Haller index

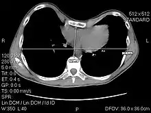
The Haller index, created in 1987 by J. Alex Haller, S. S. Kramer, and S. A. Lietman,[1] is a mathematical relationship that exists in a human chest section observed with a CT scan. It is defined as the ratio of the transverse diameter (the horizontal distance of the inside of the ribcage) and the anteroposterior diameter (the shortest distance between the vertebrae and sternum).[2]
where:
- HI is the Haller Index
- distance 1 is the distance of the inside ribcage (at the level of maximum deformity or at the lower third of the sternum)
- distance 2 is the distance between the sternal notch and vertebrae.
More recent studies show that simple chest x-rays are just as effective as CT scans for calculating the Haller index and recommend replacing CT scans with CXR to reduce radiation exposure in all but gross deformities.[3][4][5]
A normal Haller index should be about 2.5. Chest wall deformities such as pectus excavatum can cause the sternum to invert, thus increasing the index.[6][7] In severe asymmetric cases, where the sternum dips below the level of the vertebra, the index can be a negative value.[8]
See also
Sources
- ↑ Haller JA, Kramer SS, Lietman SA (October 1987). "Use of CT scans in selection of patients for pectus excavatum surgery: a preliminary report". Journal of Pediatric Surgery. 22 (10): 904–6. doi:10.1016/s0022-3468(87)80585-7. PMID 3681619.
- ↑ "How the Haller is measured. Departament of Cardiology and Pulmonology of the Hospital das Clínicas da Faculdade de Medicina da Universidade de São Paulo – Thoracic Surgery Sector" (PDF).
- ↑ Khanna G, Jaju A, Don S, Keys T, Hildebolt CF (November 2010). "Comparison of Haller index values calculated with chest radiographs versus CT for pectus excavatum evaluation". Pediatric Radiology. 40 (11): 1763–7. doi:10.1007/s00247-010-1681-z. PMID 20473605. S2CID 23984787.
- ↑ Poston PM, McHugh MA, Rossi NO, Patel SS, Rajput M, Turek JW (November 2015). "The case for using the correction index obtained from chest radiography for evaluation of pectus excavatum". Journal of Pediatric Surgery. 50 (11): 1940–4. doi:10.1016/j.jpedsurg.2015.06.017. PMID 26235532.
- ↑ Mueller C, Saint-Vil D, Bouchard S (January 2008). "Chest x-ray as a primary modality for preoperative imaging of pectus excavatum". Journal of Pediatric Surgery. 43 (1): 71–3. doi:10.1016/j.jpedsurg.2007.09.023. PMID 18206458.
- ↑ Swoveland B (2001). "Haller ranges". AORN Journal.
- ↑ "Haller Index. Pigeon Chest Problems". 2015. Archived from the original on 2018-03-30. Retrieved 2016-10-19.
- ↑ Dore M, Triana Junco P, De La Torre C, Vilanova-Sánchez A, Bret M, Gonzalez G, et al. (January 2018). "Nuss Procedure for a Patient with Negative Haller Index". European Journal of Pediatric Surgery Reports. 6 (1): e18 – e22. doi:10.1055/s-0038-1623537. PMC 5820059. PMID 29473012.