Pleomorphic lipoma
| Pleomorphic lipoma | |
|---|---|
![]() | |
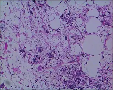
| Mature adipocytes admixed with spindle cells and scattered bizarre-looking pleomorphic cells | |
Pleomorphic lipomas, like spindle-cell lipomas, occur for the most part on the backs and necks of elderly men, and are characterized by floret giant cells with overlapping nuclei.[1]: 625
See also
References
- ↑ James, William; Berger, Timothy; Elston, Dirk (2005). Andrews' Diseases of the Skin: Clinical Dermatology. (10th ed.). Saunders. ISBN 0-7216-2921-0.
External links
| Classification |
|
|---|
