Ground glass hepatocyte

In liver pathology, a ground glass hepatocyte, abbreviated GGH, is a liver parenchymal cell with a flat hazy and uniformly dull appearing cytoplasm on light microscopy. The cytoplasm's granular homogeneous eosinophilic staining is caused by the presence of HBsAg.
The appearance is classically associated with abundant hepatitis B antigen in the endoplasmic reticulum, but may also be drug-induced.[1][2] In the context of hepatitis B, GGHs are only seen in chronic infections, i.e. they are not seen in acute hepatitis B.
Types
Several different types of GGHs are recognized:[4]
- Type I - morphologically consist of GGHs that are scattered singly and have weak Pre-S2 positive immunostaining.
- Type II - morphologically consist of GGHs that are in clusters and have Pre-S2 negative immunostaining.
There is some evidence to suggest that type II GGHs predispose to hepatocellular carcinoma.[2][5]
See also
Additional images
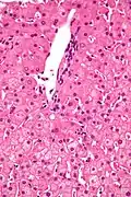
Micrograph showing ground glass hepatocytes. H&E stain.
Micrograph showing ground glass hepatocytes. H&E stain.
Micrograph showing ground glass hepatocytes. H&E stain.
References
- ↑ Cohen, C (Aug 1975). ""Ground-glass" hepatocytes". S Afr Med J. 49 (34): 1401–3. PMID 1162516.
- 1 2 3 Su, IJ; Wang, HC; Wu, HC; Huang, WY (Aug 2008). "Ground glass hepatocytes contain pre-S mutants and represent preneoplastic lesions in chronic hepatitis B virus infection". J Gastroenterol Hepatol. 23 (8 Pt 1): 1169–74. doi:10.1111/j.1440-1746.2008.05348.x. PMID 18505413.
- ↑ Hadziyannis, S; Gerber, MA; Vissoulis, C; Popper, H (Nov 1973). "Cytoplasmic hepatitis B antigen in "ground-glass" hepatocytes of carriers". Arch Pathol. 96 (5): 327–30. PMID 4582440.
- ↑ Wang, HC; Wu, HC; Chen, CF; Fausto, N; Lei, HY; Su, IJ (Dec 2003). "Different Types of Ground Glass Hepatocytes in Chronic Hepatitis B Virus Infection Contain Specific Pre-S Mutants that May Induce Endoplasmic Reticulum Stress". Am J Pathol. 163 (6): 2441–9. doi:10.1016/S0002-9440(10)63599-7. PMC 1892360. PMID 14633616.
- ↑ Abe, K; Thung, SN; Wu, HC; Tran, TT; Le Hoang, P; Truong, KD; Inui, A; Jang, JJ; Su, IJ (Aug 2009). "Pre-S2 deletion mutants of hepatitis B virus could have an important role in hepatocarcinogenesis in Asian children". Cancer Sci. 100 (12): 2249–54. doi:10.1111/j.1349-7006.2009.01309.x. PMC 11159494. PMID 19719772. S2CID 38459908.
External links
- Image of ground glass hepatocyte - med.ohio-state.edu.
- Chronic hepatitis - pathconsultddx.com.