedy MB (June 1997). "The postsynaptic density at glutamatergic synapses". Trends in Neurosciences. 20 (6): 264–268. doi:10.1016/S0166-2236(96)01033-8. PMID 9185308. S2CID 41855275.
- Ziff EB (December 1997). "Enlightening the postsynaptic density". Neuron. 19 (6): 1163–74. doi:10.1016/S0896-6273(00)80409-2. PMID 9427241. S2CID 15844943.
- Kennedy MB (October 2000). "Signal-processing machines at the postsynaptic density". Science. 290 (5492): 750–4. Bibcode:2000Sci...290..750K. doi:10.1126/science.290.5492.750. PMID 11052931.
Structure and composition
- Banker G, Churchill L, Cotman CW (November 1974). "Proteins of the Postsynaptic Density". J. Cell Biol. 63 (2 Pt 1): 456–65. doi:10.1083/jcb.63.2.456. PMC 2110954. PMID 4419608.
- Cohen RS, Blomberg F, Berzins K, Siekevitz P (July 1977). "The structure of postsynaptic densities isolated from dog cerebral cortex: I. overall morphology and protein composition". J. Cell Biol. 74 (1): 181–203. doi:10.1083/jcb.74.1.181. PMC 2109867. PMID 194906.
- Blomberg F, Cohen RS, Siekevitz P (July 1977). "The structure of postsynaptic densities isolated from dog cerebral cortex: II. characterization and arrangement of some of the major proteins within the structure". J. Cell Biol. 74 (1): 204–25. doi:10.1083/jcb.74.1.204. PMC 2109869. PMID 406264.
- Walikonis RS, Jensen ON, Mann M, Provance DW, Mercer JA, Kennedy MB (June 2000). "Identification of proteins in the postsynaptic density fraction by mass spectrometry" (PDF). J. Neurosci. 20 (11): 4069–80. doi:10.1523/JNEUROSCI.20-11-04069.2000. PMC 6772646. PMID 10818142.
- Peng J, Kim MJ, Cheng D, Duong DM, Gygi SP, Sheng M (May 2004). "Semiquantitative proteomic analysis of rat forebrain postsynaptic density fractions by mass spectrometry". J. Biol. Chem. 279 (20): 21003–11. doi:10.1074/jbc.M400103200. PMID 15020595.
- Jordan BA, Fernholz BD, Boussac M, et al. (September 2004). "Identification and verification of novel rodent postsynaptic density proteins". Mol. Cell. Proteomics. 3 (9): 857–71. doi:10.1074/mcp.M400045-MCP200. PMID 15169875.
- Baron MK, Boeckers TM, Vaida B, et al. (January 2006). "An architectural framework that may lie at the core of the postsynaptic density". Science. 311 (5760): 531–5. Bibcode:2006Sci...311..531B. doi:10.1126/science.1118995. PMID 16439662. S2CID 12937216.
- Collins MO, Husi H, Yu L, et al. (April 2006). "Molecular characterization and comparison of the components and multiprotein complexes in the postsynaptic proteome". J. Neurochem. 97 (Suppl 1): 16–23. doi:10.1111/j.1471-4159.2005.03507.x. PMID 16635246. S2CID 40233817.
- Alié Alexandre; Manuel Michaël (February 2010). "The backbone of the post-synaptic density originated in a unicellular ancestor of choanoflagellates and metazoans". BMC Evol. Biol. 10 (1): 34. Bibcode:2010BMCEE..10...34A. doi:10.1186/1471-2148-10-34. PMC 2824662. PMID 20128896.
