Parkinson-plus syndrome
| Parkinson-plus syndromes | |
|---|---|
| Other names: Disorders of multiple system degeneration | |
![]() | |
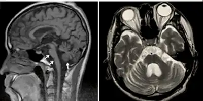
| MRI shows olivopontocerebellar atrophy. | |
| Specialty | Neurology |
Parkinson-plus syndromes (PPS) are a group of neurodegenerative[1] diseases featuring the classical features of Parkinson's disease (tremor, rigidity, akinesia/bradykinesia, and postural instability) with additional features that distinguish them from simple idiopathic Parkinson's disease (PD). Parkinson-plus syndromes are either inherited genetically or occur sporadically.[2]
Atypical parkinsonism and other Parkinson-plus syndromes are often difficult to differentiate from PD and each other. They include multiple system atrophy (MSA), progressive supranuclear palsy (PSP), and corticobasal degeneration (CBD). Dementia with Lewy bodies (DLB), may or may not be part of the PD spectrum, but it is increasingly recognized as the second-most common type of neurodegenerative dementia after Alzheimer's disease. These disorders are currently lumped into two groups, the synucleinopathies and the tauopathies.[3][4] They may coexist with other pathologies.[5]
Additional Parkinson-plus syndromes include Pick's disease and olivopontocerebellar atrophy.[6] The latter is characterized by ataxia and dysarthria, and may occur either as an inherited disorder or as a variant of multiple system atrophy. MSA is also characterized by autonomic failure, formerly known as Shy–Drager syndrome.[7]
Signs and symptoms
Clinical features that distinguish Parkinson-plus syndromes from idiopathic PD include symmetrical onset, a lack of or irregular resting tremor, and a reduced response to dopaminergic drugs (including levodopa).[2] Additional features include bradykinesia, early-onset postural instability, increased rigidity in axial muscles, dysautonomia, alien limb syndrome, supranuclear gaze palsy, apraxia, involvement of the cerebellum including the pyramidal cells, and in some instances significant cognitive impairment.[2]
Diagnosis
Accurate diagnosis of these Parkinson-plus syndromes is improved when precise diagnostic criteria are used.[2] Since diagnosis of individual Parkinson-plus syndromes is difficult, the prognosis is often poor. Proper diagnosis of these neurodegenerative disorders is important as individual treatments vary depending on the condition. The nuclear medicine SPECT procedure using 123I‑iodobenzamide (IBZM), is an effective tool in the establishment of the differential diagnosis between patients with PD and Parkinson-plus syndromes.[8]
Treatments
Parkinson-plus syndromes are usually more rapidly progressive and less likely to respond to antiparkinsonian medication than PD.[9][10] However, the additional features of the diseases may respond to medications not used in PD.
Current therapy for Parkinson-plus syndromes is centered around a multidisciplinary treatment of symptoms.[11][12]
See also
References
- ↑ Bensimon G, Ludolph A, Agid Y, Vidailhet M, Payan C, Leigh PN (January 2009). "Riluzole treatment, survival and diagnostic criteria in Parkinson plus disorders: the NNIPPS study". Brain. 132 (Pt 1): 156–71. doi:10.1093/brain/awn291. PMC 2638696. PMID 19029129.
- ↑ 2.0 2.1 2.2 2.3 Mitra K.; Gangopadhaya P. K.; Das S. K. (2003). "Parkinsonism plus syndrome—a review". Neurol India. 51 (2): 183–188. PMID 14570999.
- ↑ Mark, M. H. (2001). "Lumping and splitting the Parkinson Plus syndromes: dementia with Lewy bodies, multiple system atrophy, progressive supranuclear palsy, and cortical-basal ganglionic degeneration". Neurologic Clinics. 19 (3): 607–27. doi:10.1016/S0733-8619(05)70037-2. PMID 11532646.
- ↑ Levin J, Kurz A, Arzberger T, Giese A, Höglinger GU (February 5, 2016). "The Differential Diagnosis and Treatment of Atypical Parkinsonism". Dtsch Ärztebl Int. 113 (5): 61–9. doi:10.3238/arztebl.2016.0061. PMC 4782269. PMID 26900156.
- ↑ Brittany N. Dugger; Charles H. Adler; Holly A. Shill; John Caviness; Sandra Jacobson; Erika Driver-Dunckley; Thomas G. Beach & the Arizona Parkinson’s Disease Consortium (May 2014). "Concomitant pathologies among a spectrum of parkinsonian disorders". Parkinsonism Relat Disord. 20 (5): 525–9. doi:10.1016/j.parkreldis.2014.02.012. PMC 4028418. PMID 24637124.
- ↑ Constance Ward (2006). "Characteristics and symptom management of progressive supranuclear palsy: a multidisciplinary approach" (PDF). Journal of Neuroscience Nursing. 38 (4): 242–247. doi:10.1097/01376517-200608000-00007. PMID 16925000. Archived from the original (PDF) on 2008-07-23. Archived 2008-07-23 at the Wayback Machine
- ↑ "Multiple System Atrophy with Orthostatic Hypotension Information Page". Archived from the original on 2012-05-14. Retrieved 2009-09-15. Archived 2012-05-14 at the Wayback Machine
- ↑ Hierholzer, Johannes; Cordes, Michael; Venz, Stephan; Schelosky, Ludwig; Harisch, Cordula; Richter, Wolf; Keske, Uwe; Hosten, Norbert; Mäurer, Jürgen (1998-06-01). "Loss of Dopamine-D2 Receptor Binding Sites in Parkinsonian Plus Syndromes". Journal of Nuclear Medicine. 39 (6): 954–960. ISSN 0161-5505. PMID 9627325. Archived from the original on 2022-12-28. Retrieved 2022-10-27. Archived 2022-12-28 at the Wayback Machine
- ↑ Litvan I, Campbell G, Mangone CA, Verny M, McKee A, Chaudhuri KR, Jellinger K, Pearce RK, D'Olhaberriague L (Jan 1997). "Which clinical features differentiate progressive supranuclear palsy (Steele-Richardson-Olzewski syndrome) from related disorders". Brain. 120 (1): 65–74. doi:10.1093/brain/120.1.65. PMID 9055798.
- ↑ David R. Williams & Irene Litvan (October 2013). "Parkinsonian syndromes". Continuum (Minneap Minn). 19 (5 Movement Disorders): 1189–212. doi:10.1212/01.CON.0000436152.24038.e0. PMC 4234134. PMID 24092286.
- ↑ Molloy, F. M., & Healy, D. G. (2011). Parkinsonism Plus Syndromes. In O. Hardiman & C. P. Doherty (Eds.), Neurodegenerative Disorders (181-196). London: Springer London. doi:10.1007/978-1-84996-011-3_9
- ↑ Ling H (2016). "Clinical Approach to Progressive Supranuclear Palsy". J Mov Disord. 9 (1): 3–13. doi:10.14802/jmd.15060. PMC 4734991. PMID 26828211.
External links
| External resources |
|---|
.png)