Dermatopathic lymphadenopathy

Dermatopathic lymphadenopathy
Other namesDermatopathic lymphadenitis
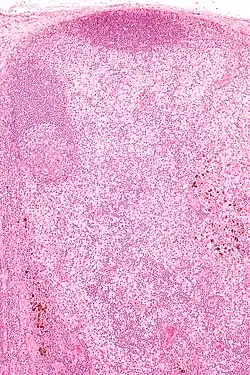
Micrograph showing dermatopathic lymphadenopathy with the characteristic paracortical histiocytosis and melanin-laden macrophages. H&E stain.
SpecialtyDermatology

In pathology, dermatopathic lymphadenopathy, is lymph node pathology due to skin disease.

Cause

Also known as lipomelanotic reticulosis or Pautrier-Woringer disease, represents a rare form of benign lymphatic hyperplasia associated with most exfoliative or eczematoid inflammatory erythrodermas, including pemphigus, psoriasis, eczema, neurodermatitis, and atrophia senilis.

Diagnosis

Dermatopathic lymphadenopathy is diagnosed by a lymph node biopsy. It has a characteristic pattern of histomorphology and immunohistochemical staining:

  • Paracortical histiocytosis
  • Melanin-laden macrophages
  • Eosinophils
  • Plasma cells (medulla of lymph node)

Differential diagnosis

Treatment

The treatment is based on the underlying cause.

See also

References

  1. 1 2 Lee, SW.; Park, MC.; Kim, H.; Park, YB.; Lee, SK. (2007). "Dermatopathic lymphadenopathy in a patient with adult onset Still's disease". Clin Exp Rheumatol. 25 (2): 312–14. PMID 17543161.